症例詳細
Case detail
激痛の奥歯のむし歯治療 折角なので矯正治療もしたい
- 患者様
- 40代男性
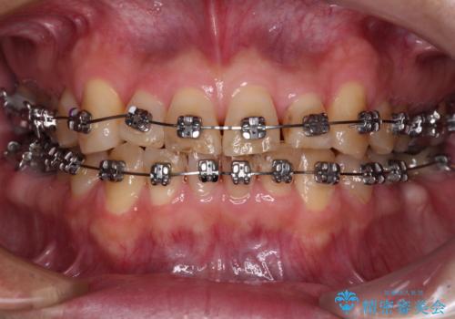
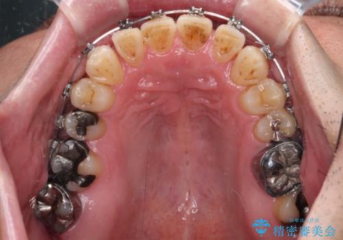
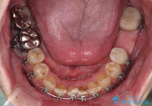
- 矯正装置
- メタルブラケット
- 治療期間
- 3年1ヶ月
- 治療回数
- 30回以上
- 治療計画
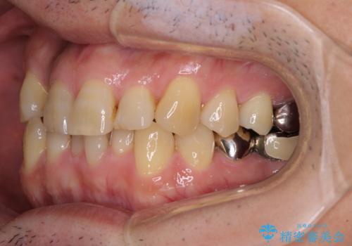
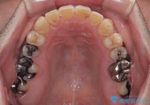
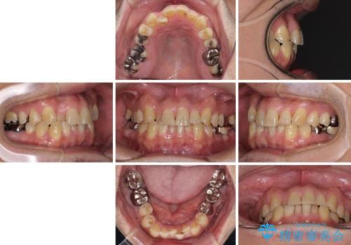
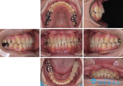
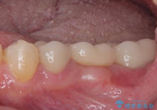
- 近医にてブリッジ治療を行った歯が痛くてたまらないとのことで来院された患者様です。
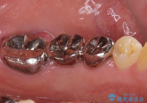
診察を行ったところ、奥の土台になっている歯は神経組織が失活しており、根尖部に病変があり、そこが原因で痛みを生じている状態でした。
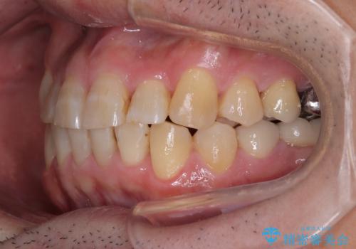
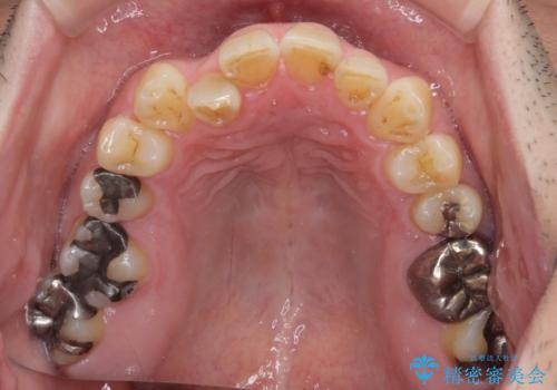
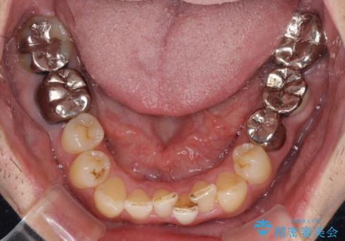
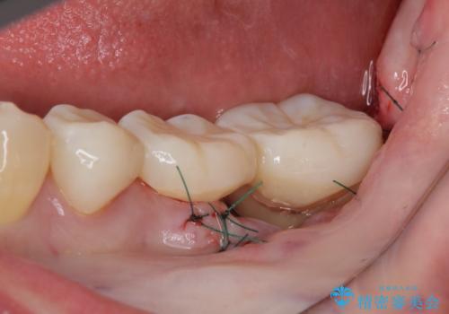
根管治療を行うためにブリッジを除去したところ、むし歯が歯肉の奥深くにあまで及んでいたため、歯周外科処置によりむし歯が歯肉縁より浅い位置へと改善することとしました。
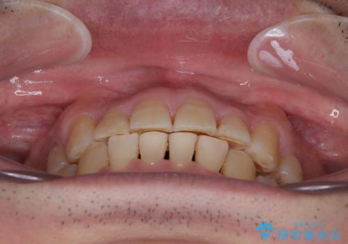
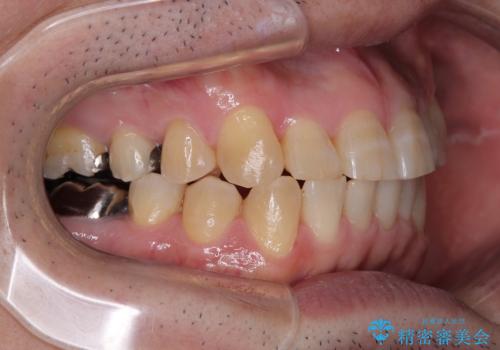
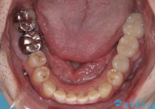
ここまでの治療を提案したところで、折角なのでしっかり治療を行いたいとのことで、前歯のデコボコやクロスバイトを改善するための矯正治療を行うこととしました。
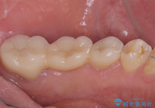
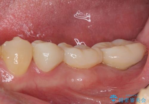
まずは奥歯の痛みを改善し、その後矯正治療を行い、最後にオールセラミックブリッジによる補綴治療を行うこととしました。
- 費用(概算)
- 治療費の目安: 140万円(税込)費用は治療当時の料金となります
治療について
むし歯をきっかけに矯正治療を行うこととなりましたが、学生の頃から気になっていた歯列を改善することができ、患者様には大変満足していただけました。
ワイヤー矯正の注意事項(リスク・副作用など)
- 治療中は違和感や痛みが起こることがあります
- 症状により、抜歯が必要な場合があります
- 治療中は歯磨きがしにくくなるため、虫歯や歯周病になりやすくなります
- 矯正治療後の保定が不十分だと後戻り(元の位置に戻ろうとする動き)をします
- 自費診療(保険適用外)となります
外科処置の注意事項(リスク・副作用など)
- 外科手術のため、術後に出血、痛みや腫れ、違和感を伴います
- 口腔内の状態によっては適応できないことがあります
セラミック治療の注意事項(リスク・副作用など)
- 天然歯を削ります
- 硬い素材は天然歯を傷つけてしまう場合があります
- かみ合わせや歯ぎしりが強すぎる方はセラミックが割れてしまう可能性があります
- 自費診療(保険適用外治療)となります
当サイトの内容、テキスト、画像等の無断転載、複製、複写、盗用を固く禁じます。





































