症例詳細
Case detail
前歯の出っ歯とねじれ 短期間できれいに! 部分矯正とセラミックの組み合わせ治療
- 患者様
- 20代女性
- 矯正装置
- ワイヤー矯正
- 治療期間
- 6ヶ月
- 治療回数
- 10-30回
- 治療計画
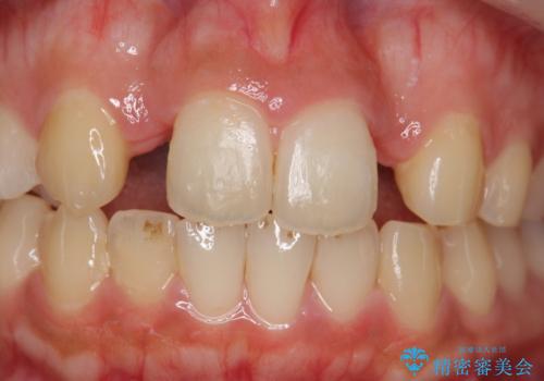
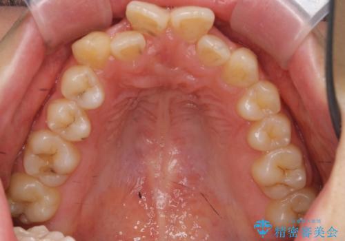
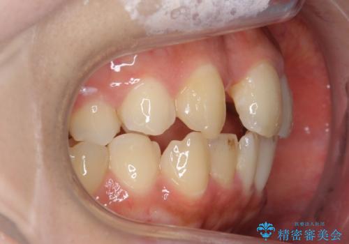
- 前歯のがたつきを主訴に来院。
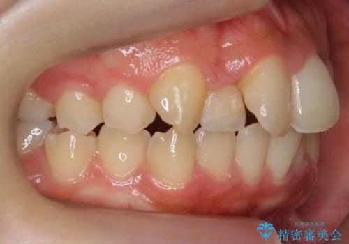
上の前歯のねじれが目立っている状態でした。
➀費用と時間をかけて全体矯正で天然の歯をきれいに並べるプラン(2年くらい)
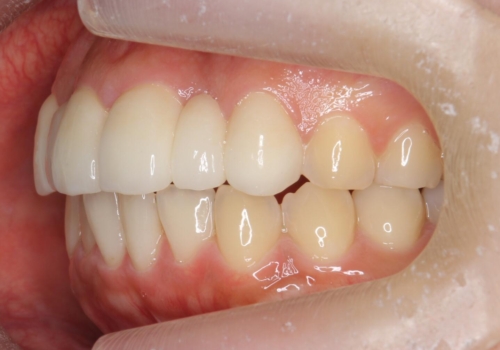
②部分矯正で期間を抑え、前歯のねじれをとり、ひっこめてからブリッジでセラミックでかぶせるプラン(半年~くらい)
を提示し②を選択されました。
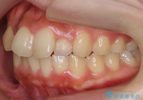
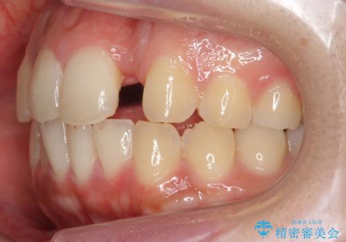
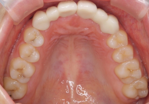
さすがにねじれている歯をそのまま並べると相当な出っ歯の状態になってしまうため、前から2番目の歯を抜歯してひっこめてから③2➀|➀2③の設計のブリッジとする計画を立てました。
- 費用(概算)
- 106.2万円 内訳(ワイヤー部分矯正33万円、③2➀|➀2③ブリッジ:仮歯1.1万円×6、ジルコニアクラウン スタンダード12.1万円×6)費用は治療当時の料金となります
治療について
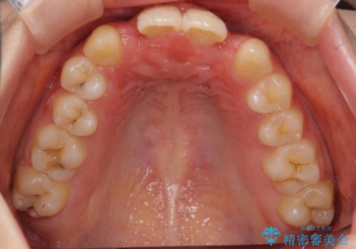
抜歯後の部分矯正の期間中はダミーの歯をつけ、目立たないようにする工夫を行っています。
部分矯正でねじれをとることのメリットは、前歯の神経をとらなくて済むようにできることです。
セラミック治療の注意事項(リスク・副作用など)
- 天然歯を削ります
- 硬い素材は天然歯を傷つけてしまう場合があります
- かみ合わせや歯ぎしりが強すぎる方はセラミックが割れてしまう可能性があります
- 自費診療(保険適用外治療)となります
外科処置の注意事項(リスク・副作用など)
- 外科手術のため、術後に出血、痛みや腫れ、違和感を伴います
- 口腔内の状態によっては適応できないことがあります
ワイヤー矯正の注意事項(リスク・副作用など)
- 治療中は違和感や痛みが起こることがあります
- 症状により、抜歯が必要な場合があります
- 治療中は歯磨きがしにくくなるため、虫歯や歯周病になりやすくなります
- 矯正治療後の保定が不十分だと後戻り(元の位置に戻ろうとする動き)をします
- 自費診療(保険適用外)となります
当サイトの内容、テキスト、画像等の無断転載、複製、複写、盗用を固く禁じます。












