症例詳細
Case detail
前歯のすきま 生まれつき歯が少ないのを治療
治療症例の内容
- 患者様
- 20代男性
- 治療期間
- 2年
- 治療回数
- 10-30回
- 治療計画
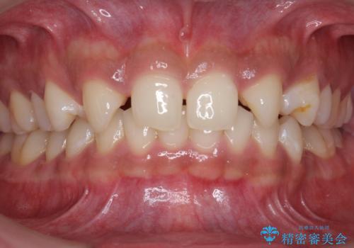
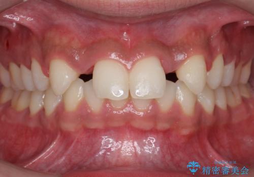
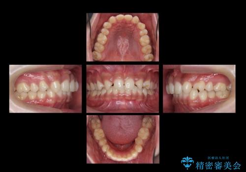
- 前歯の隙間を気にして来院。
生まれつき上の歯が二本少ない状態でした。
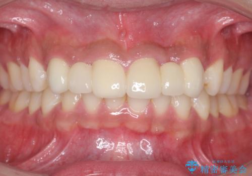
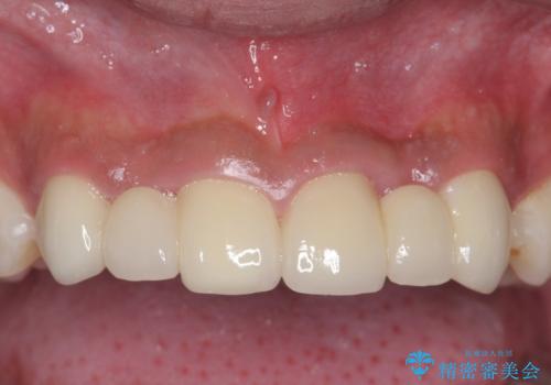
バラバラに位置している前歯の位置を矯正治療で修正してからブリッジを装着しています。
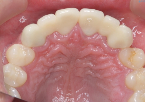
また、全体矯正もご希望でしたので下の歯のがたつきや、すれ違っているかみ合わせも治療しています。
- 費用(概算)
- 前歯ブリッジ85.8万円 (ジルコニアクラウン 12.1万円×6本 仮歯 1.1万円×6本)矯正費用別途費用は治療当時の料金となります
治療について
矯正治療によって事前に歯の位置を修正しているため、ダミーの歯の大きさも調整し、自然な仕上がりにしました。また、犬歯のねじれを治してから削っているため、神経をとらずに歯の形を整えることができました。
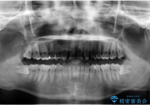
親知らずは矯正前に抜歯しています。
セラミック治療の注意事項(リスク・副作用など)
- 天然歯を削ります
- 硬い素材は天然歯を傷つけてしまう場合があります
- かみ合わせや歯ぎしりが強すぎる方はセラミックが割れてしまう可能性があります
- 自費診療(保険適用外治療)となります
ワイヤー矯正の注意事項(リスク・副作用など)
- 治療中は違和感や痛みが起こることがあります
- 症状により、抜歯が必要な場合があります
- 治療中は歯磨きがしにくくなるため、虫歯や歯周病になりやすくなります
- 矯正治療後の保定が不十分だと後戻り(元の位置に戻ろうとする動き)をします
- 自費診療(保険適用外)となります
当サイトの内容、テキスト、画像等の無断転載、複製、複写、盗用を固く禁じます。
















