症例詳細
Case detail
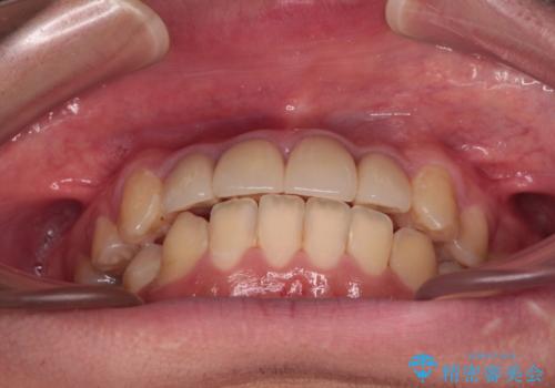
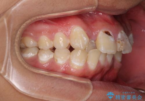
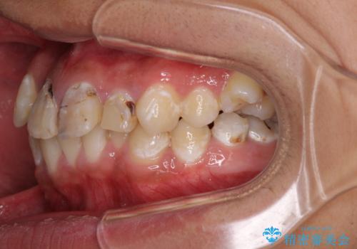
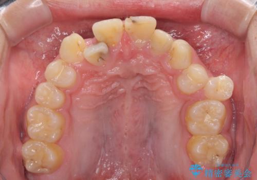
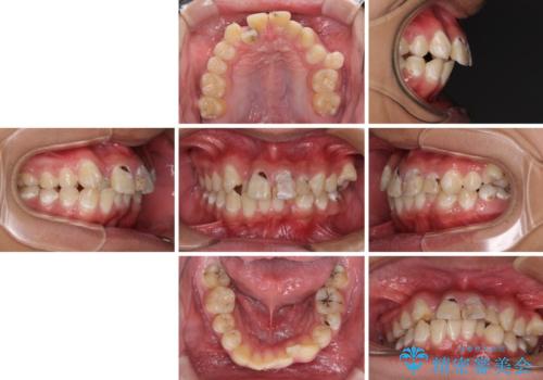
前歯のデコボコとむし歯だらけの歯列 矯正治療と虫歯治療
治療症例の内容
- 担当医
- 藤巻太一朗(ドクタープロフィール)
- 患者様
- 10代男性(高校生)
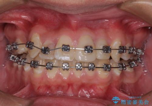
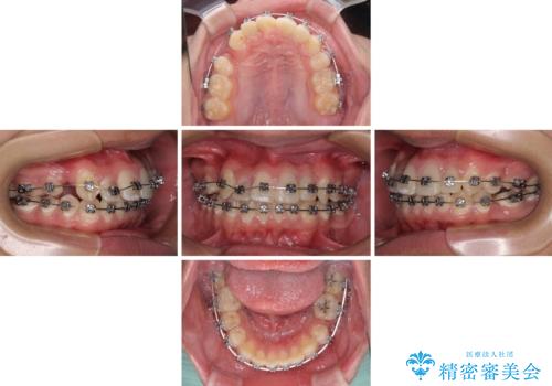
- 矯正装置
- メタルブラケット
- 治療期間
- 2年6ヶ月
- 治療回数
- 10-30回
- 治療計画
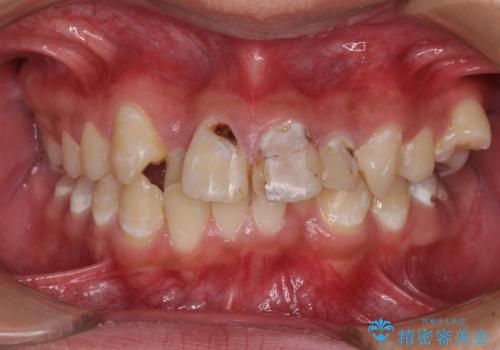
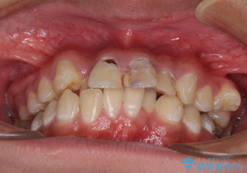
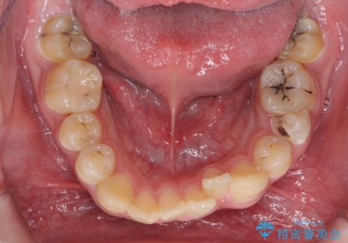
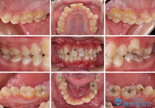
- むし歯が多く、歯並びも悪いとのことで、以前通院されていたご家族の紹介で来院された患者様です。
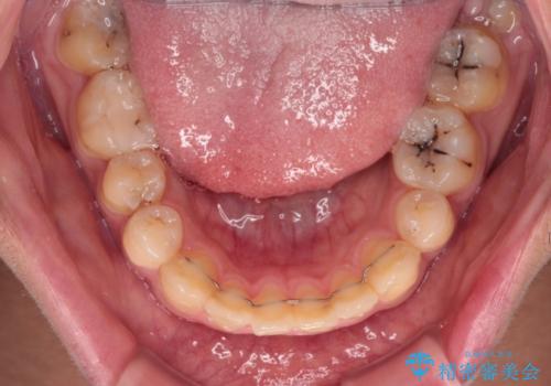
口腔内に無頓着であったため、まずはしっかりと歯磨きトレーニングを行い、必要な虫歯治療を行いました。
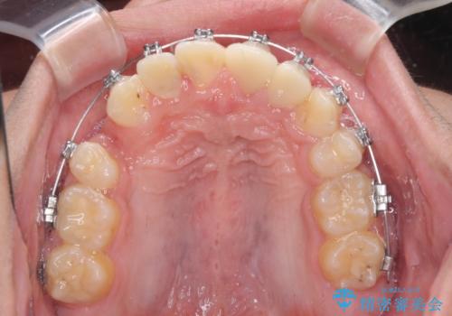
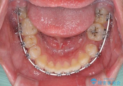
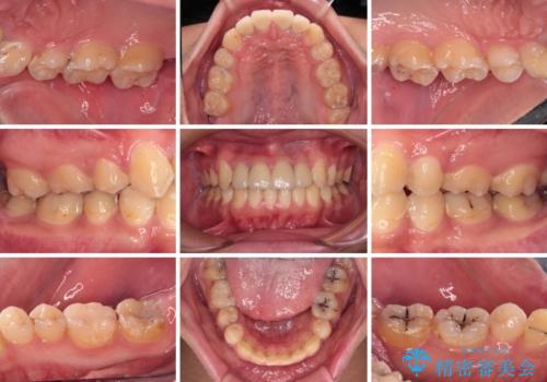
矯正治療は、むし歯が酷く抜歯が望ましい歯を1本抜歯して、ワイヤー装置にて整えることとしました。
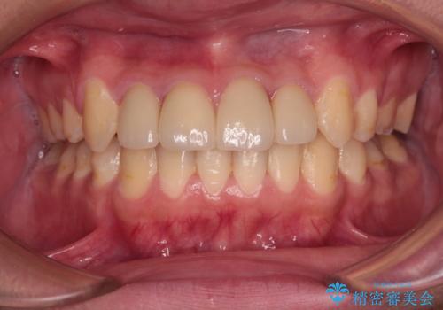
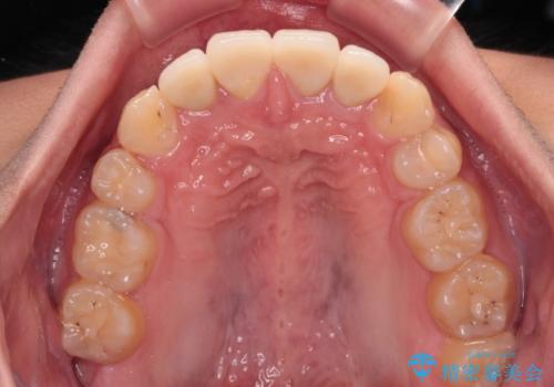
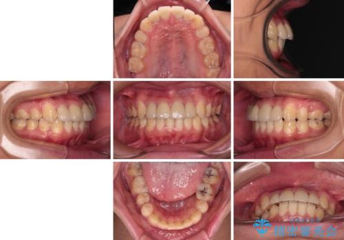
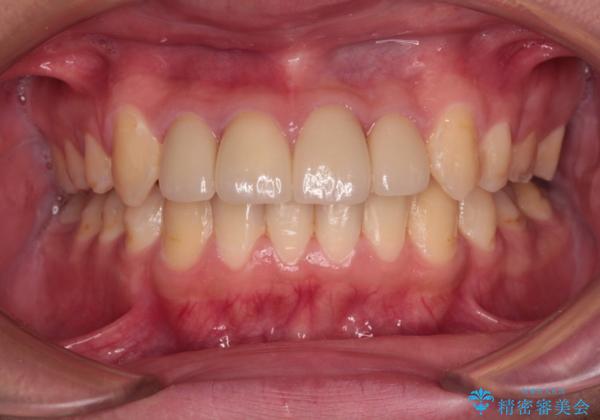
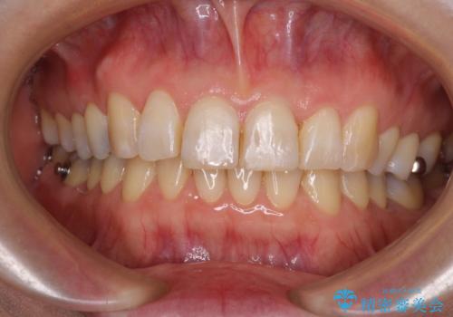
矯正治療後は上顎前歯4本をオールセラミッククラウンにて補綴治療を行うこととしました。
- 費用(概算)
- 治療費の目安: 150万円(税込)費用は治療当時の料金となります
治療について
むし歯が多かったため、ワイヤー矯正中に処置したむし歯が悪化することが懸念されましたが、歯磨きをしっかりと行ってくれたため、とても良好な状態を維持することができました。
ワイヤー矯正の注意事項(リスク・副作用など)
- 治療中は違和感や痛みが起こることがあります
- 症状により、抜歯が必要な場合があります
- 治療中は歯磨きがしにくくなるため、虫歯や歯周病になりやすくなります
- 矯正治療後の保定が不十分だと後戻り(元の位置に戻ろうとする動き)をします
- 自費診療(保険適用外)となります
セラミック治療の注意事項(リスク・副作用など)
- 天然歯を削ります
- 硬い素材は天然歯を傷つけてしまう場合があります
- かみ合わせや歯ぎしりが強すぎる方はセラミックが割れてしまう可能性があります
- 自費診療(保険適用外治療)となります
当サイトの内容、テキスト、画像等の無断転載、複製、複写、盗用を固く禁じます。


























