症例詳細
Case detail
前歯の変色と隙間を治したい 前歯の審美歯科治療
治療症例の内容
- 患者様
- 40代女性
- 治療期間
- 3ヶ月
- 治療回数
- 5-10回
- 治療計画
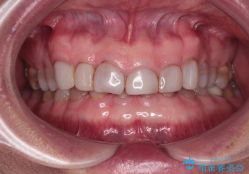
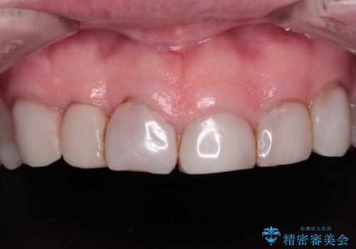
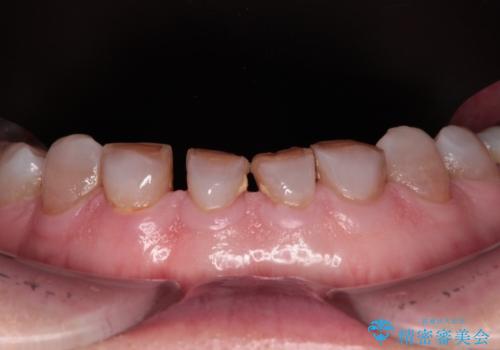
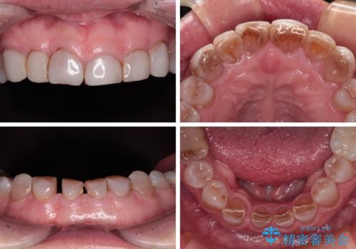
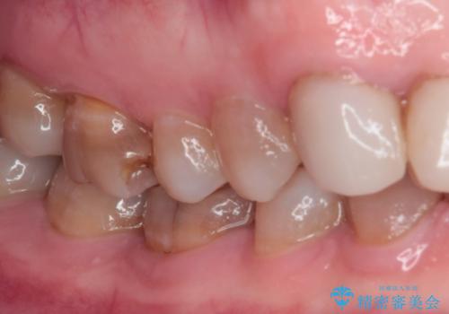
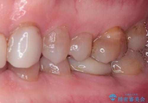
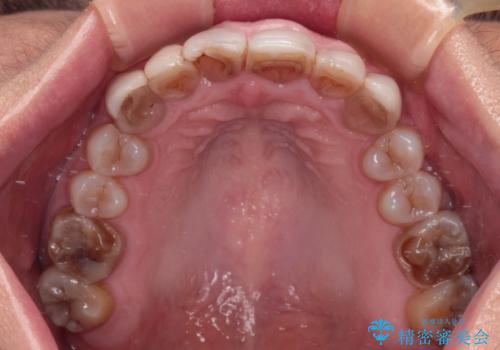
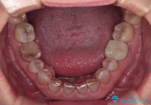
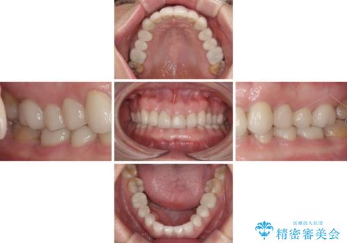
- 前歯の変色や欠損による隙間を気にして来院された患者様です。
上顎前歯は樹脂による変色を覆い隠す処置が行われていましたが、汚れが溜まりやすく厚みも増している状態でした。
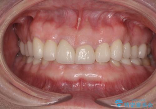
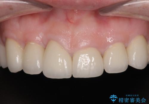
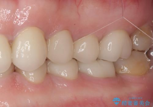
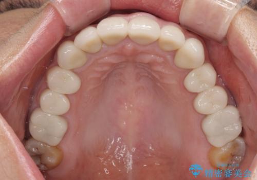
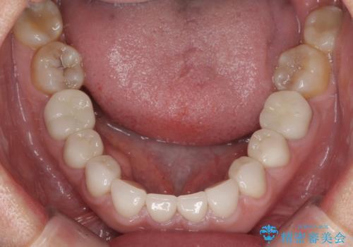
上顎前歯は樹脂を外し、下顎前歯の隙間はそれぞれの歯を大きくするように補綴治療を行うことで隙間を埋めることとしました。
- 費用(概算)
- 治療費の目安: 300万円(税込)費用は治療当時の料金となります
治療について
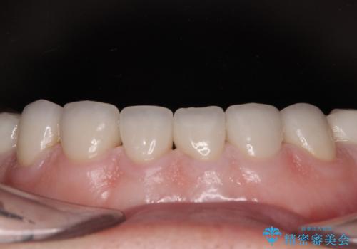
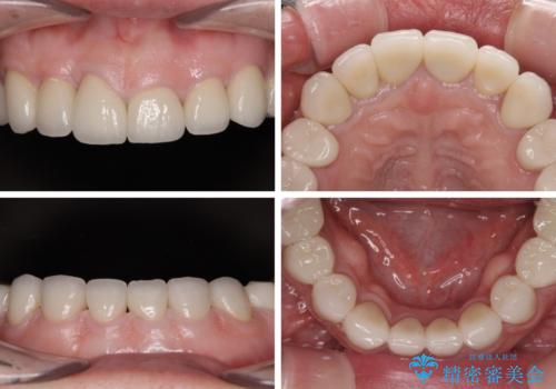
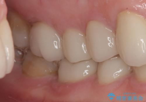
口を開けたときに見える範囲をオールセラミッククラウンとし、とても自然な口元に仕上げることができました。
セラミック治療の注意事項(リスク・副作用など)
- 天然歯を削ります
- 硬い素材は天然歯を傷つけてしまう場合があります
- かみ合わせや歯ぎしりが強すぎる方はセラミックが割れてしまう可能性があります
- 自費診療(保険適用外治療)となります
当サイトの内容、テキスト、画像等の無断転載、複製、複写、盗用を固く禁じます。






















