症例詳細
Case detail
大きなむし歯と欠損をセラミックに 部分矯正を併用した総合歯科治療
- 患者様
 - 40代女性
 
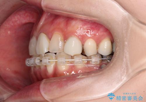
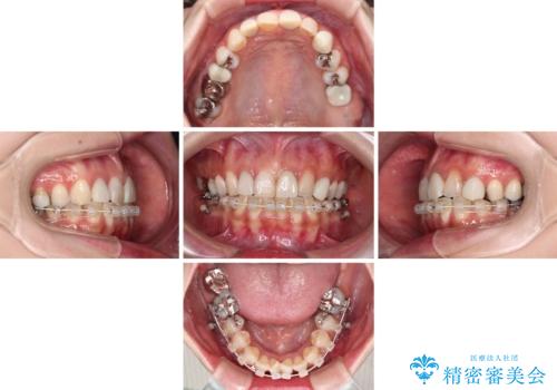
- 矯正装置
 - 審美装置
 
- 治療期間
 - 4年2ヶ月
 
- 治療回数
 - 10-30回
 
- 治療計画
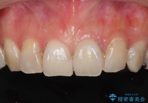
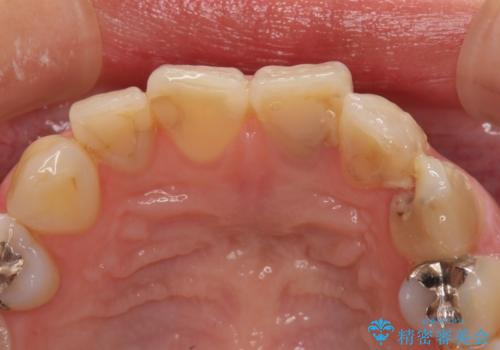
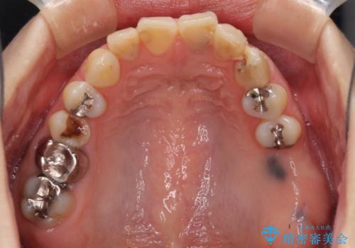
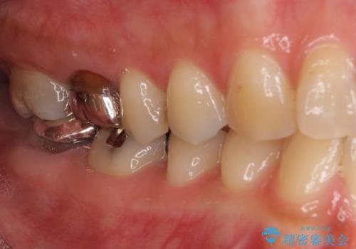
 - 長年むし歯を放置してしまっているとのことで来院された患者様です。
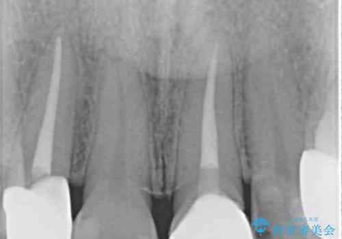
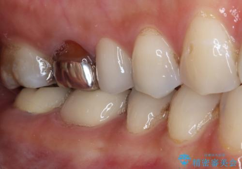
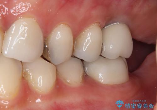
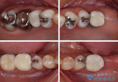
神経が除去されている歯、根管治療の必要な歯、むし歯の非常に大きな歯に対してオールセラミッククラウンにて補綴治療を行うこととしました。
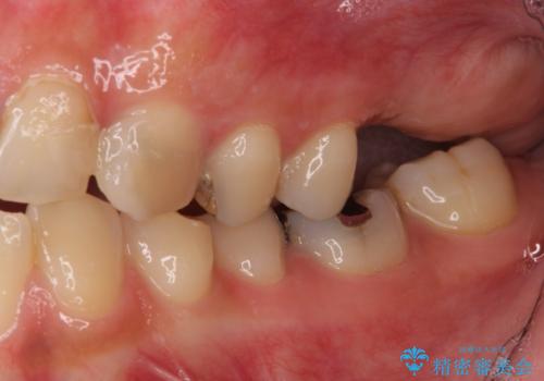
左上の欠損部はインプラントを埋入した上で補綴することとしました。
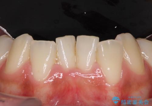
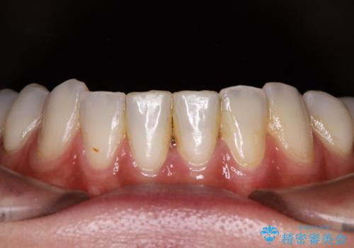
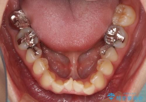
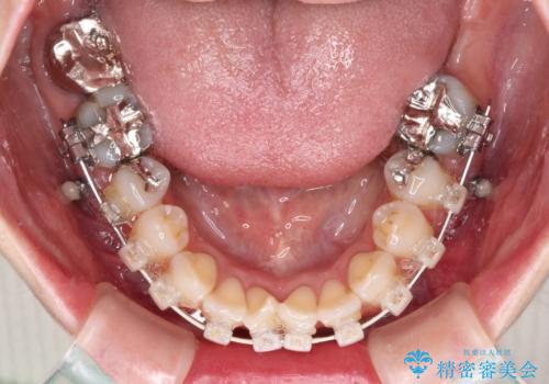
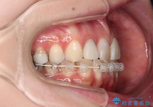
インプラント部は治癒待ちの期間が長くなるため、その期間を利用して下顎の叢生を解消し、より理想的な咬み合わせで補綴治療を行うこととしました。 
- 費用(概算)
 - 治療費の目安: 170万円(税込)費用は治療当時の料金となります
 
治療について
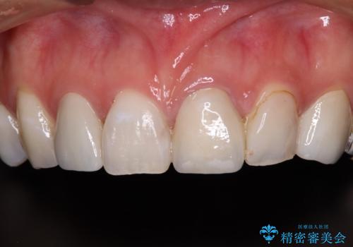
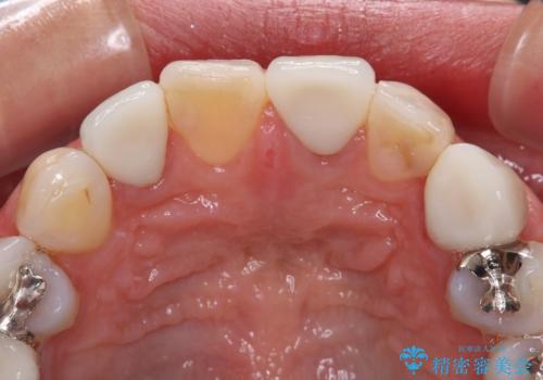
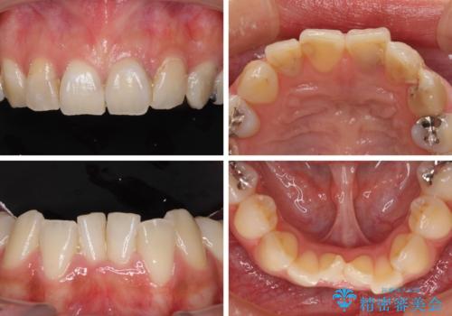
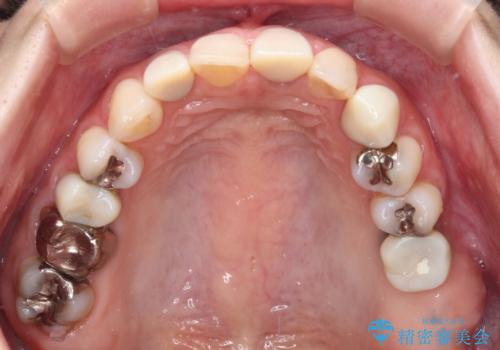
途中通院されなかった時期が何度かあったため、初診から4年以上の年月がかかりましたが、比較的スムーズに治療を進めることができました。
下顎前歯の歯列を整えたことで、上顎前歯の咬み合わせが安定し、自然な口元に仕上げることができました。
ワイヤー矯正の注意事項(リスク・副作用など)
- 治療中は違和感や痛みが起こることがあります
 - 症状により、抜歯が必要な場合があります
 - 治療中は歯磨きがしにくくなるため、虫歯や歯周病になりやすくなります
 - 矯正治療後の保定が不十分だと後戻り(元の位置に戻ろうとする動き)をします
 - 自費診療(保険適用外)となります
 
インプラント治療の注意事項(リスク・副作用など)
- 外科手術のため、術後に痛みや腫れ、違和感を伴います
 - メンテナンスを怠ったり喫煙により、お口の中に大きな悪影響を及ぼすインプラント周囲炎等にかかる可能性があります
 - 糖尿病、肝硬変、心臓病等の場合、インプラント治療ができない可能性があります
 - 高血圧、貧血・不整脈等の場合、インプラント治療後に治癒不全を招く可能性があります
 - 自費診療(保険適用外治療)となります
 
セラミック治療の注意事項(リスク・副作用など)
- 天然歯を削ります
 - 硬い素材は天然歯を傷つけてしまう場合があります
 - かみ合わせや歯ぎしりが強すぎる方はセラミックが割れてしまう可能性があります
 - 自費診療(保険適用外治療)となります
 
当サイトの内容、テキスト、画像等の無断転載、複製、複写、盗用を固く禁じます。

                      
                                                          






























