症例詳細
Case detail
部分矯正で咬み合わせを改善 奥歯のインプラント治療
治療症例の内容
- 患者様
- 40代男性
- 治療期間
- 9ヶ月
- 治療回数
- 10-30回
- 治療計画
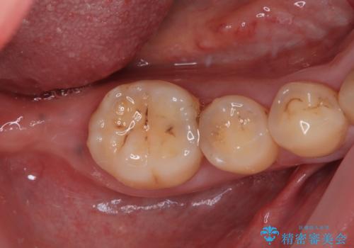
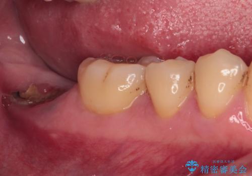
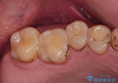
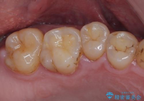
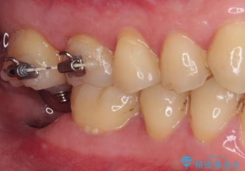
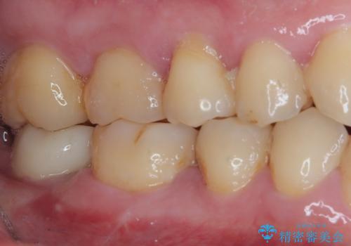
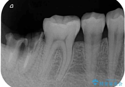
- 左下欠損部のインプラント治療を希望して来院された患者様です。
左下の欠損部を長期間欠損を放置していたことで、咬み合う上の奥歯が動いてしまっていたので、まずは上顎奥歯の部分矯正を行うこととしました。
理想的な咬み合わせに改善した上で、インプラント補綴治療を行うこととしました。
- 費用(概算)
- 治療費の目安: 50万円(税込)費用は治療当時の料金となります
治療について
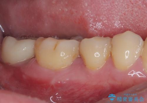
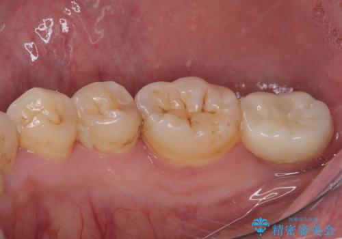
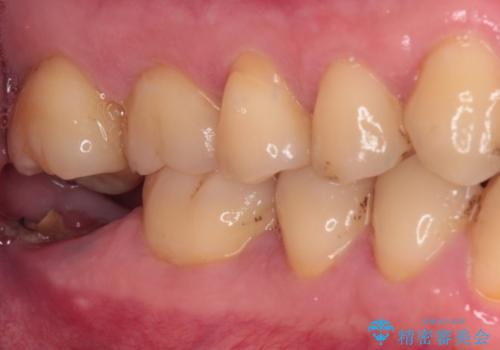
部分矯正を行ったこと治療期間は長くなりましたが、違和感のない咬み合わせを達成することができました。
インプラント治療の注意事項(リスク・副作用など)
- 外科手術のため、術後に痛みや腫れ、違和感を伴います
- メンテナンスを怠ったり喫煙により、お口の中に大きな悪影響を及ぼすインプラント周囲炎等にかかる可能性があります
- 糖尿病、肝硬変、心臓病等の場合、インプラント治療ができない可能性があります
- 高血圧、貧血・不整脈等の場合、インプラント治療後に治癒不全を招く可能性があります
- 自費診療(保険適用外治療)となります
セラミック治療の注意事項(リスク・副作用など)
- 天然歯を削ります
- 硬い素材は天然歯を傷つけてしまう場合があります
- かみ合わせや歯ぎしりが強すぎる方はセラミックが割れてしまう可能性があります
- 自費診療(保険適用外治療)となります
当サイトの内容、テキスト、画像等の無断転載、複製、複写、盗用を固く禁じます。

















