症例詳細
Case detail
部分矯正とセラミック治療
治療症例の内容
- 患者様
- 20代男性
- 矯正装置
- 部分ワイヤー矯正
- 治療期間
- 8ヶ月
- 治療回数
- 5-10回
- 治療計画
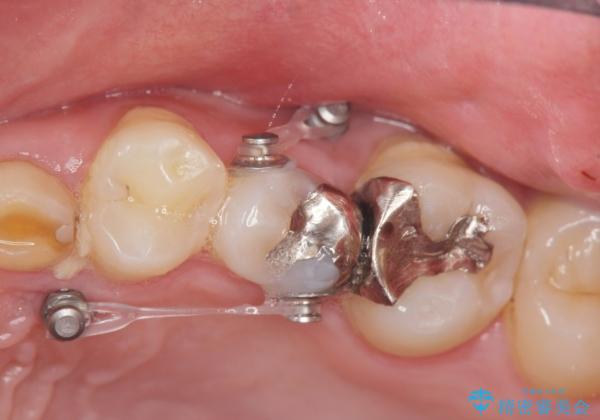
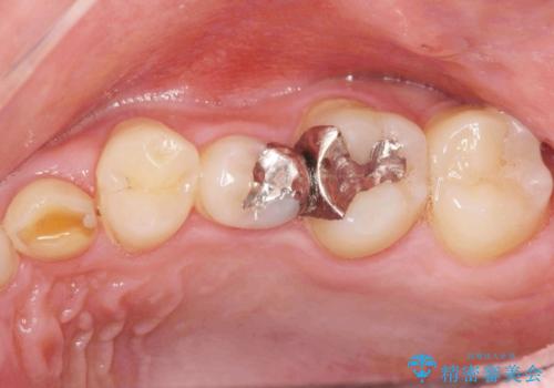
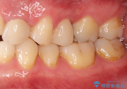
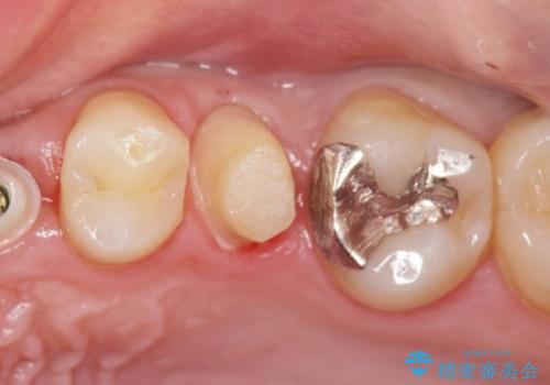
- ねじれてしまっている奥歯の矯正治療、銀歯のセラミック治療を求めて来院されました。
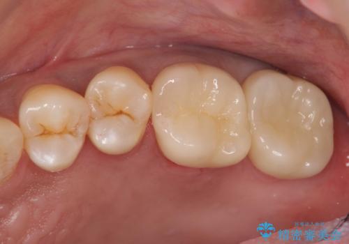
 銀歯を外す前に部分矯正治療を行うことで歯のポジションを調整したのち、セラミック治療を行います。
- 費用(概算)
- 24.2万円(ジルコニアクラウン・仮歯・部分矯正)費用は治療当時の料金となります
治療について
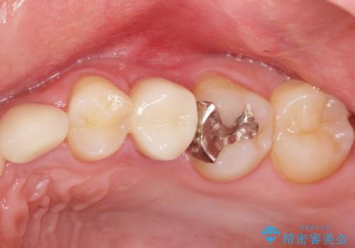
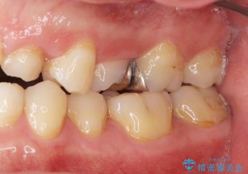
90°ねじれてしまっていた歯を、矯正治療で治し、前後の歯の咬合関係も改善してしっかりと噛めるようになりました。
セラミック治療の注意事項(リスク・副作用など)
- 天然歯を削ります
- 硬い素材は天然歯を傷つけてしまう場合があります
- かみ合わせや歯ぎしりが強すぎる方はセラミックが割れてしまう可能性があります
- 自費診療(保険適用外治療)となります
当サイトの内容、テキスト、画像等の無断転載、複製、複写、盗用を固く禁じます。








 
                       
                                                          








 
                  ![[ 重度の歯周病 ] 骨の造成を伴う奥歯インプラント治療](https://seimitsushinbi.jp/wp/wp-content/uploads/2023/08/492791b6d56ae70787221f5e348c4cdf-500x350.jpg?v=1691032245) 
                   
                  