症例詳細
Case detail
正中のズレと飛び出した前歯を改善 メタルブラケットでの抜歯矯正
治療症例の内容
- 患者様
- 40代女性
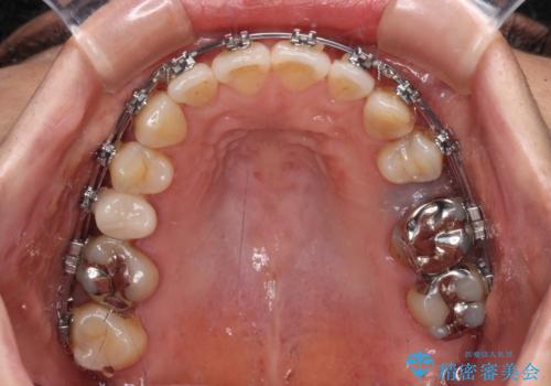
- 矯正装置
- メタルブラケット
- 治療期間
- 2年2ヶ月
- 治療回数
- 10-30回
- 治療計画
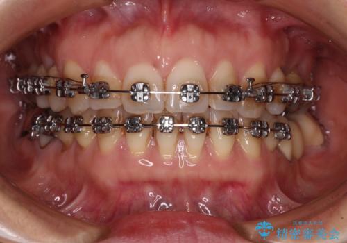
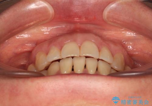
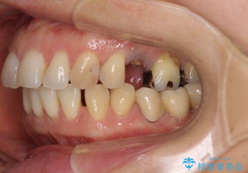
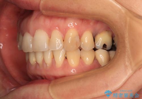
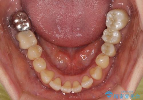
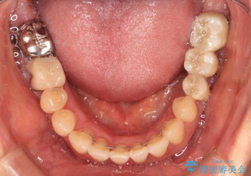
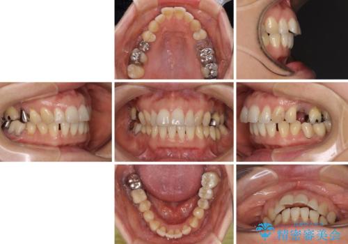
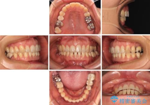
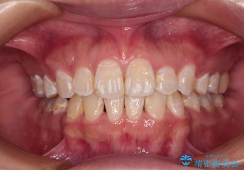
- 飛び出した上顎前歯と正中のズレを気にして来院された患者様です。
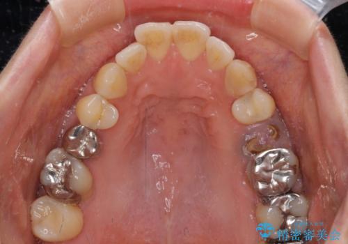
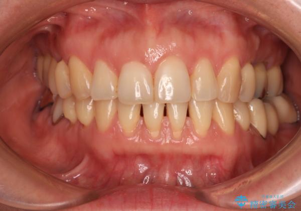
上顎正中が右側にずれていたので、むし歯が酷く抜歯が必要な左側臼歯を抜歯して正中を改善することとしました。
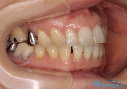
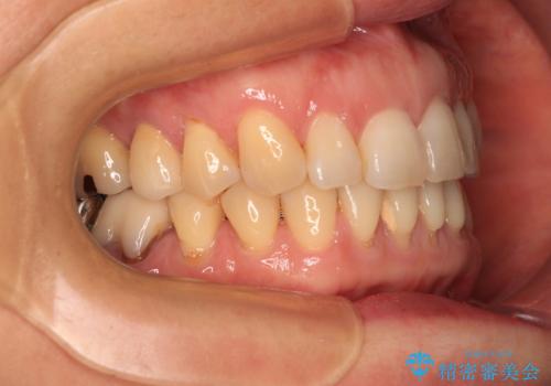
左下には新しいセラミックのブリッジが装着されていたため、ブリッジを壊さずに改善できるところまで咬み合わせを改善していくこととしました。
- 費用(概算)
- 治療費の目安: 100万円(税込)費用は治療当時の料金となります
治療について
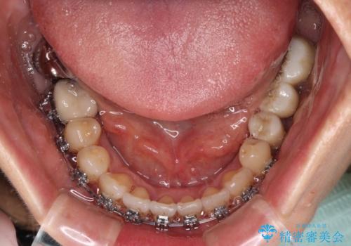
右上小臼歯は銀歯が装着されており、ワイヤー矯正の装置が装着できないため、事前に仮歯に変えてから矯正治療を行い、その後オールセラミッククラウンにて補綴治療を行いました。
ワイヤー矯正の注意事項(リスク・副作用など)
- 治療中は違和感や痛みが起こることがあります
- 症状により、抜歯が必要な場合があります
- 治療中は歯磨きがしにくくなるため、虫歯や歯周病になりやすくなります
- 矯正治療後の保定が不十分だと後戻り(元の位置に戻ろうとする動き)をします
- 自費診療(保険適用外)となります
セラミック治療の注意事項(リスク・副作用など)
- 天然歯を削ります
- 硬い素材は天然歯を傷つけてしまう場合があります
- かみ合わせや歯ぎしりが強すぎる方はセラミックが割れてしまう可能性があります
- 自費診療(保険適用外治療)となります
当サイトの内容、テキスト、画像等の無断転載、複製、複写、盗用を固く禁じます。


























