症例詳細
Case detail
擦れてしみる前歯 オールセラミッククラウンで痛みを改善
治療症例の内容
- 診療科目
- 治療カテゴリ
- 担当医
- 藤巻太一朗(ドクタープロフィール)
- 患者様
- 50代男性
- 治療期間
- 1ヶ月
- 治療回数
- 2-5回
- 治療計画
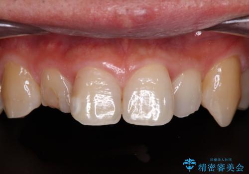
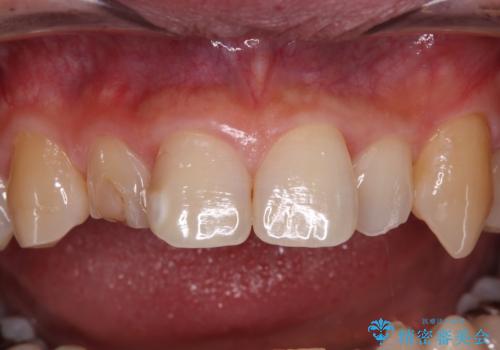
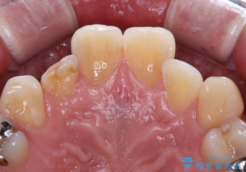
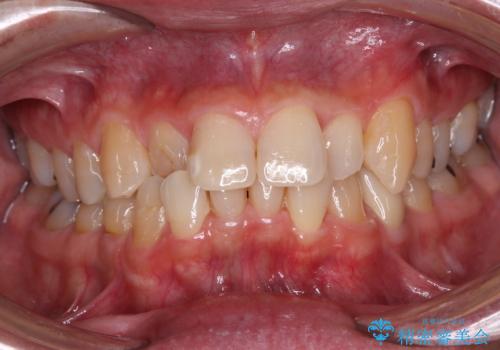
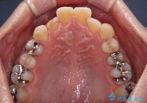
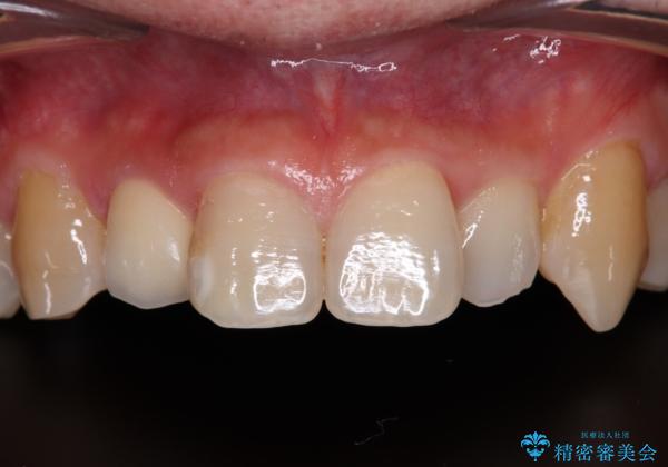
- 内側に倒れている前歯が擦れてしみるとのことで来院された患者様です。
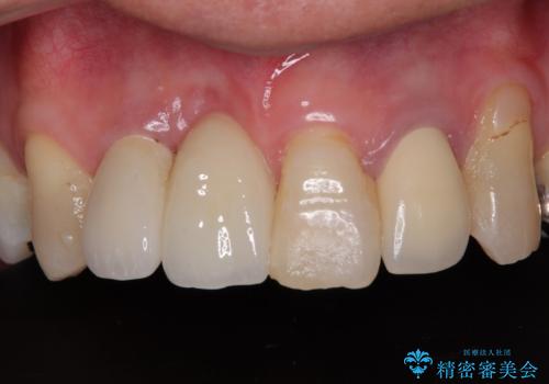
削れていた部分は詰め物が入っていましたが、縁の部分がしみているようで、変色も目立っていたため、オールセラミッククラウンにて補綴治療を行うこととしました。
- 費用(概算)
- 治療費の目安: 16万円(税込)費用は治療当時の料金となります
治療について
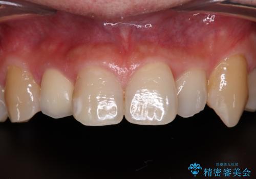
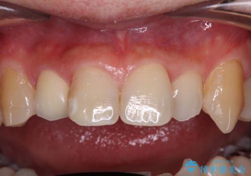
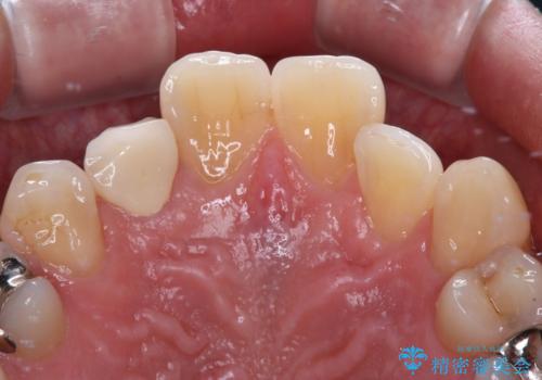
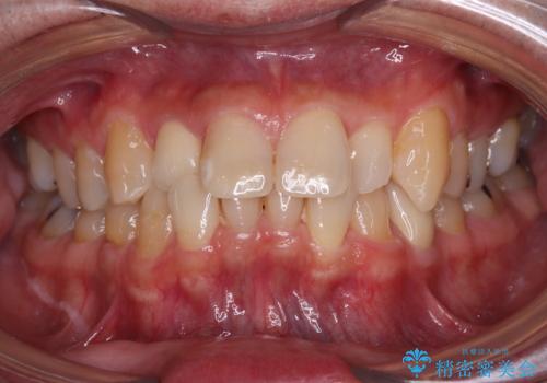
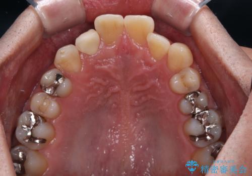
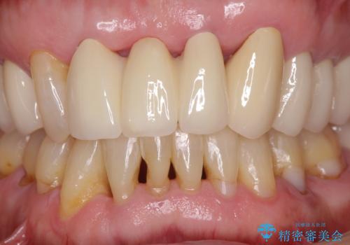
内側に倒れているため、下顎と強く干渉することが懸念されましたが、無理のない咬み合わせで、形態も左右対称に近い状態で仕上げることができました。
セラミック治療の注意事項(リスク・副作用など)
- 天然歯を削ります
- 硬い素材は天然歯を傷つけてしまう場合があります
- かみ合わせや歯ぎしりが強すぎる方はセラミックが割れてしまう可能性があります
- 自費診療(保険適用外治療)となります
当サイトの内容、テキスト、画像等の無断転載、複製、複写、盗用を固く禁じます。












