症例詳細
Case detail
飛び出した上顎前歯とむし歯の多い歯列 目立たないハーフリンガル矯正とむし歯治療
- 患者様
- 30代女性
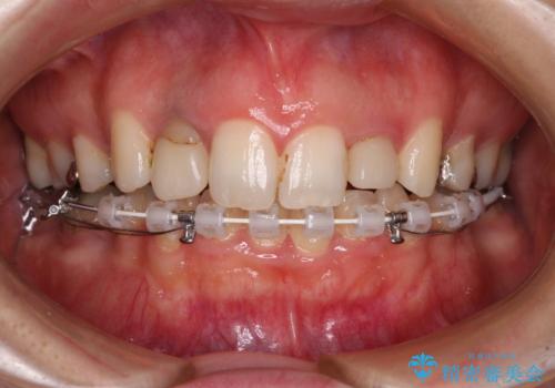
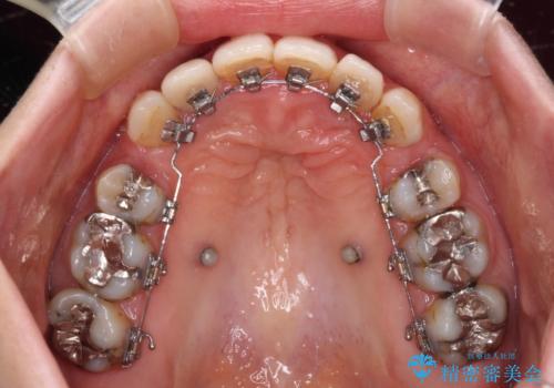
- 矯正装置
- ハーフリンガル
- 治療期間
- 3年10ヶ月
- 治療回数
- 30回以上
- 治療計画
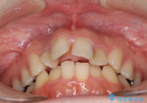
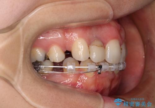
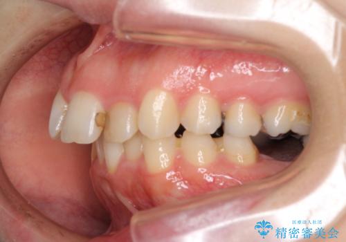
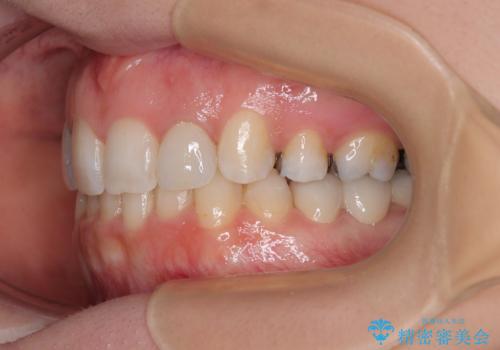
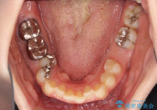
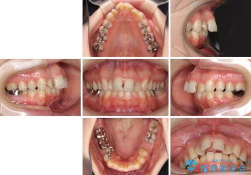
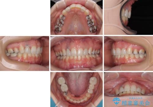
- 上顎前歯が叢生により前方に出ている状態や、全体的なむし歯を気にして来院された患者様です。
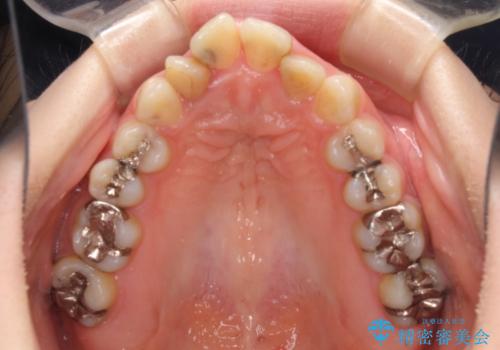
全体的にむし歯や欠損が多く、矯正治療とは別に処置が多く必要な口腔内でした。
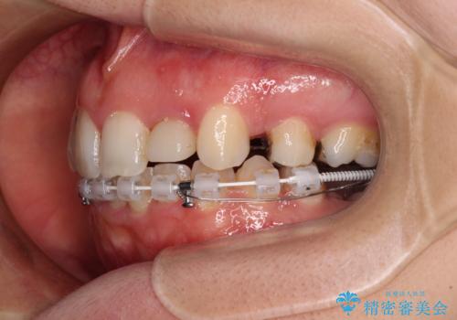
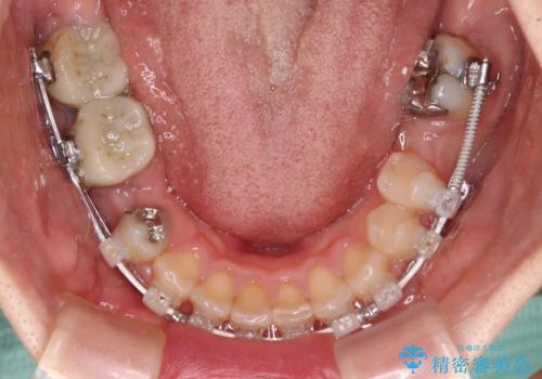
口元の突出感を改善するために小臼歯4本を抜歯することとしましたが、左下は大臼歯が欠損していたため、そのスペースを活用し、小臼歯を3本抜歯して治療を行うこととしました。
目立たないハーフリンガル矯正を希望され、裏側装置はどうしても清掃性が低下し、むし歯発生のリスクが高まるため、矯正治療前にしっかりとむし歯治療を行い、矯正治療後にセラミックによる補綴治療を行うこととしました。
- 費用(概算)
- 治療費の目安: 220万円(税込)費用は治療当時の料金となります
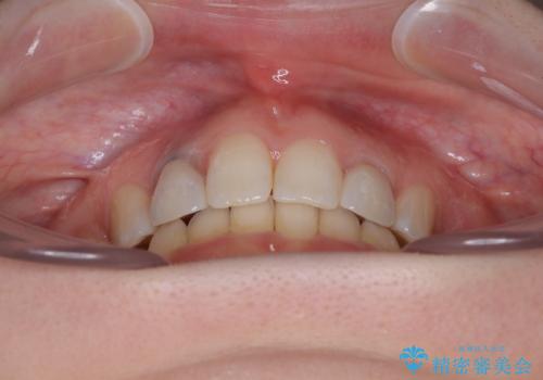
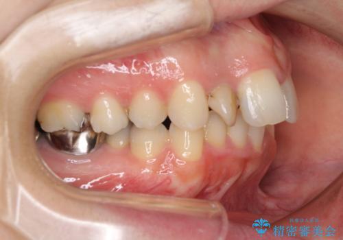
治療について
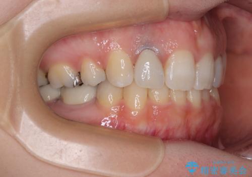
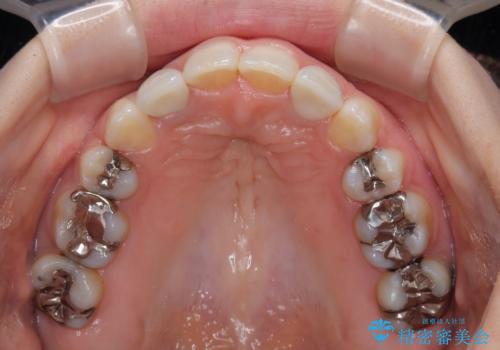
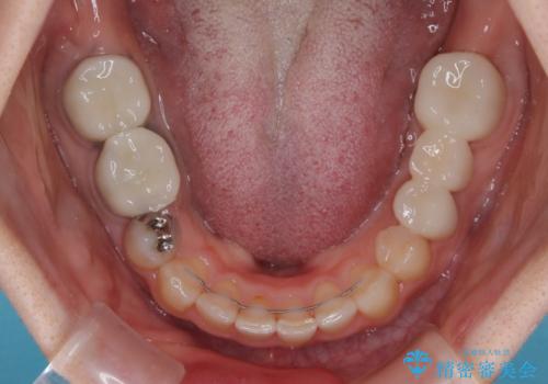
抜歯したスペースがなかなか閉じず、治療に時間はかかりましたが、術前術後のむし歯治療と合わせて3年10ヶ月で治療を終えることができました。
途中結婚により遠方に引っ越しをされたため、むし歯治療は取り急ぎ目立つところをセラミッククラウンとしましたが、今後落ち着いてきたら他の部分も行っていく予定です。
ワイヤー矯正の注意事項(リスク・副作用など)
- 治療中は違和感や痛みが起こることがあります
- 症状により、抜歯が必要な場合があります
- 治療中は歯磨きがしにくくなるため、虫歯や歯周病になりやすくなります
- 矯正治療後の保定が不十分だと後戻り(元の位置に戻ろうとする動き)をします
- 自費診療(保険適用外)となります
セラミック治療の注意事項(リスク・副作用など)
- 天然歯を削ります
- 硬い素材は天然歯を傷つけてしまう場合があります
- かみ合わせや歯ぎしりが強すぎる方はセラミックが割れてしまう可能性があります
- 自費診療(保険適用外治療)となります
当サイトの内容、テキスト、画像等の無断転載、複製、複写、盗用を固く禁じます。


























