症例詳細
Case detail
気にしていた歯並びをインビザラインで改善 セラミックも作り替えて綺麗な口元に
- 患者様
- 40代女性
- 矯正装置
- インビザライン
- 治療期間
- 2年10ヶ月
- 治療回数
- 10-30回
- 治療計画
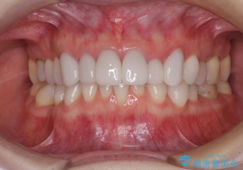
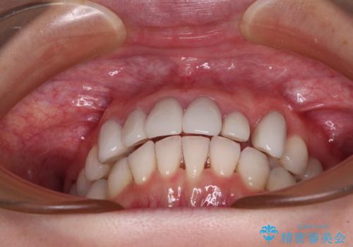
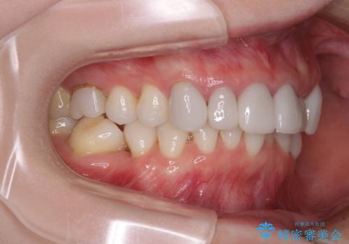
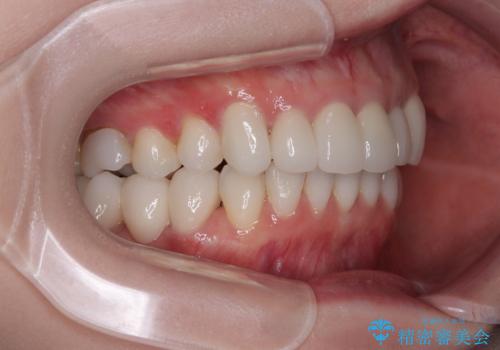
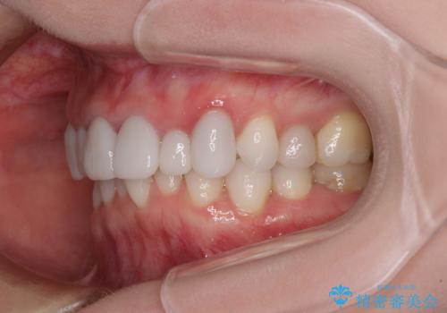
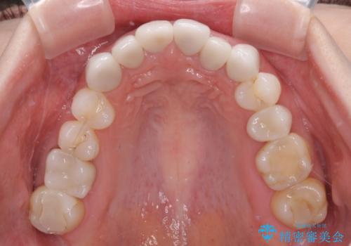
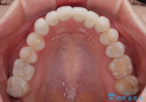
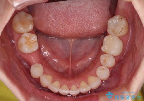
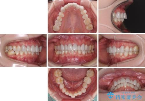
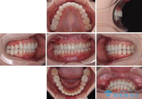
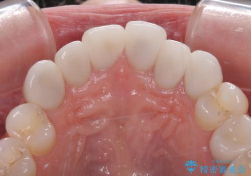
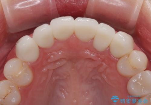
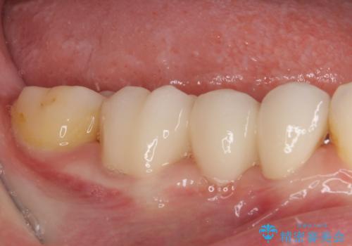
- 全体的なデコボコと、奥歯の欠損を放置した結果倒れ込んだ奥歯などを気にして来院された患者様です。
ワイヤー矯正の方が理想的な仕上がりとできる状態でしたが、上顎前歯にクラウンが装着されているため、インビザラインにて矯正治療を行うこととしました。
インビザラインのみで対応できないときにはワイヤー矯正を併用することとし、矯正治療後にはオールセラミッククラウンによる補綴治療を行うこととしました。
- 費用(概算)
- 治療費の目安: 240万円(税込)費用は治療当時の料金となります
治療について
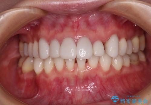
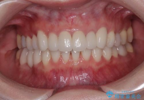
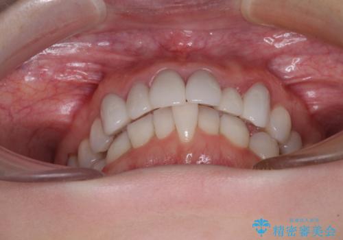
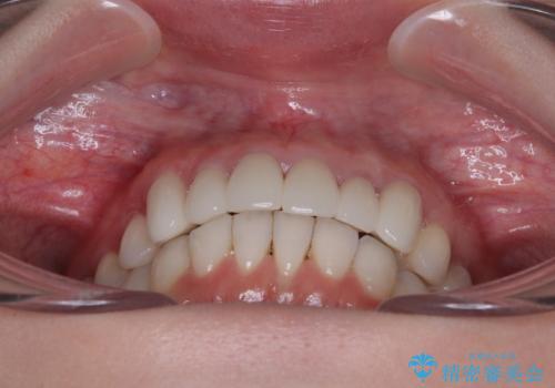
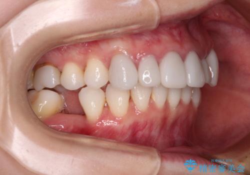
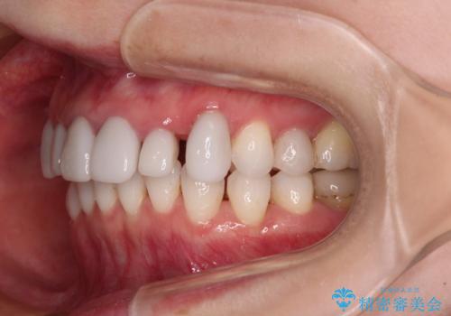
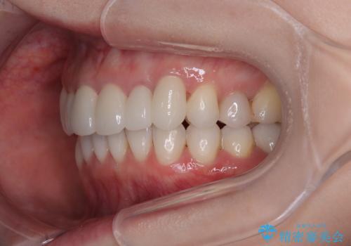
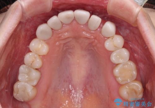
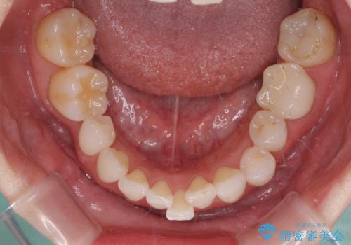
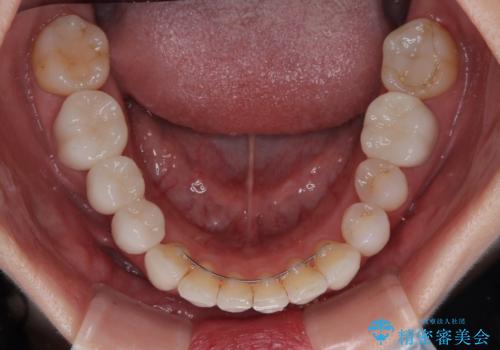
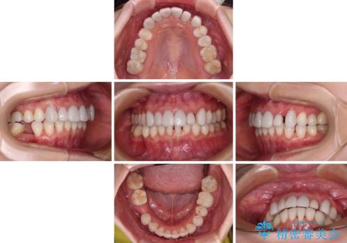
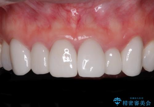
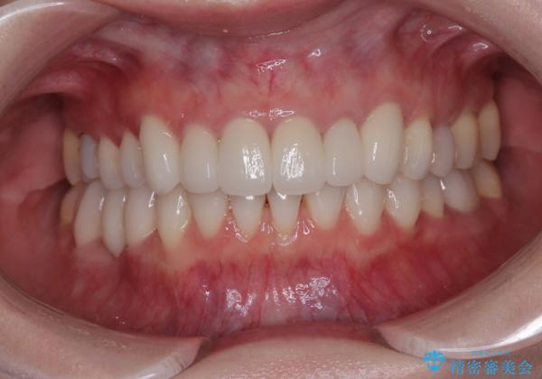
矯正治療自体はインビザラインで満足のいく仕上がりとなりました。
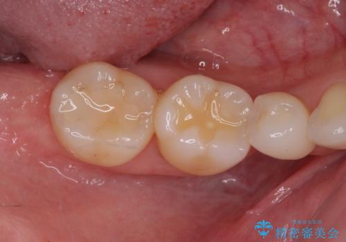
前歯は根管治療が必要となり、元々舌側に入り込んでいた左上2番目の歯は歯周外科処置により歯肉ラインを整えることとしました。
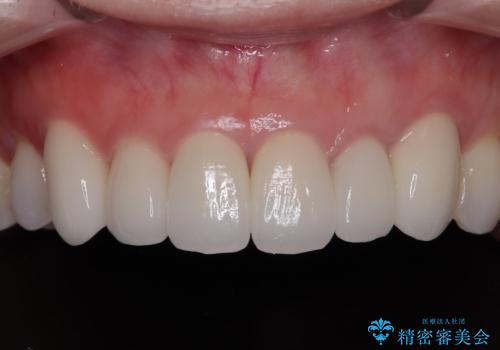
欠損部位は傾斜歯軸を起き上がらせることができたため、オールセラミッククブリッジにて補綴治療を行いました。
全顎的に満足のいく仕上がりとなりました。
マウスピース矯正の注意事項(リスク・副作用など)
- 口腔内・歯並びの状態によっては対応できない場合があります
- マウスピース型矯正装置の長時間装着(1日20時間以上)が必須です
- 治療計画通りに進めるためには、患者様の意志が重要になります
- 矯正治療後の保定が不十分だと後戻り(元の位置に戻ろうとする動き)をします
- 薬機法対象外の矯正歯科装置のため医薬品副作用被害救済制度の対象外となる場合があります
- 自費診療(保険適用外)となります
外科処置の注意事項(リスク・副作用など)
- 外科手術のため、術後に出血、痛みや腫れ、違和感を伴います
- 口腔内の状態によっては適応できないことがあります
セラミック治療の注意事項(リスク・副作用など)
- 天然歯を削ります
- 硬い素材は天然歯を傷つけてしまう場合があります
- かみ合わせや歯ぎしりが強すぎる方はセラミックが割れてしまう可能性があります
- 自費診療(保険適用外治療)となります
当サイトの内容、テキスト、画像等の無断転載、複製、複写、盗用を固く禁じます。




































