症例詳細
Case detail
輝かしい口元を オールセラミッククラウンによる全顎虫歯治療
- 患者様
- 20代男性
- 治療期間
- 1年
- 治療回数
- 5-10回
- 治療計画
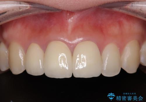
- むし歯が多いことと、前歯を真っ白にしたいとのことで来院された患者様です。
下の前歯以外はむし歯が多く、インプラント治療や根管治療を併用しながら、オールセラミッククラウンにて補綴することとしました。
下の前歯については健全歯であることから、クラウンを装着することを躊躇しましたが、患者様の真っ白にしたいという強い希望により、これらもオールセラミッククラウンにて補綴することとしました。
- 費用(概算)
- 治療費の目安: 400万円費用は治療当時の料金となります
治療を終えて
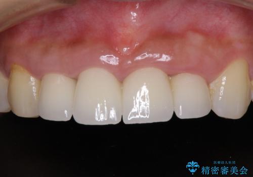
喫煙歴があるため、歯肉が黒ずんでいることも気にされていたので、ピーリングにより黒ずみを除去しました。
元々、上下の前歯が先端同士で接触する「切端咬合」であったため、仮歯の段階で切端咬合を正常被蓋に近づけるようにし、最終的には切端咬合を改善させることができました。
むし歯による不快な痛みから解放されるとともに、自然で明るい口元となり、患者様には大変満足していただきました。
リスクについて
外科処置は術後に痛みを伴います。
セラミックは破折などにより修復や再製作が必要となることがあります。
根管治療後は一定の確率で症状が再発する可能性があります。
根管治療の注意事項(リスク・副作用など)
- 根管治療により類似の全ての症例の問題が解決するわけではなく、症例はあくまでも一例です
- 根管治療により痛みや腫れがひかない事や、術後に痛みや腫れが生じる事、治療によるファイル破折やパーフォレーションなどの偶発症、術後の歯根破折を生じる可能性もあります
- 自費診療(保険適用外)となります
インプラント治療の注意事項(リスク・副作用など)
- 外科手術のため、術後に痛みや腫れ、違和感を伴います
- メンテナンスを怠ったり喫煙により、お口の中に大きな悪影響を及ぼすインプラント周囲炎等にかかる可能性があります
- 糖尿病、肝硬変、心臓病等の場合、インプラント治療ができない可能性があります
- 高血圧、貧血・不整脈等の場合、インプラント治療後に治癒不全を招く可能性があります
- 自費診療(保険適用外治療)となります
当サイトの内容、テキスト、画像等の無断転載、複製、複写、盗用を固く禁じます。














