症例詳細
Case detail
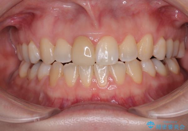
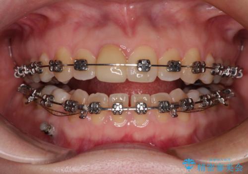
【モニター】後戻りでできた隙間 ワイヤー装置での再矯正
治療症例の内容
- 担当医
- 藤巻太一朗(ドクタープロフィール)
- 患者様
- 30代女性
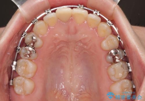
- 矯正装置
- メタルブラケット
- 治療期間
- 1年5ヶ月
- 治療回数
- 10-30回
- 治療計画
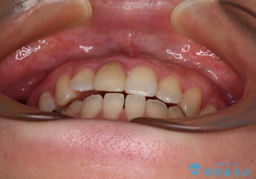
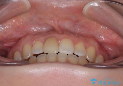
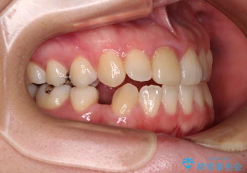
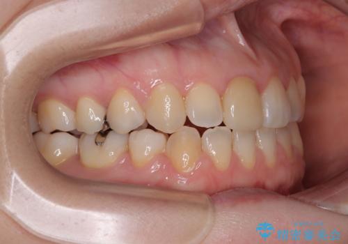
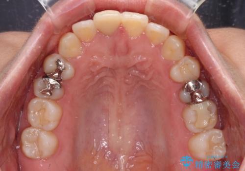
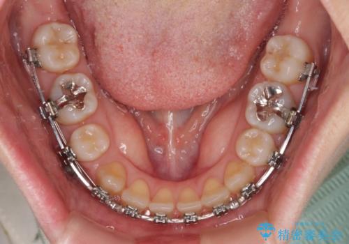
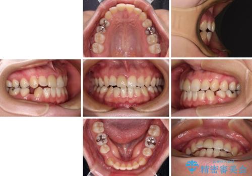
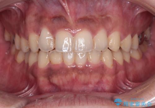
- 学生時代に行った抜歯矯正の後戻りで、隙間ができてしまったことを気にして来院された患者様です。
 マウスピース矯正を検討されていましたが、後戻りの隙間が非常に大きく、奥歯を前方に移動させる必要があるため、ワイヤー装置にて矯正治療を行うこととしました。
- 費用(概算)
- 治療費の目安: 70万円(税込)費用は治療当時の料金となります
※顔写真掲載にあたり、患者様の了解を得ております
治療について
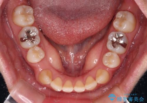
舌の突出癖が非常に強く、その影響で隙間ができてしまったので、舌のトレーニングをしっかりと行っていただきました。
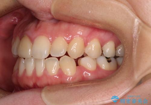
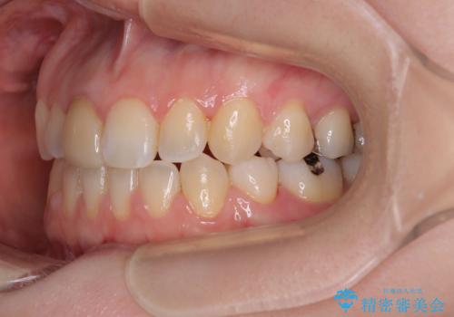
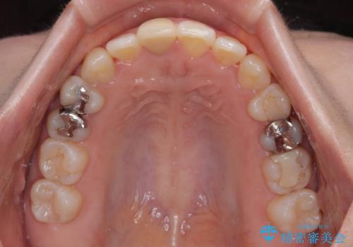
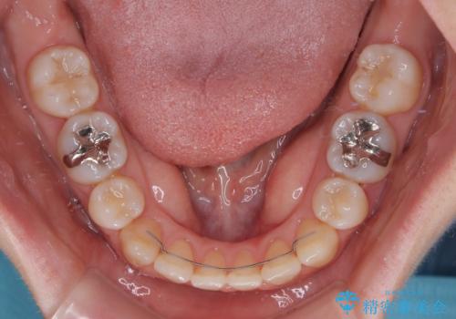
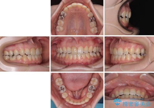
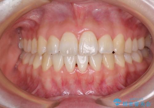
上顎歯列は歯の移動量が少なかったため、セラミッククラウンは装置を装着せずに治療を終えることができました。
ワイヤー矯正の注意事項(リスク・副作用など)
- 治療中は違和感や痛みが起こることがあります
- 症状により、抜歯が必要な場合があります
- 治療中は歯磨きがしにくくなるため、虫歯や歯周病になりやすくなります
- 矯正治療後の保定が不十分だと後戻り(元の位置に戻ろうとする動き)をします
- 自費診療(保険適用外)となります
当サイトの内容、テキスト、画像等の無断転載、複製、複写、盗用を固く禁じます。








 
                       
                                                          

























 
                   
                   
                  