症例詳細
Case detail
【モニター】前歯の突出感を抜歯矯正で改善
治療症例の内容
- 担当医
- 藤巻太一朗(ドクタープロフィール)
- 患者様
- 30代女性
- 矯正装置
- クリアブラケット
- 治療期間
- 1年7ヶ月
- 治療回数
- 10-30回
- 治療計画
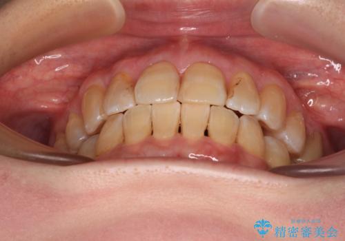
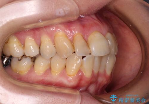
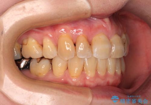
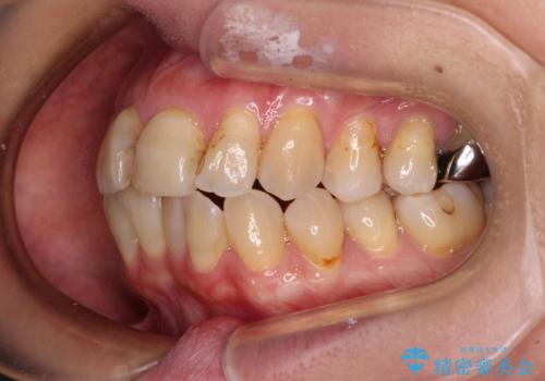
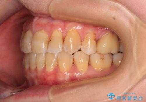
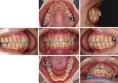
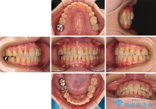
- 口元の突出感を気にして来院された患者様です。
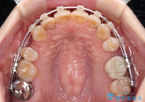
上下前歯が著しく前突している状態であったので、上下左右の小臼歯4本を抜歯し、ワイヤー装置にて矯正治療を行うこととしました。
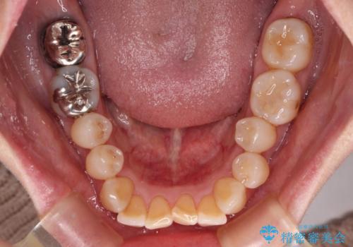
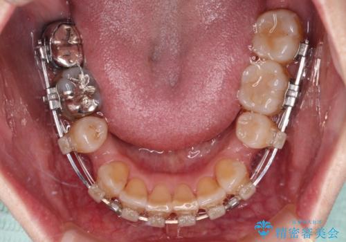
上顎左側は第二小臼歯に大きなむし歯があったため、通常は第一小臼歯を抜歯するところ、イレギュラーに第二小臼歯を抜歯することとしました。
抜歯する第二小臼歯の後方の歯は神経近くにまで及ぶむし歯があったため、事前に処置をしておき、矯正治療後にオールセラミッククラウンにて補綴治療を行うこととしました。
- 費用(概算)
- 治療費の目安: 100万円(税込)費用は治療当時の料金となります
※顔写真掲載にあたり、患者様の了解を得ております
治療について
第二小臼歯抜歯はイレギュラーな治療となるため、アンカースクリューを補助的に使用して、スムーズに治療を行えるように工夫をしました。
ワイヤー矯正の注意事項(リスク・副作用など)
- 治療中は違和感や痛みが起こることがあります
- 症状により、抜歯が必要な場合があります
- 治療中は歯磨きがしにくくなるため、虫歯や歯周病になりやすくなります
- 矯正治療後の保定が不十分だと後戻り(元の位置に戻ろうとする動き)をします
- 自費診療(保険適用外)となります
セラミック治療の注意事項(リスク・副作用など)
- 天然歯を削ります
- 硬い素材は天然歯を傷つけてしまう場合があります
- かみ合わせや歯ぎしりが強すぎる方はセラミックが割れてしまう可能性があります
- 自費診療(保険適用外治療)となります
当サイトの内容、テキスト、画像等の無断転載、複製、複写、盗用を固く禁じます。


























