症例詳細
Case detail
【インビザライン、10ヵ月で矯正終了!】下の前歯が斜めになっているのを治したい!
治療症例の内容
- 患者様
- 30代女性
- 矯正装置
- インビザライン
- 治療期間
- 10ヶ月
- 治療回数
- 5-10回
- 治療計画
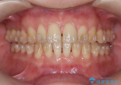
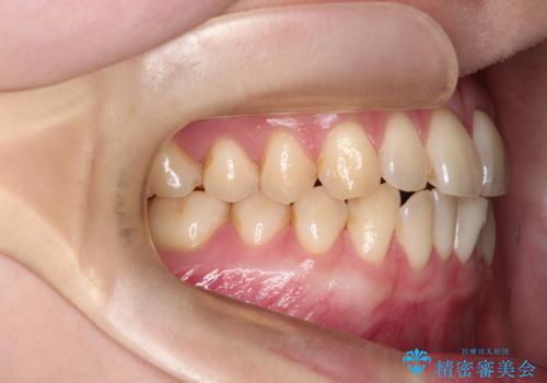
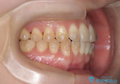
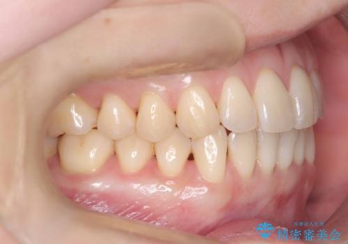
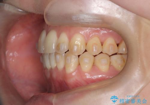
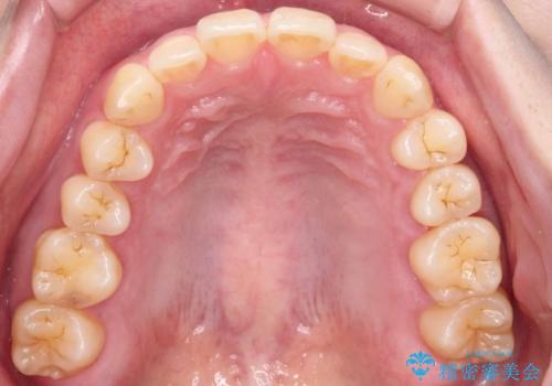
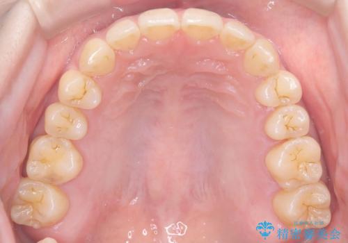
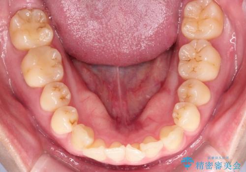
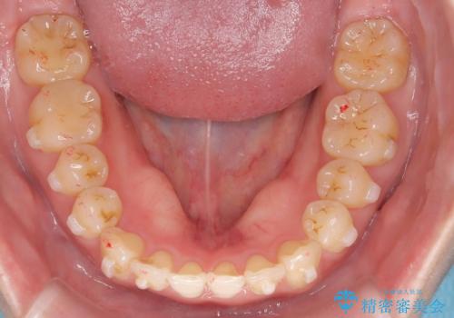
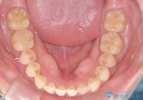
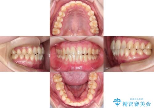
- 「下の前歯が斜めになっている」を主訴に来院された患者様です。
下顎前歯に叢生があり、右上2は反対咬合の状態でした。
昔から食いしばりがあるのを患者様が自覚されており、そのせいか口が開けにくいことも悩まれていました。
抜歯は行わずインビザラインで治療を行いました。
- 費用(概算)
- 682,000円(税込)モニター価格費用は治療当時の料金となります
※顔写真掲載にあたり、患者様の了解を得ております
治療について
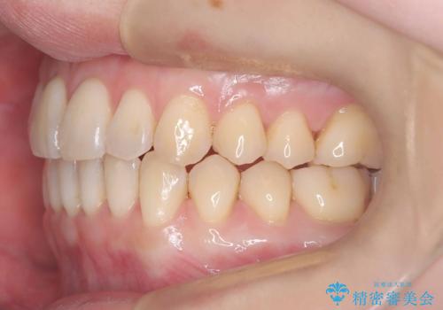
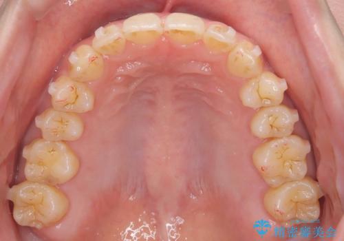
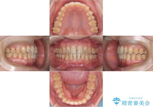
下顎前歯の叢生がとれ右上2の反対咬合も改善し患者様にも満足していただけました。治療期間は1年~1年半を見込んでいましたが、患者様の協力もあり10か月で矯正を終えることが出来ました。
インビザラインはご自身でマウスピースをはめて頂く矯正なので、マウスピースの使用時間をきちんと守れているかどうかがとても大事になります。
インビザラインの性質上、食いしばりや歯ぎしりがある方は咬み合わせが甘くなることがあります。そのような時は保定装置にベックタイプのリテーナーを組み合わせることで改善できます。
マウスピース矯正の注意事項(リスク・副作用など)
- 口腔内・歯並びの状態によっては対応できない場合があります
- マウスピース型矯正装置の長時間装着(1日20時間以上)が必須です
- 治療計画通りに進めるためには、患者様の意志が重要になります
- 矯正治療後の保定が不十分だと後戻り(元の位置に戻ろうとする動き)をします
- 薬機法対象外の矯正歯科装置のため医薬品副作用被害救済制度の対象外となる場合があります
- 自費診療(保険適用外)となります
当サイトの内容、テキスト、画像等の無断転載、複製、複写、盗用を固く禁じます。
























