症例詳細
Case detail
気になる出っ歯を治したい 抜歯矯正でスッキリした横顔に
治療症例の内容
- 担当医
- 藤巻太一朗(ドクタープロフィール)
- 患者様
- 30代女性
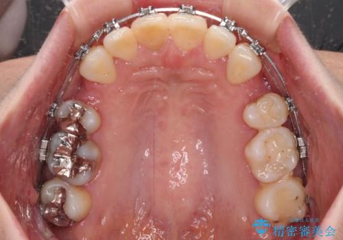
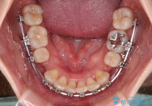
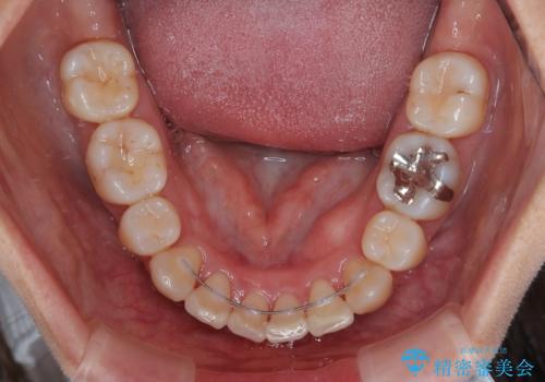
- 矯正装置
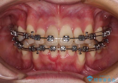
- メタルブラケット
- 治療期間
- 1年10ヶ月
- 治療回数
- 10-30回
- 治療計画
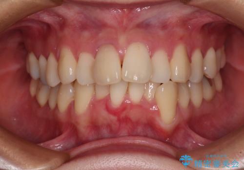
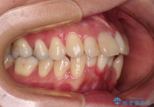
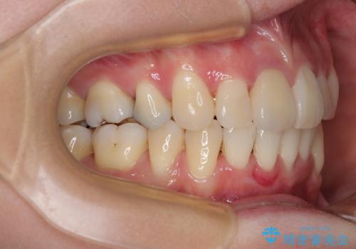
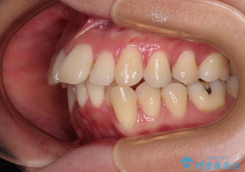
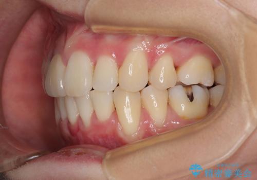
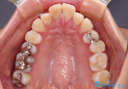
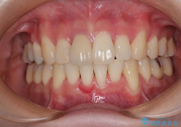
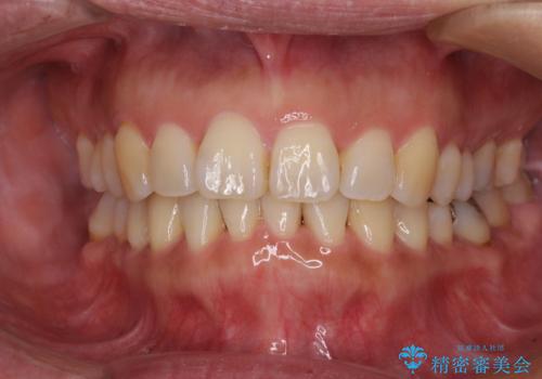
- 八重歯と上の前歯が出っ歯になっていることを気にして来院された患者様です。
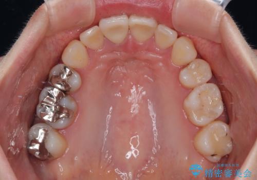
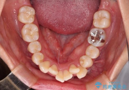
横から見た際の口元の飛び出した印象も改善したいとのことで、上下左右の第一小臼歯4本を抜歯し、ワイヤー装置にて抜歯矯正を行うこととしました。
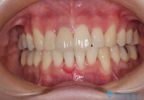
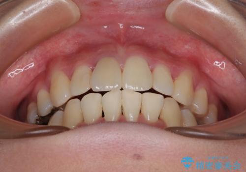
前歯の変色している歯は、神経組織が壊死していたため、矯正治療前に根管治療を実施し、矯正治療後にオールセラミッククラウンにて補綴治療を行うこととしました。
- 費用(概算)
- 治療費の目安: 120万円(税込)費用は治療当時の料金となります
治療について
順調に歯が動き、補綴治療も含め2年弱で治療を終えることができました。
ワイヤー矯正の注意事項(リスク・副作用など)
- 治療中は違和感や痛みが起こることがあります
- 症状により、抜歯が必要な場合があります
- 治療中は歯磨きがしにくくなるため、虫歯や歯周病になりやすくなります
- 矯正治療後の保定が不十分だと後戻り(元の位置に戻ろうとする動き)をします
- 自費診療(保険適用外)となります
当サイトの内容、テキスト、画像等の無断転載、複製、複写、盗用を固く禁じます。


























