症例詳細
Case detail
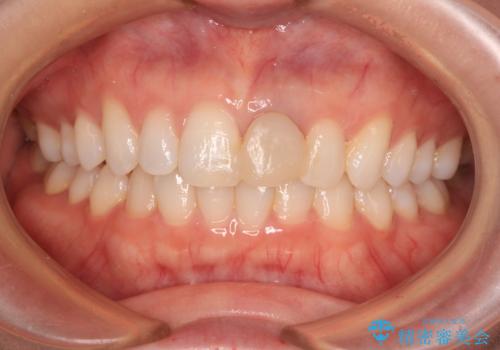
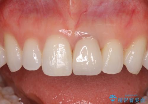
外れやすい前歯をどうにかしたい。
治療症例の内容
- 患者様
 - 30代女性
 
- 治療期間
 - 10ヶ月
 
- 治療回数
 - 10-30回
 
- 治療計画
 - 外れやすいセラミックをどうにかしたいと来院された患者様です。
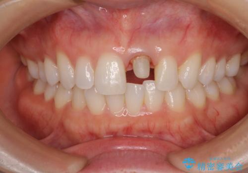
健全な歯質が歯肉の上になく、その上に土台を立ててあるため、
噛み合わせの強い力がかかると外れてしまう構造になっていました。
長期的に安定した被せものには、最低でも厚さ1mm、高さ1.5-2mmの健全な歯質が歯肉の上ある必要があります。
(これをフェルール効果・環帯効果といいます)
フェルールがないと被せものが外れやすい、歯根破折、適合不良、歯肉に炎症があるなどの問題が起きやすいです。
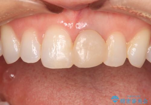
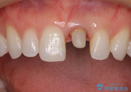
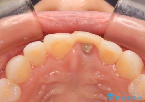
これを改善するために、矯正のゴムの力で歯を引っ張り出していきました。
矯正終了後に、後戻り防止と骨の高さ調整を目的に歯周外科手術を行いました。
 
- 費用(概算)
 - 30万円(税込)費用は治療当時の料金となります
 
治療について
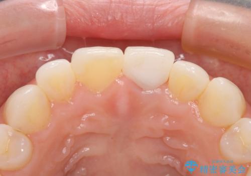
期間はかかりましたが、長期的な安定を得るにはフェルールが必要不可欠です。
外れない被せものになって良かったと、患者様には満足していただけました。
セラミック治療の注意事項(リスク・副作用など)
- 天然歯を削ります
 - 硬い素材は天然歯を傷つけてしまう場合があります
 - かみ合わせや歯ぎしりが強すぎる方はセラミックが割れてしまう可能性があります
 - 自費診療(保険適用外治療)となります
 
外科処置の注意事項(リスク・副作用など)
- 外科手術のため、術後に出血、痛みや腫れ、違和感を伴います
 - 口腔内の状態によっては適応できないことがあります
 
当サイトの内容、テキスト、画像等の無断転載、複製、複写、盗用を固く禁じます。

                      
                                                          











