症例詳細
Case detail
クロスバイトの前歯を改善 ワイヤー装置で楽々矯正治療
治療症例の内容
- 患者様
- 20代女性
- 矯正装置
- 審美装置
- 治療期間
- 1年4ヶ月
- 治療回数
- 10-30回
- 治療計画
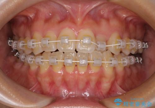
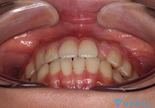
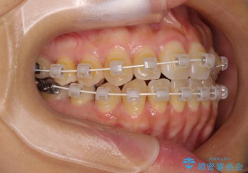
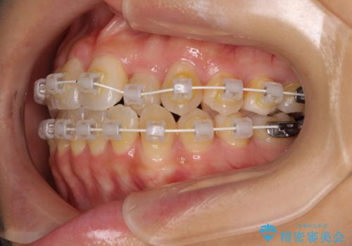
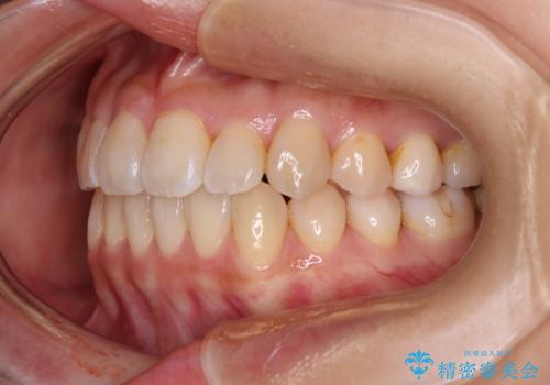
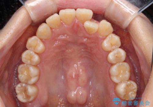
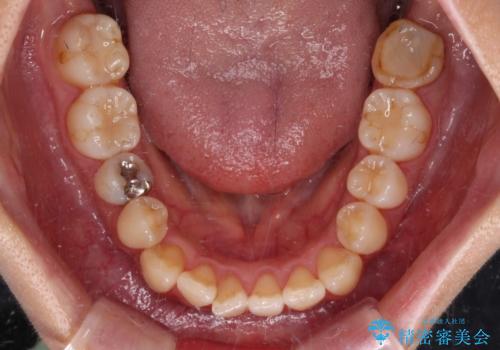
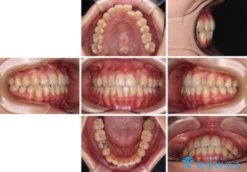
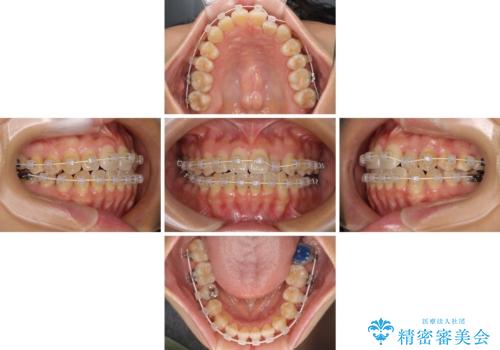
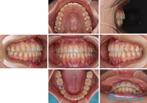
- 前歯のクロスバイトを改善したいとのことで来院された患者様です。
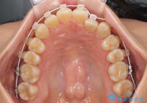
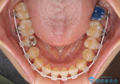
マウスピース矯正は自己管理が煩わしいとのことで、ワイヤー装置による矯正治療を行うこととしました。
舌の突出癖が認められたため、デコボコ改善に伴い前歯が前突する可能性があったため、舌のトレーニングをしっかりと行うよう指導しながら治療を進めることとしました。
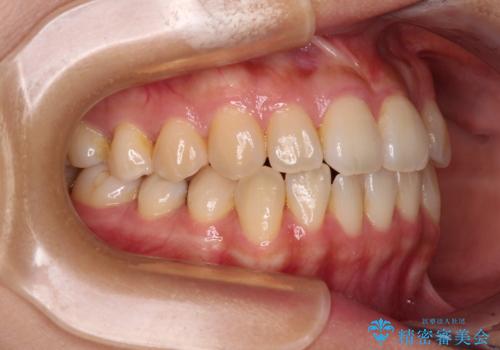
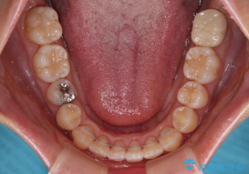
左下の奥歯は根管治療後に放置されていたため、咬み合わせを調整しながら矯正治療を行い、最後にオールセラミッククラウンにて補綴治療を行うこととしました。
- 費用(概算)
- 治療費の目安: 110万円(税込)費用は治療当時の料金となります
治療について
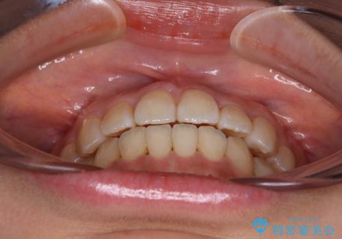
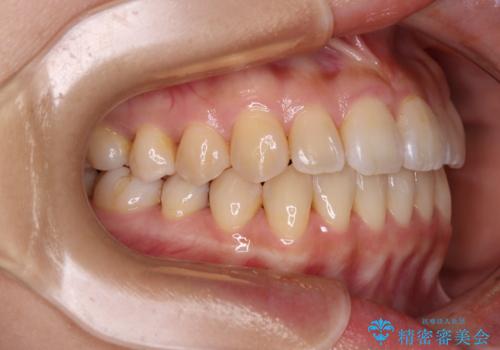
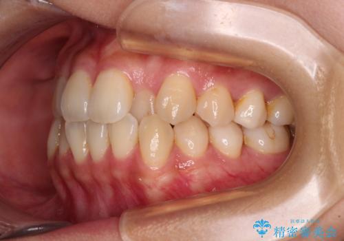
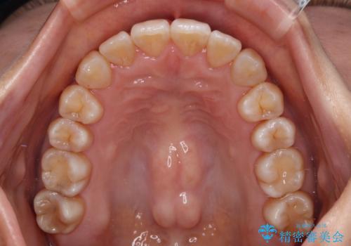
舌のトレーニングをしっかりと行っていただき、補綴治療も含めて1年強の短期間で治療を終えることができました。
ワイヤー矯正の注意事項(リスク・副作用など)
- 治療中は違和感や痛みが起こることがあります
- 症状により、抜歯が必要な場合があります
- 治療中は歯磨きがしにくくなるため、虫歯や歯周病になりやすくなります
- 矯正治療後の保定が不十分だと後戻り(元の位置に戻ろうとする動き)をします
- 自費診療(保険適用外)となります
セラミック治療の注意事項(リスク・副作用など)
- 天然歯を削ります
- 硬い素材は天然歯を傷つけてしまう場合があります
- かみ合わせや歯ぎしりが強すぎる方はセラミックが割れてしまう可能性があります
- 自費診療(保険適用外治療)となります
当サイトの内容、テキスト、画像等の無断転載、複製、複写、盗用を固く禁じます。


























