症例詳細
Case detail
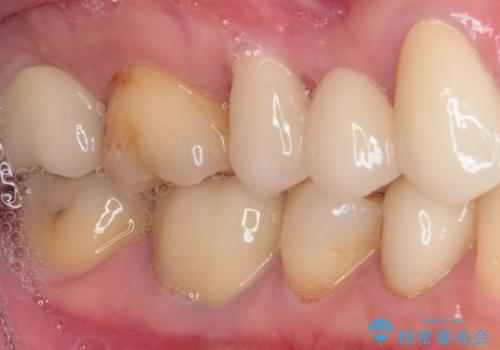
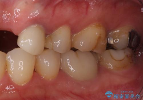
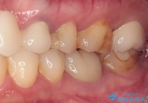
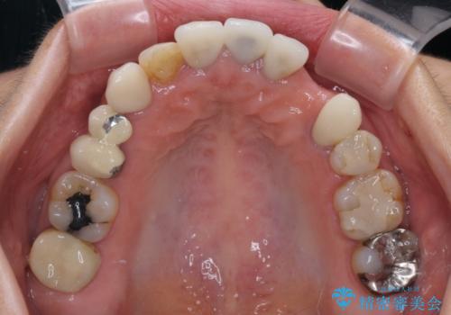
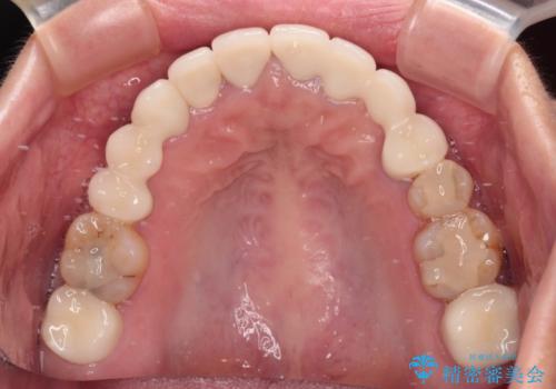
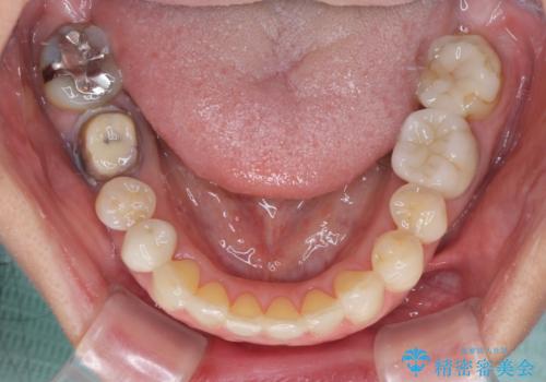
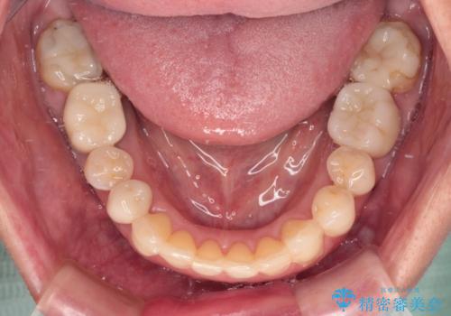
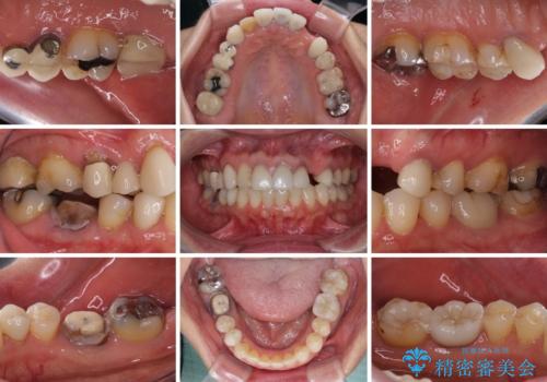
欠損やむし歯の歯をきれいなセラミックに 全顎虫歯治療
治療症例の内容
- 患者様
- 50代女性
- 治療期間
- 5ヶ月
- 治療回数
- 2-5回
- 治療計画
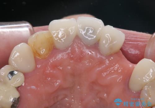
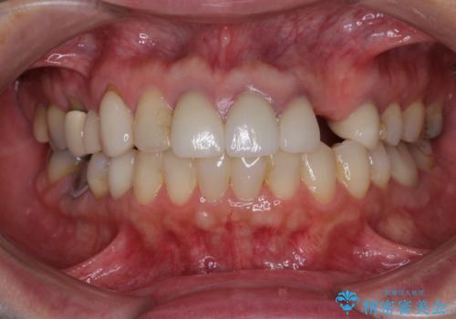
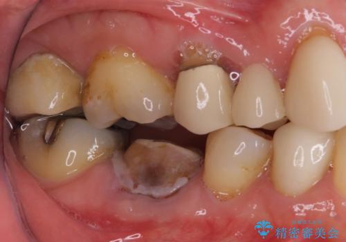
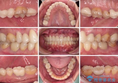
- 他院で矯正治療を終えたものの、むし歯や欠損部の治療が進められないとのことで来院された患者様です。
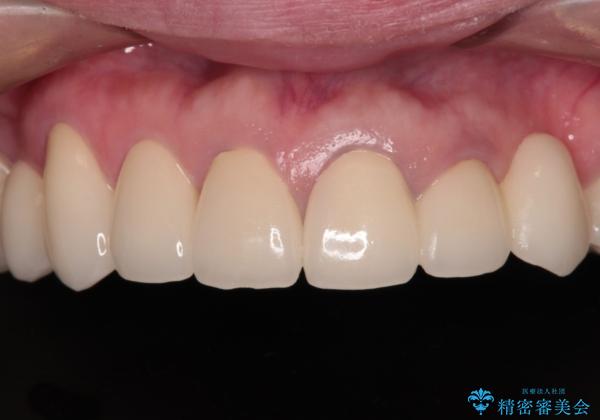
欠損部や、銀歯やむし歯の大きな歯はセラミッククラウンやブリッジに、小さいむし歯はセラミックインレーにて治療を行うこととしました。
- 費用(概算)
- 治療費の目安: 160万円(税込)費用は治療当時の料金となります
治療について
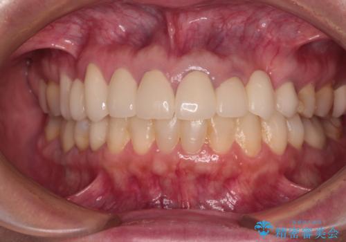
歯肉の状態がとても、短期間でスムーズに治療を終えることができました。
セラミック治療の注意事項(リスク・副作用など)
- 天然歯を削ります
- 硬い素材は天然歯を傷つけてしまう場合があります
- かみ合わせや歯ぎしりが強すぎる方はセラミックが割れてしまう可能性があります
- 自費診療(保険適用外治療)となります
当サイトの内容、テキスト、画像等の無断転載、複製、複写、盗用を固く禁じます。




















