症例詳細
Case detail
虫歯で失われた前歯 インプラントによる補綴治療
治療症例の内容
- 担当医
- 藤巻太一朗(ドクタープロフィール)
- 患者様
- 50代女性
- 治療期間
- 6ヶ月
- 治療回数
- 5-10回
- 治療計画
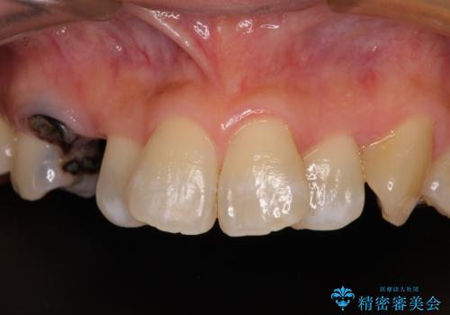
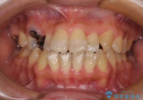
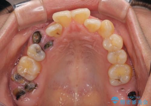
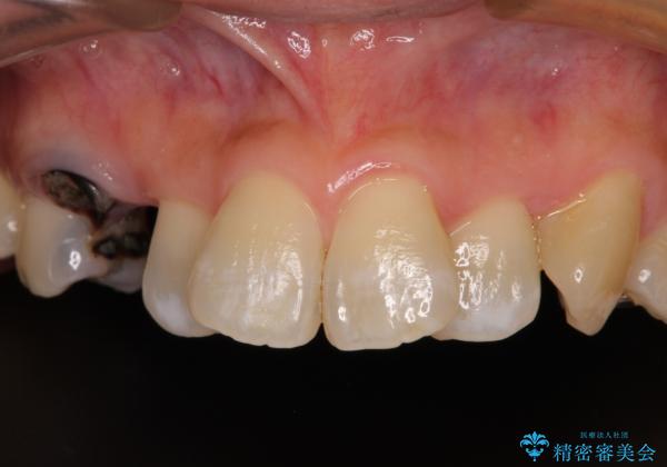
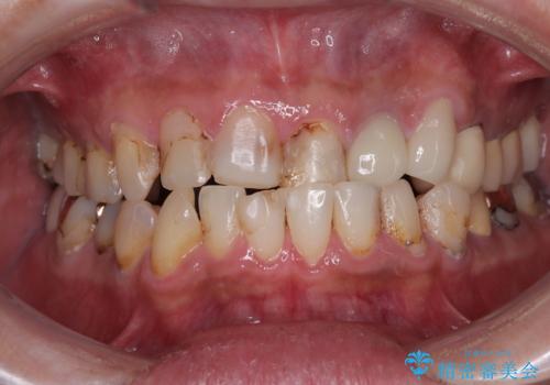
- 前歯などに、むし歯でボロボロになった歯があるとのことで来院された患者様です。
むし歯により歯冠が崩壊してから長いこと経過しているとのことで、歯を失ったことによる他の歯への影響はあまりないと判断されたため、審美領域である上顎前歯部のみにインプラント補綴治療を行うこととしました。
2本の歯が前後に重なった状態でむし歯となっていたので、抜歯後に歯肉や骨の状態が落ち着くのを待ち、インプラントを埋入することとしました。
- 費用(概算)
- 治療費の目安: 45万円(税込)費用は治療当時の料金となります
治療について
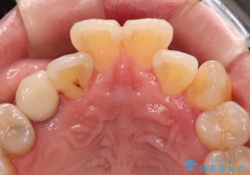
崩壊した歯は全て抜去し、他人から見える位置の歯はセラミッククラウンが装着され、整った口腔環境となりました。
インプラント治療の注意事項(リスク・副作用など)
- 外科手術のため、術後に痛みや腫れ、違和感を伴います
- メンテナンスを怠ったり喫煙により、お口の中に大きな悪影響を及ぼすインプラント周囲炎等にかかる可能性があります
- 糖尿病、肝硬変、心臓病等の場合、インプラント治療ができない可能性があります
- 高血圧、貧血・不整脈等の場合、インプラント治療後に治癒不全を招く可能性があります
- 自費診療(保険適用外治療)となります
セラミック治療の注意事項(リスク・副作用など)
- 天然歯を削ります
- 硬い素材は天然歯を傷つけてしまう場合があります
- かみ合わせや歯ぎしりが強すぎる方はセラミックが割れてしまう可能性があります
- 自費診療(保険適用外治療)となります
当サイトの内容、テキスト、画像等の無断転載、複製、複写、盗用を固く禁じます。













