症例詳細
Case detail
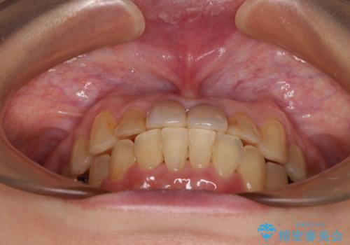
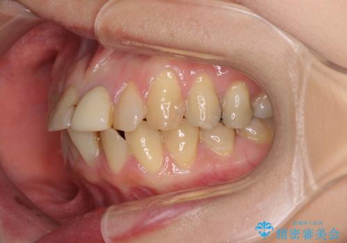
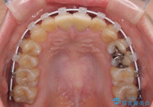
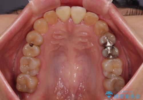
前歯のデコボコをワイヤー矯正できれいに整える
治療症例の内容
- 担当医
- 藤巻太一朗(ドクタープロフィール)
- 患者様
- 30代女性
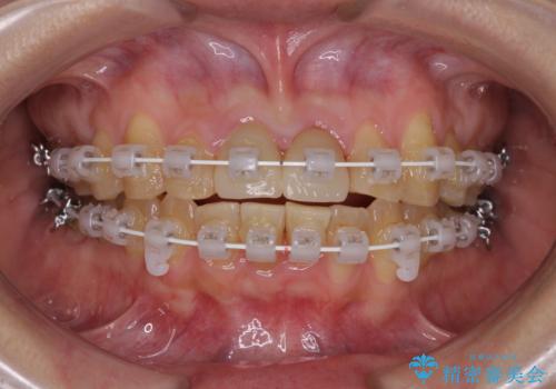
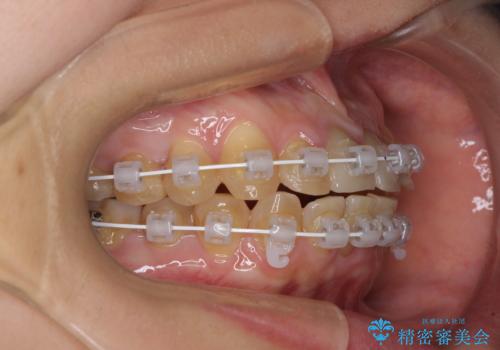
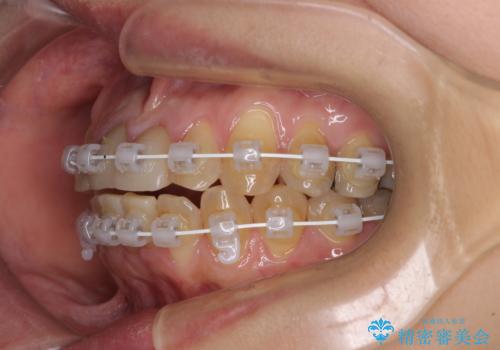
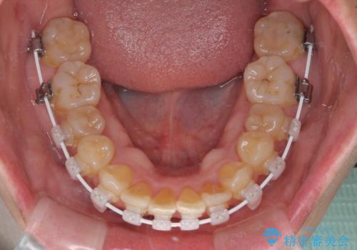
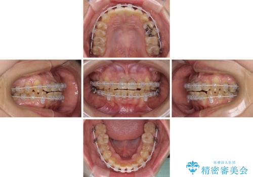
- 矯正装置
- 審美装置
- 治療期間
- 3年2ヶ月
- 治療回数
- 10-30回
- 治療計画
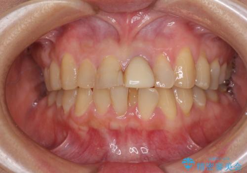
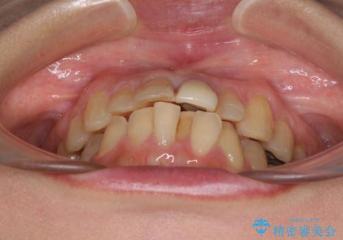
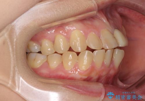
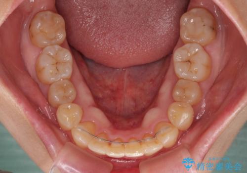
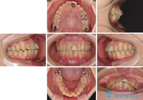
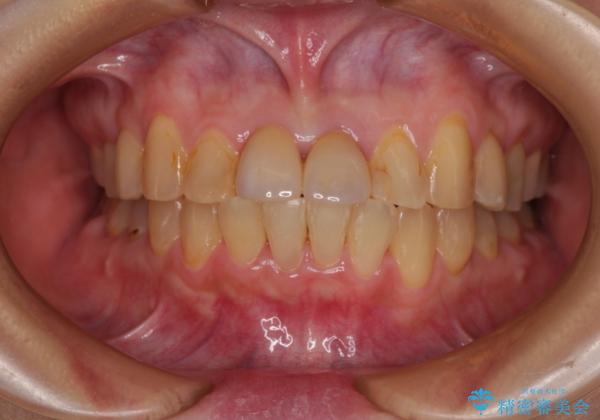
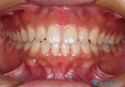
- 前歯のデコボコと変色した前歯を気にして来院された患者様です。
抜歯矯正により口元を引っ込めることも検討しましたが、特に口元の突出感は気になっていないとのことで、非抜歯にてワイヤー装置で矯正治療を行うこととしました。
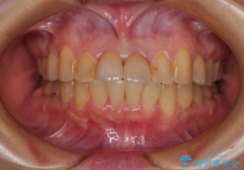
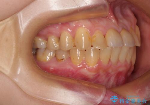
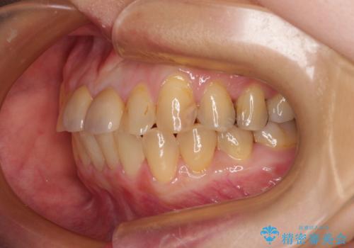
気になっていた前歯の変色も、矯正治療後にオールセラミッククラウンにて補綴治療を行うこととしました。
- 費用(概算)
- 治療費の目安: 120万円(税込)費用は治療当時の料金となります
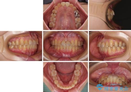
治療について
舌の突出癖により治療期間中に開咬となり、治療が長引きましたが、口元も治療前よりも引っ込めることができ、すっきりとした仕上がりとなりました。
ワイヤー矯正の注意事項(リスク・副作用など)
- 治療中は違和感や痛みが起こることがあります
- 症状により、抜歯が必要な場合があります
- 治療中は歯磨きがしにくくなるため、虫歯や歯周病になりやすくなります
- 矯正治療後の保定が不十分だと後戻り(元の位置に戻ろうとする動き)をします
- 自費診療(保険適用外)となります
当サイトの内容、テキスト、画像等の無断転載、複製、複写、盗用を固く禁じます。


























