症例詳細
Case detail
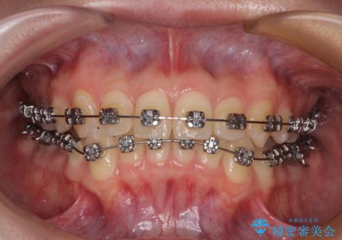
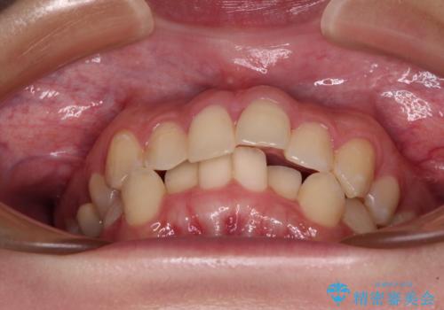
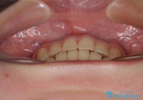
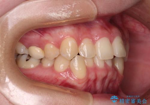
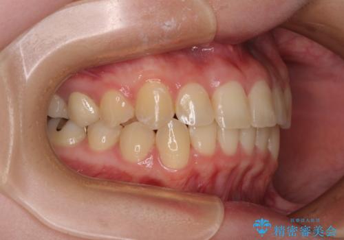
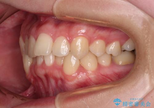
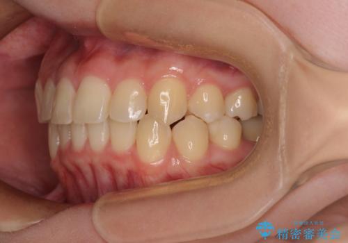
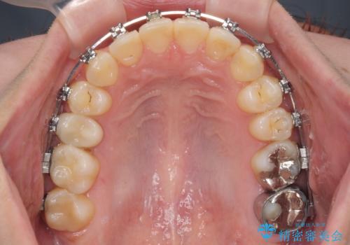
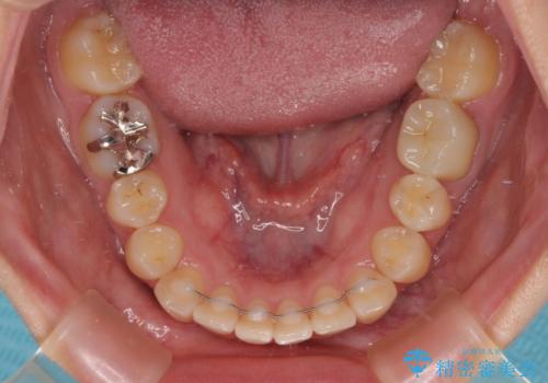
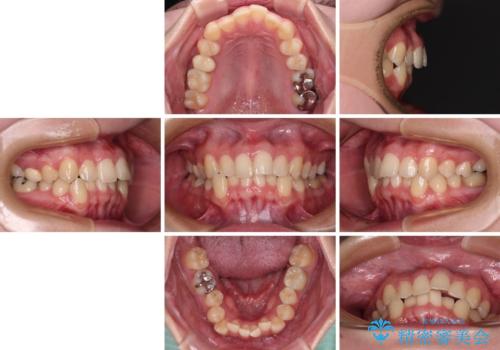
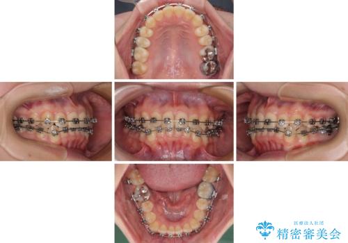
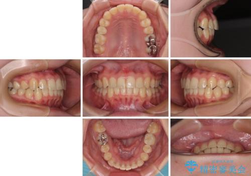
前歯のクロスバイト ギラギラのワイヤー装置で矯正治療
治療症例の内容
- 担当医
- 藤巻太一朗(ドクタープロフィール)
- 患者様
- 30代女性
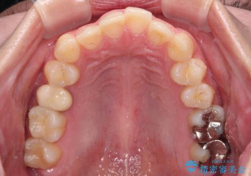
- 矯正装置
- メタルブラケット
- 治療期間
- 1年3ヶ月
- 治療回数
- 10-30回
- 治療計画
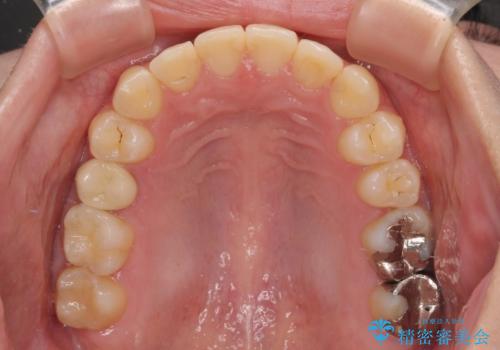
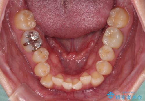
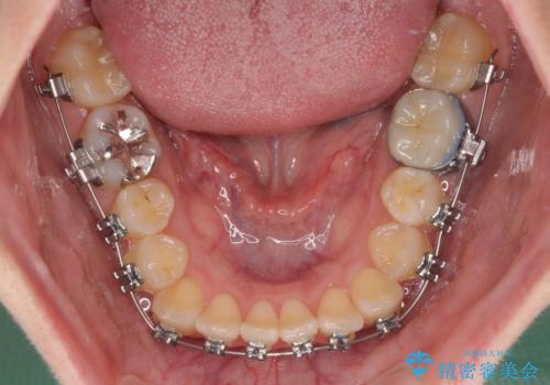
- 前歯のクロスバイトを改善したいとのことで来院された患者様です。
マウスピース矯正では前歯の神経への負担が大きいことを懸念され、ワイヤー装置による矯正治療を行うこととしました。
- 費用(概算)
- 治療費の目安: 80万円(税込)費用は治療当時の料金となります
治療について
クロスバイトが改善する際は、前歯しか接触しないため、痛みがあったり食事が取りにくかったりと、不便な時期がありますが、1年強の短期間で無事に治療を終えることができました。
ワイヤー矯正の注意事項(リスク・副作用など)
- 治療中は違和感や痛みが起こることがあります
- 症状により、抜歯が必要な場合があります
- 治療中は歯磨きがしにくくなるため、虫歯や歯周病になりやすくなります
- 矯正治療後の保定が不十分だと後戻り(元の位置に戻ろうとする動き)をします
- 自費診療(保険適用外)となります
セラミック治療の注意事項(リスク・副作用など)
- 天然歯を削ります
- 硬い素材は天然歯を傷つけてしまう場合があります
- かみ合わせや歯ぎしりが強すぎる方はセラミックが割れてしまう可能性があります
- 自費診療(保険適用外治療)となります
当サイトの内容、テキスト、画像等の無断転載、複製、複写、盗用を固く禁じます。


























