症例詳細
Case detail
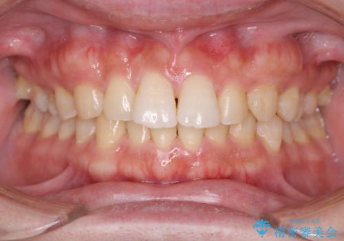
【審美装置】前歯をきれいにしたい
治療症例の内容
- 診療科目
 
- 担当医
 - 菊地俊介(ドクタープロフィール)
 
- 患者様
 - 20代男性
 
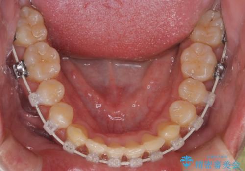
- 矯正装置
 - 審美装置
 
- 治療期間
 - 10ヶ月
 
- 治療回数
 - 5-10回
 
- 治療計画
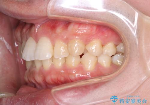
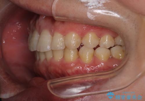
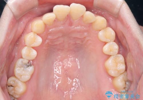
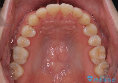
 - 前歯が下唇に当たることが気になるということで矯正治療を希望されました。今回は非抜歯でIPRをし並べる計画をしました。
 
- 費用(概算)
 - 80万円費用は治療当時の料金となります
 
治療について
前歯の叢生が治り、綺麗に並んだことで下唇にあたってしまう主訴は改善しました。
ワイヤー矯正の注意事項(リスク・副作用など)
- 治療中は違和感や痛みが起こることがあります
 - 症状により、抜歯が必要な場合があります
 - 治療中は歯磨きがしにくくなるため、虫歯や歯周病になりやすくなります
 - 矯正治療後の保定が不十分だと後戻り(元の位置に戻ろうとする動き)をします
 - 自費診療(保険適用外)となります
 
当サイトの内容、テキスト、画像等の無断転載、複製、複写、盗用を固く禁じます。

                      
                                                          














