症例詳細
Case detail
【モニター】前歯に隙間ができるほどのディープバイト ワイヤー装置で負担の少ない咬み合わせに
治療症例の内容
- 患者様
- 30代男性
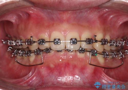
- 矯正装置
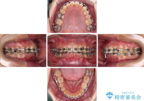
- メタルブラケット
- 治療期間
- 2年7ヶ月
- 治療回数
- 10-30回
- 治療計画
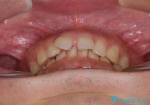
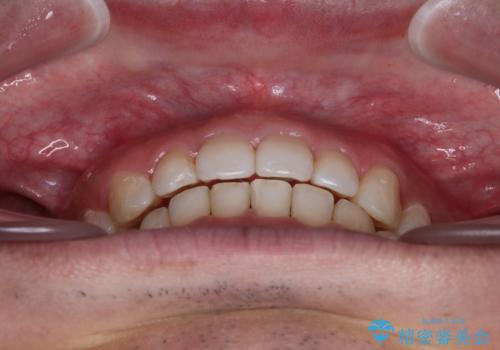
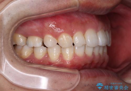
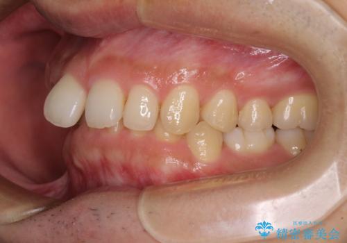
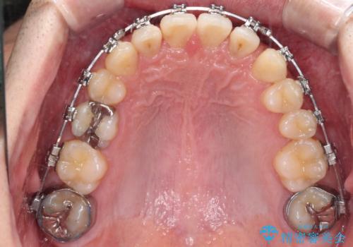
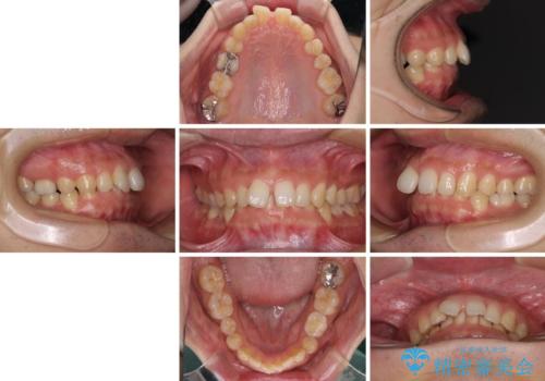
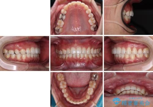
- 前歯の隙間を気にして来院された患者様です。
下顎前歯が見えなくなるくらいに深い咬み合わせであり、さらに上顎の正中が開くほど下の前歯が突き上げている状態でした。
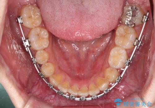
奥歯は手前に倒れてしまっているため、後方に起き上がらせることで深い咬み合わせ・ディープバイトを改善する必要があります。
ディープバイトの方は項合力が強大であることが特徴のため、仕上がりを重要視して、ワイヤー装置にて矯正治療を行うこととしました。
- 費用(概算)
- 治療費の目安: 75万円(税込)費用は治療当時の料金となります
※顔写真掲載にあたり、患者様の了解を得ております
治療について
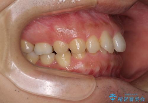
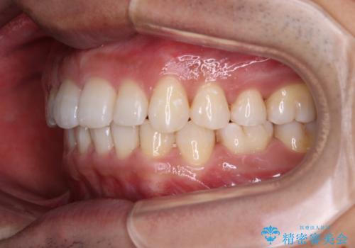
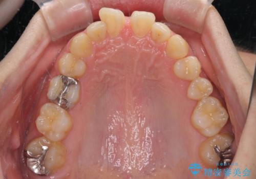
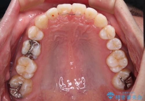
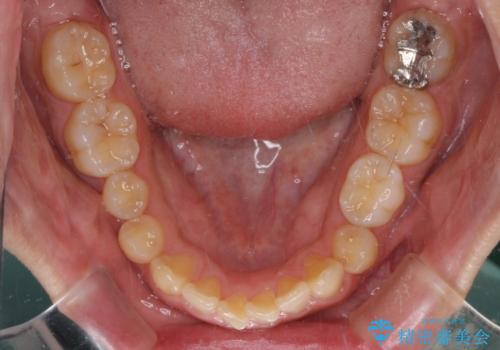
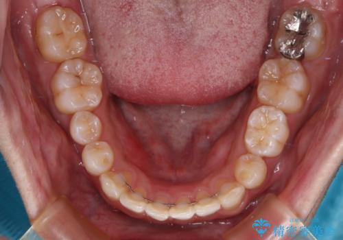
右上と左下は永久歯が欠如しており、大きさの大きく異なる乳歯が残存していたため、奥歯の咬み合わせを構築するために苦労しました。
元々隙間の空いていた上顎の正中は、後戻りのリスクが高いため、下顎前歯同様ワイヤー固定を行いました。
ワイヤー矯正の注意事項(リスク・副作用など)
- 治療中は違和感や痛みが起こることがあります
- 症状により、抜歯が必要な場合があります
- 治療中は歯磨きがしにくくなるため、虫歯や歯周病になりやすくなります
- 矯正治療後の保定が不十分だと後戻り(元の位置に戻ろうとする動き)をします
- 自費診療(保険適用外)となります
当サイトの内容、テキスト、画像等の無断転載、複製、複写、盗用を固く禁じます。


























