症例詳細
Case detail
反対咬合を治したい ワイヤー装置で一気に咬み合わせを改善
治療症例の内容
- 診療科目
- 治療カテゴリ
- 担当医
- 藤巻太一朗(ドクタープロフィール)
- 患者様
- 20代女性
- 矯正装置
- メタルブラケット
- 治療期間
- 8ヶ月
- 治療回数
- 5-10回
- 治療計画
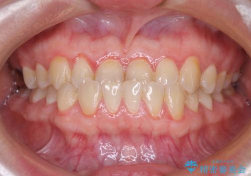
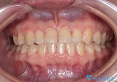
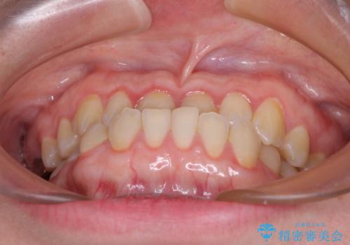
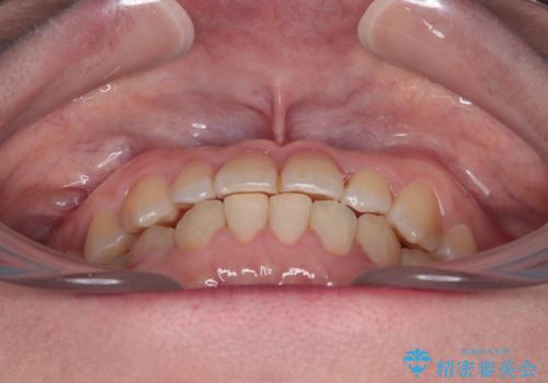
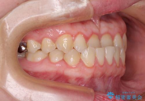
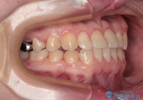
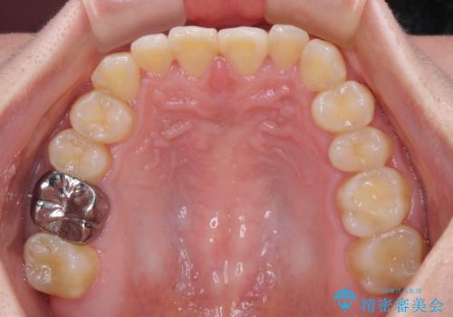
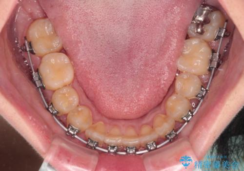
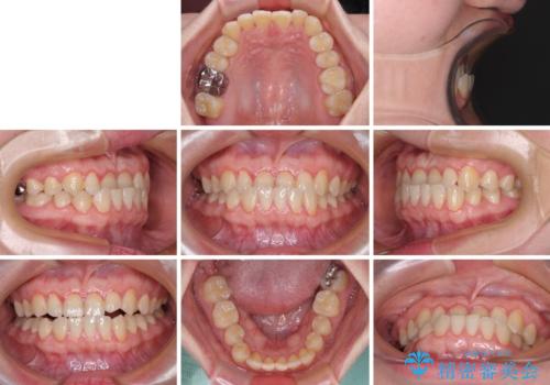
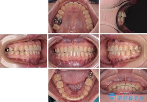
- 前歯の反対咬合を気にして来院された患者様です。
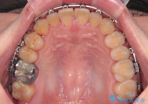
当院にて同様の咬み合わせを治療した方からのご紹介ということもあり、ご紹介者と同じワイヤー矯正で早めに治療を終えることを希望されました。
骨格的に下顎が前方に位置していましたが、歯列矯正で改善できると判断し、ワイヤー装置にて矯正治療を行うこととしました。
- 費用(概算)
- 治療費の目安: 80万円(税込)費用は治療当時の料金となります
治療について
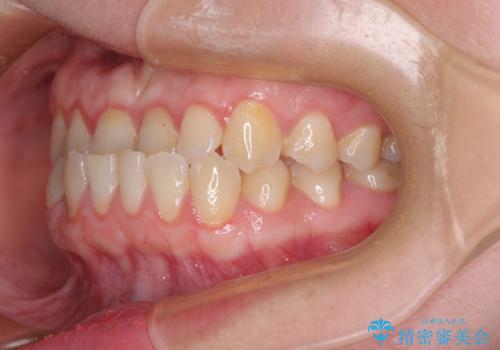
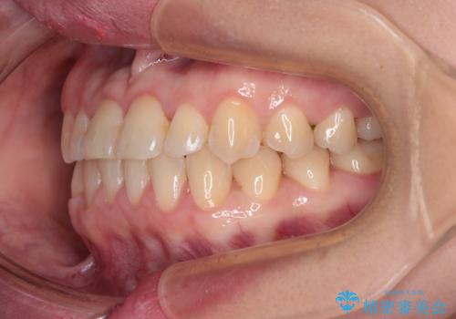
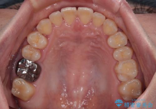
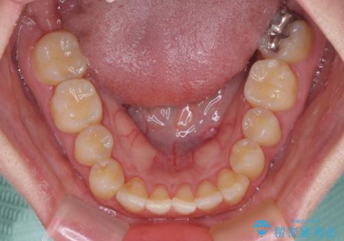
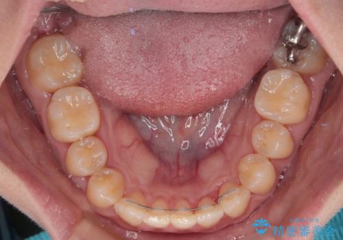
このような咬み合わせの方の多くは、舌の突出癖が強い傾向にあり、反対咬合改善後に開咬となってしまい、なかなか治療が終わらないことがあります。
こちらの患者様は、舌のトレーニングを治療開始前から徹底的に実践していただき、僅か8ヶ月という短期間で治療を終えることができました。
ワイヤー矯正の注意事項(リスク・副作用など)
- 治療中は違和感や痛みが起こることがあります
- 症状により、抜歯が必要な場合があります
- 治療中は歯磨きがしにくくなるため、虫歯や歯周病になりやすくなります
- 矯正治療後の保定が不十分だと後戻り(元の位置に戻ろうとする動き)をします
- 自費診療(保険適用外)となります
当サイトの内容、テキスト、画像等の無断転載、複製、複写、盗用を固く禁じます。


























