症例詳細
Case detail
外科手術が必要と言えるほど突出した前歯 長期間をかけた抜歯矯正
治療症例の内容
- 患者様
 - 30代女性
 
- 矯正装置
 - メタルブラケット
 
- 治療期間
 - 4年
 
- 治療回数
 - 30回以上
 
- 治療計画
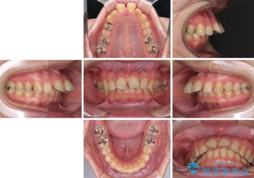
 - 上下の前歯が接触しないくらいに突出した上顎前歯を気にして来院された患者様です。
上顎が前方に傾斜して突出しており、下顎前歯は上顎の歯肉に咬みこむような、前後に大きなズレがあり非常に深い咬み合わせとなっていました。
根本的な解決には上顎骨を切除する外科矯正を検討するべきですが、手術無しでの治療をご希望とのことで、上顎左右の第一小臼歯を抜歯してワイヤー装置にて矯正治療を行うこととしました。 
- 費用(概算)
 - 治療費の目安: 105万円(税込)費用は治療当時の料金となります
 
治療について
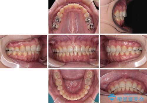
4年程度はかかるとの想定でしたが、予定通り4年ちょうどで治療を終えることができました。
上顎前歯の歯軸が大きく改善され、横顔の印象が改善されました。
ワイヤー矯正の注意事項(リスク・副作用など)
- 治療中は違和感や痛みが起こることがあります
 - 症状により、抜歯が必要な場合があります
 - 治療中は歯磨きがしにくくなるため、虫歯や歯周病になりやすくなります
 - 矯正治療後の保定が不十分だと後戻り(元の位置に戻ろうとする動き)をします
 - 自費診療(保険適用外)となります
 
当サイトの内容、テキスト、画像等の無断転載、複製、複写、盗用を固く禁じます。

                      
                                                          
























