症例詳細
Case detail
【非抜歯】すきっ歯と噛み合わせの治療
- 患者様
- 10代 女性
- 矯正装置
- マウスピース(インビザライン)
- 治療期間
- 1年6ヶ月
- 治療回数
- 10-30回
- 治療計画
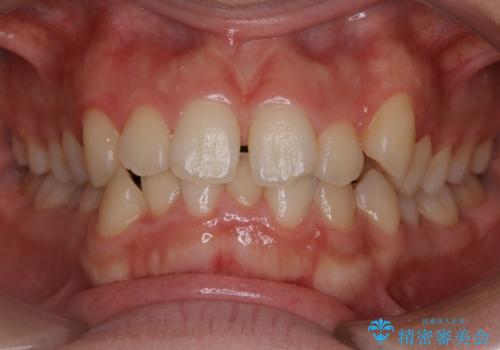
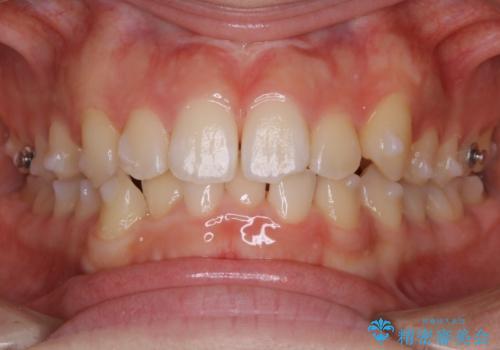
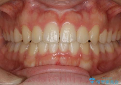
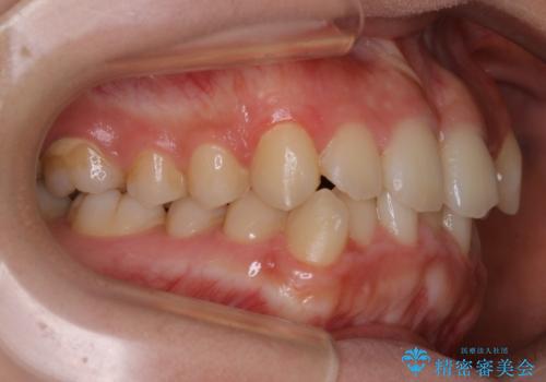
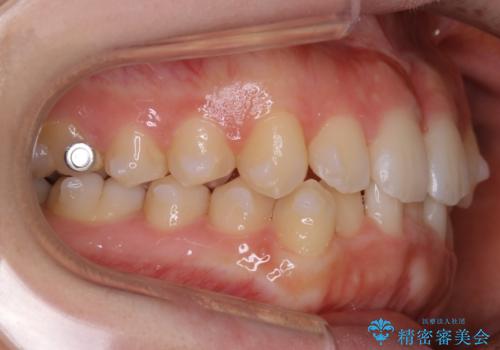
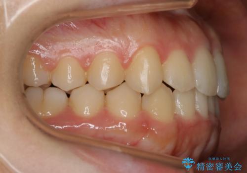
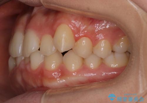
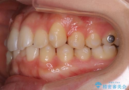
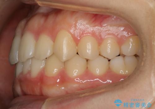
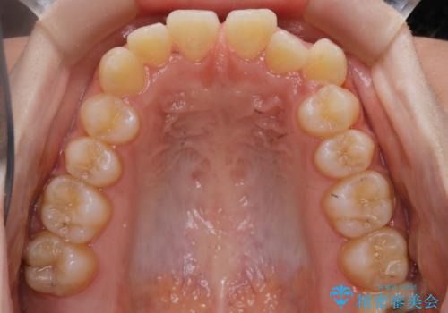
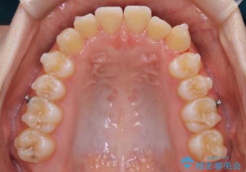
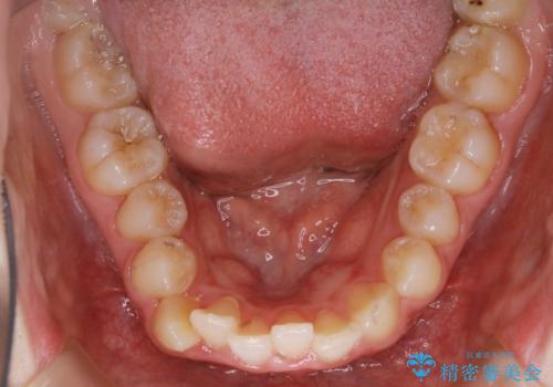
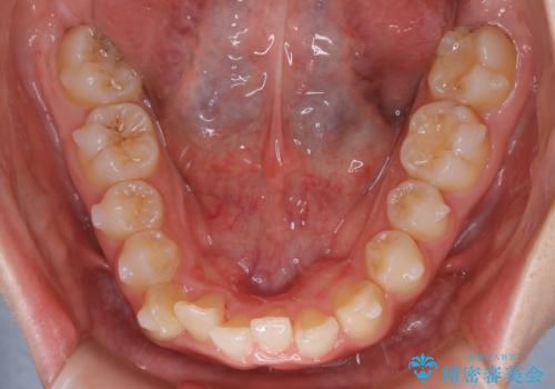
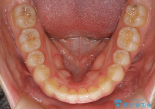
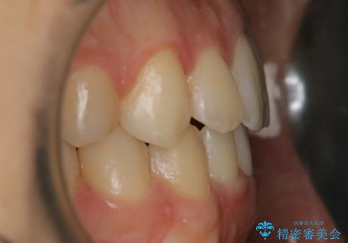
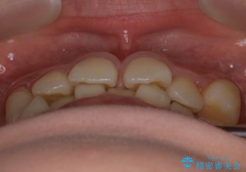
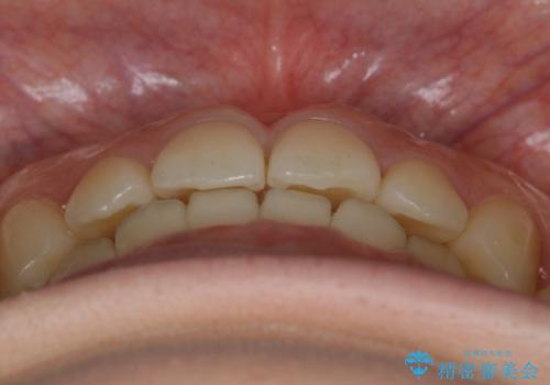
- 上の前歯のすきっ歯と下の前歯のガタつきを主訴にご来院されました。
噛み合わせの改善も同時に進めつつ、主訴の部分も効率的に治していくためマウスピース装置でゴムかけを行いながら治療を進めていきました。
- 費用(概算)
- 税込 ¥880,000- (インビザライン コンプリヘンシブパッケージ)費用は治療当時の料金となります
正中離開(すきっ歯)
真ん中の歯が左右に開いてしまい隙間ができてしまう状態を「正中離開」といい、俗にすきっ歯と呼ばれています。
隙間を埋めていく方向に歯を移動させることで改善していくケースが多く、比較的治りやすい不正咬合のひとつとされています。
しかしながら、歯が捻じれていたり、噛み合う歯との位置関係によっては治療が難しくなる場合があります。
マウスピース矯正の注意事項(リスク・副作用など)
- 口腔内・歯並びの状態によっては対応できない場合があります
- マウスピース型矯正装置の長時間装着(1日20時間以上)が必須です
- 治療計画通りに進めるためには、患者様の意志が重要になります
- 矯正治療後の保定が不十分だと後戻り(元の位置に戻ろうとする動き)をします
- 薬機法対象外の矯正歯科装置のため医薬品副作用被害救済制度の対象外となる場合があります
- 自費診療(保険適用外)となります
当サイトの内容、テキスト、画像等の無断転載、複製、複写、盗用を固く禁じます。





















