症例詳細
Case detail
空隙歯列を閉じる 舌のトレーニングとワイヤー矯正
治療症例の内容
- 診療科目
- 担当医
- 藤巻太一朗(ドクタープロフィール)
- 患者様
- 20代男性
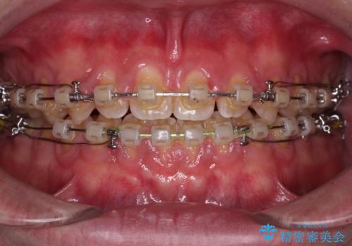
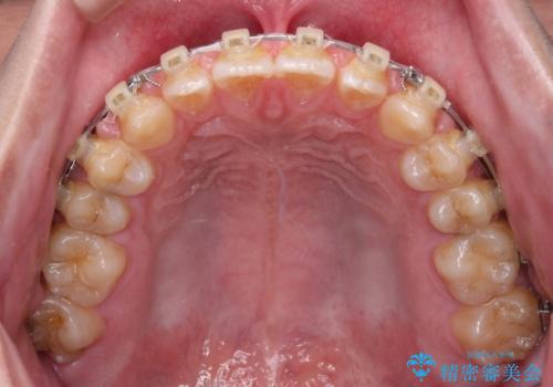
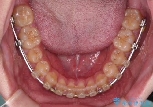
- 矯正装置
- クリアブラケット
- 治療期間
- 3年2ヶ月
- 治療回数
- 10-30回
- 治療計画
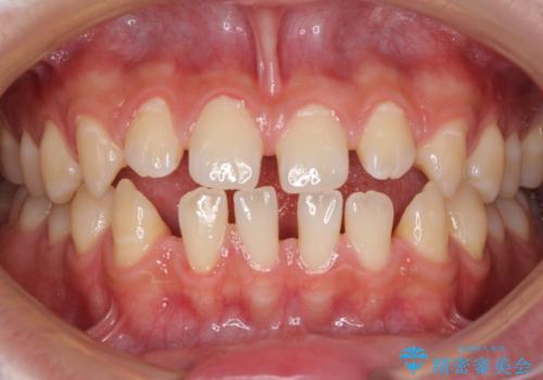
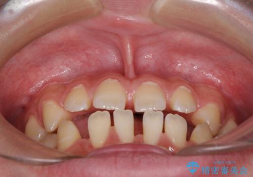
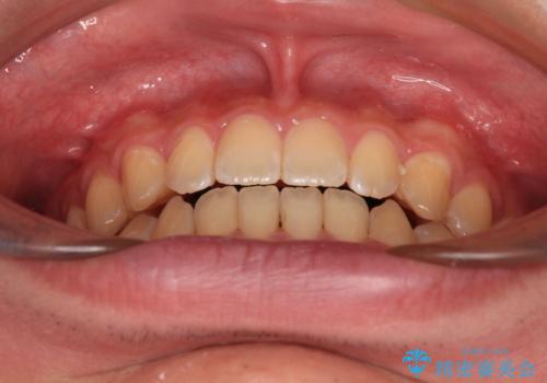
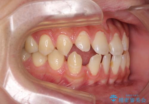
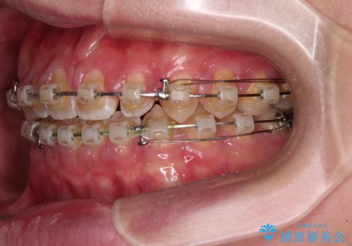
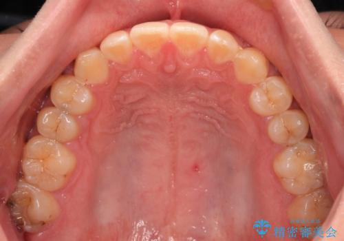
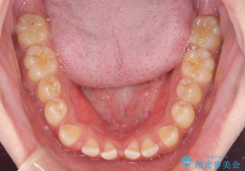
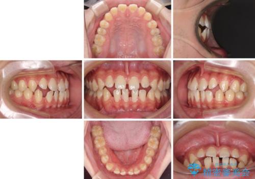
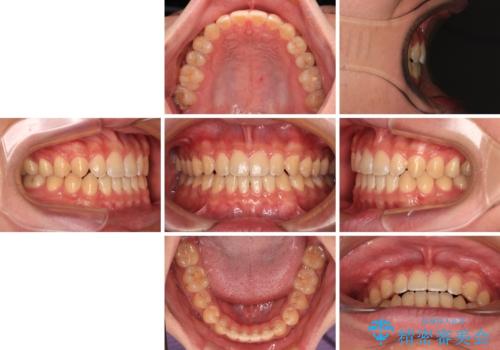
- 上下前歯の隙間を気にして来院された患者様です。
飲み込みや話をするときに舌を突出させる癖が強くあり、それが原因でスペースが空いていました。
舌癖を改善するためのトレーニングを行いながら、ワイヤー装置を用いて前歯の隙間を閉じていくこととしました。
- 費用(概算)
- 治療費の目安: 95万円(税込)費用は治療当時の料金となります
治療について
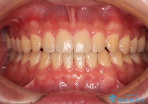
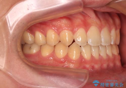
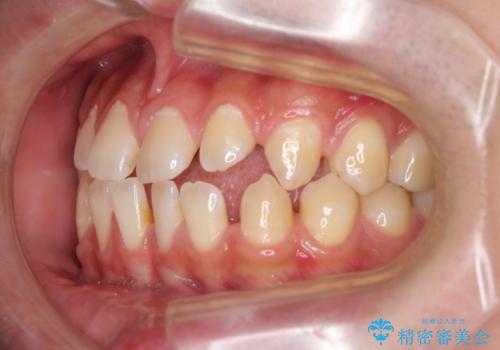
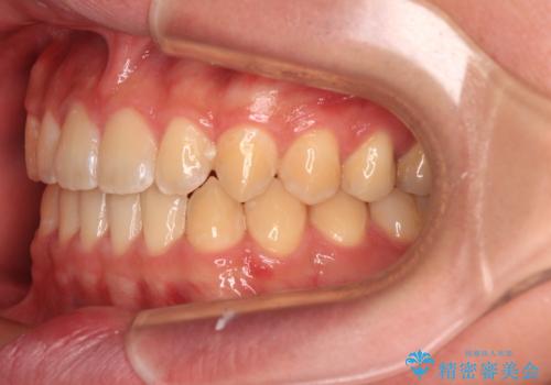
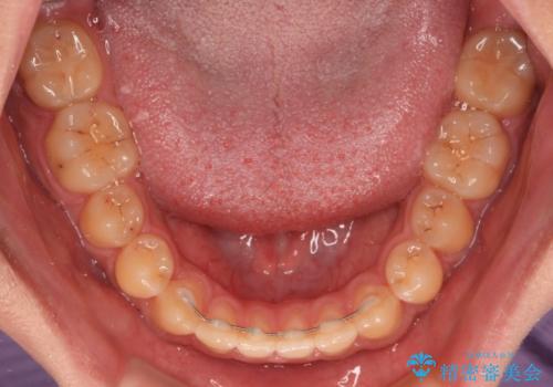
舌の突出癖がなかなか改善されず、治療期間は当初予定よりも大分長くなりました。
装置除去を予定していた日に、油断されたのか1mmほどのスペースを作ってしまったため、除去が3ヶ月延長されたことで、舌のトレーニングの重要性を理解していただきました。
装置除去後もトレーニングを継続されているようで、後戻りによるスペースは今のところ認められておりません。
ワイヤー矯正の注意事項(リスク・副作用など)
- 治療中は違和感や痛みが起こることがあります
- 症状により、抜歯が必要な場合があります
- 治療中は歯磨きがしにくくなるため、虫歯や歯周病になりやすくなります
- 矯正治療後の保定が不十分だと後戻り(元の位置に戻ろうとする動き)をします
- 自費診療(保険適用外)となります
当サイトの内容、テキスト、画像等の無断転載、複製、複写、盗用を固く禁じます。


























