症例詳細
Case detail
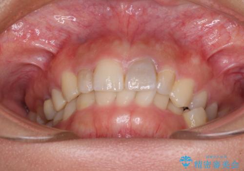
歯列から飛び出た歯 ワイヤー矯正で整った歯列に
治療症例の内容
- 担当医
- 藤巻太一朗(ドクタープロフィール)
- 患者様
- 30代女性
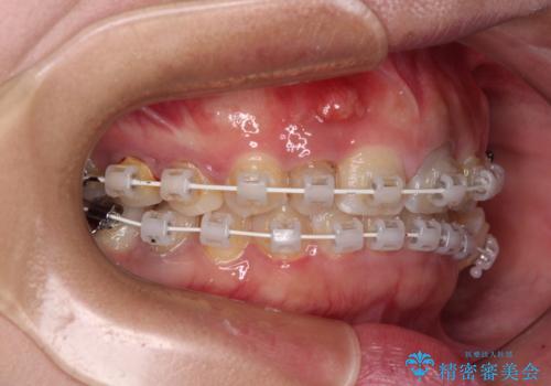
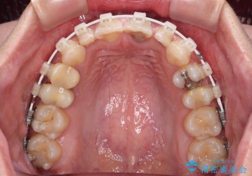
- 矯正装置
- 審美装置
- 治療期間
- 2年5ヶ月
- 治療回数
- 10-30回
- 治療計画
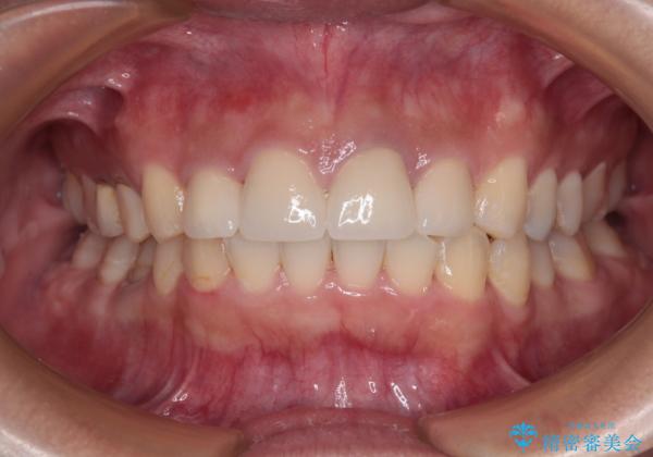
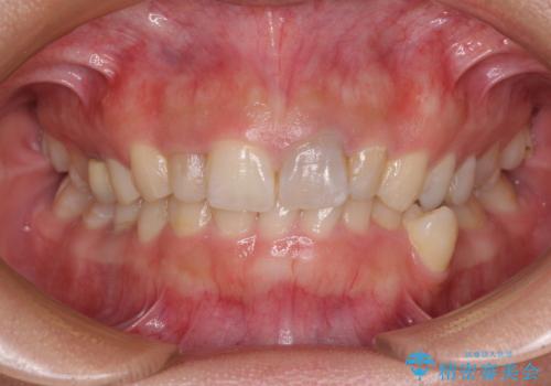
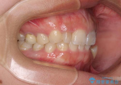
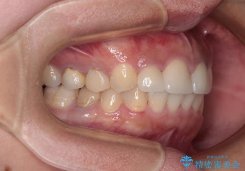
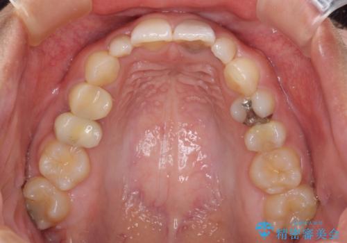
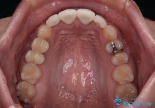
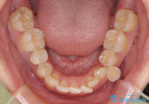
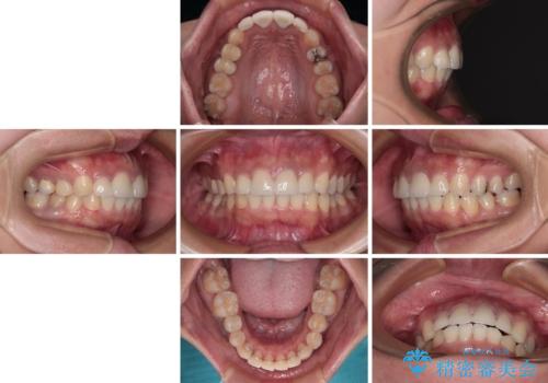
- 下顎の歯列から飛び出した小臼歯を気にして来院された患者様です。
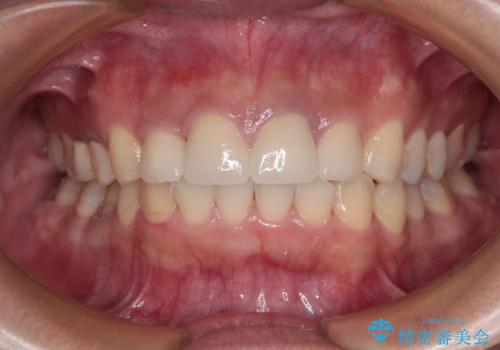
 歯列以外に、上顎左右側切歯が矮小歯であり、上顎4前歯は失活していたため、矯正治療で歯列を整えるとともに上顎前歯の幅を調整し、矯正治療後にオールセラミッククラウンにて審美歯科治療を行うこととしました。
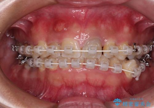
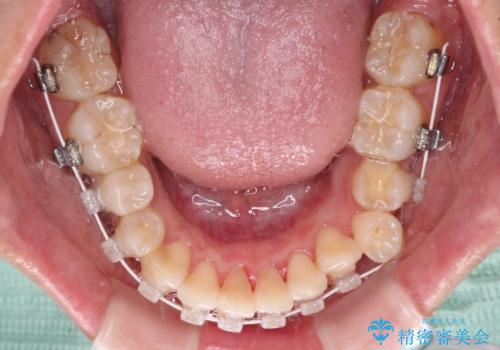
 矯正治療は、小臼歯1本分を歯列に納めないいけない状態であったため、表側のワイヤー装置にて行うこととしました。
- 費用(概算)
- 治療費の目安: 150万円(税込)費用は治療当時の料金となります
治療について
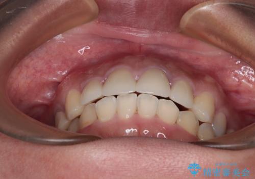
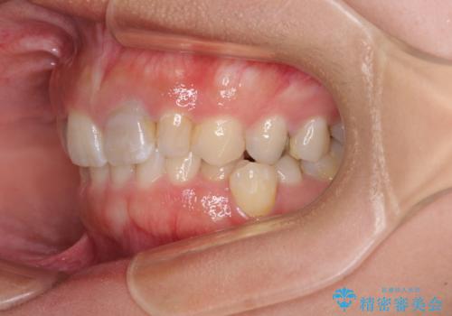
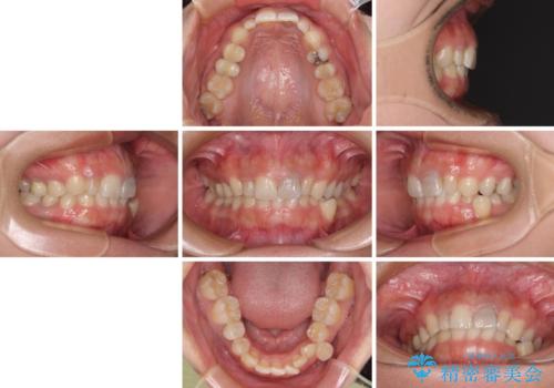
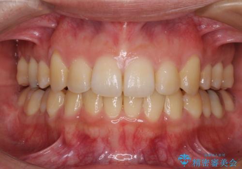
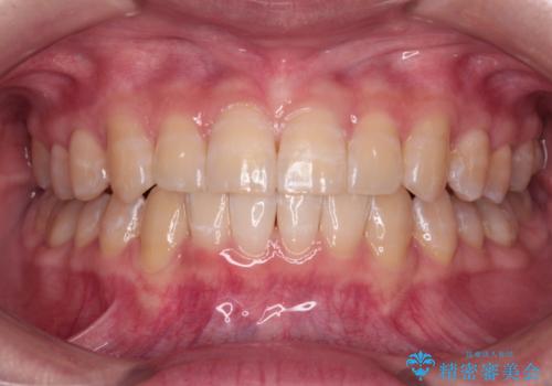
下顎の小臼歯を移動しきるのに2年弱の期間を要することとなり、補綴治療も合わせて2年半ほどの治療期間となりました。
口元の印象が大きく改善し、患者様には大変満足していただけました。
ワイヤー矯正の注意事項(リスク・副作用など)
- 治療中は違和感や痛みが起こることがあります
- 症状により、抜歯が必要な場合があります
- 治療中は歯磨きがしにくくなるため、虫歯や歯周病になりやすくなります
- 矯正治療後の保定が不十分だと後戻り(元の位置に戻ろうとする動き)をします
- 自費診療(保険適用外)となります
セラミック治療の注意事項(リスク・副作用など)
- 天然歯を削ります
- 硬い素材は天然歯を傷つけてしまう場合があります
- かみ合わせや歯ぎしりが強すぎる方はセラミックが割れてしまう可能性があります
- 自費診療(保険適用外治療)となります
当サイトの内容、テキスト、画像等の無断転載、複製、複写、盗用を固く禁じます。








 
                       
                                                          























 
                   
                   
                  