症例詳細
Case detail
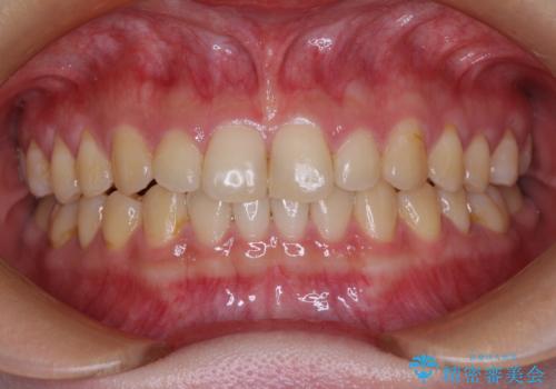
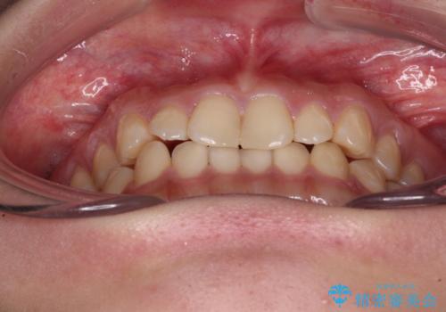
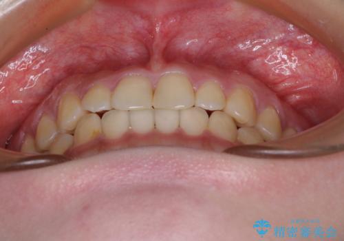
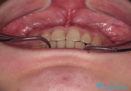
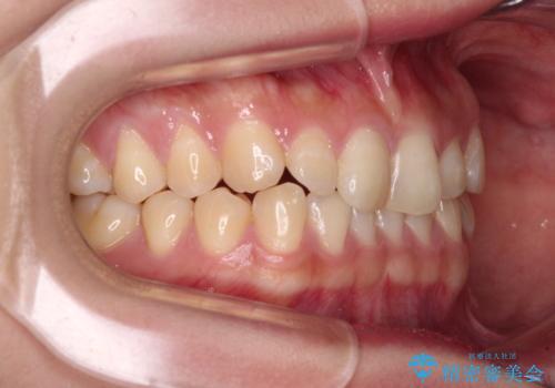
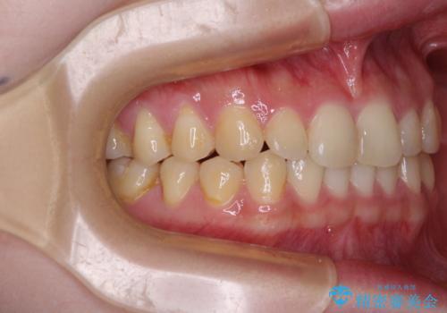
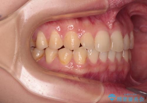
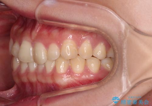
治療途中の奥歯と矯正治療の後戻り インビザライン・ライトによる矯正治療
治療症例の内容
- 担当医
- 藤巻太一朗(ドクタープロフィール)
- 患者様
- 20代女性
- 矯正装置
- インビザライン・ライト
- 治療期間
- 1年4ヶ月
- 治療回数
- 10-30回
- 治療計画
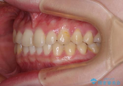
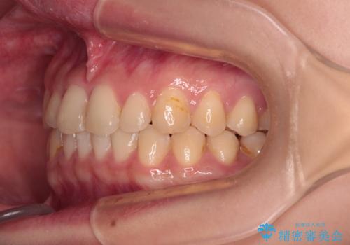
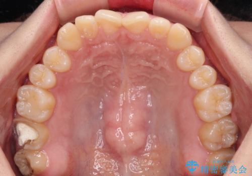
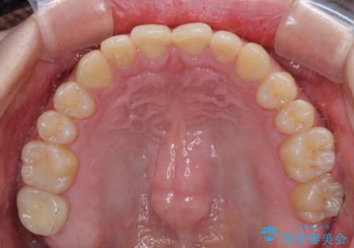
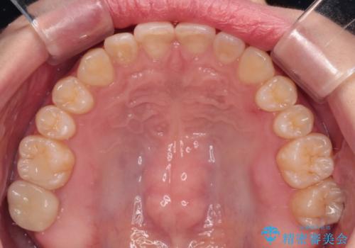
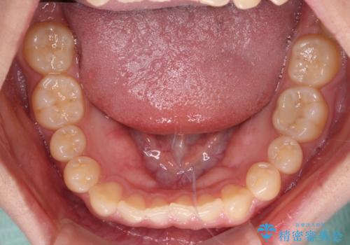
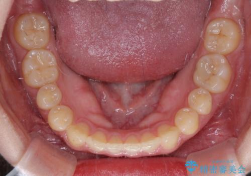
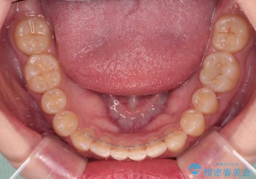
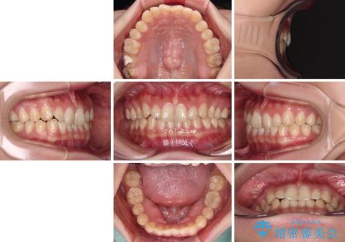
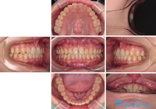
- 根管治療を行ったままの奥歯と、矯正治療の後戻りを気にして来院された患者様です。
根管治療された歯に症状はなく、オールセラミッククラウンにて補綴治療を行うこととしました。
矯正治療の後戻りは軽微であったため、インビザラインの簡易パッケージであるインビザライン・ライトを用いて歯列を整えることとしました。
- 費用(概算)
- 治療費の目安: 60万円(税込)費用は治療当時の料金となります
治療について
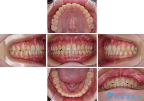
クラウンはよりよい咬み合わせで装着したいため、インビザラインを1セット使用して概ね歯列を整えた時点で補綴治療を行い、その後仕上げの矯正治療を行いました。
マウスピース矯正の注意事項(リスク・副作用など)
- 口腔内・歯並びの状態によっては対応できない場合があります
- マウスピース型矯正装置の長時間装着(1日20時間以上)が必須です
- 治療計画通りに進めるためには、患者様の意志が重要になります
- 矯正治療後の保定が不十分だと後戻り(元の位置に戻ろうとする動き)をします
- 薬機法対象外の矯正歯科装置のため医薬品副作用被害救済制度の対象外となる場合があります
- 自費診療(保険適用外)となります
セラミック治療の注意事項(リスク・副作用など)
- 天然歯を削ります
- 硬い素材は天然歯を傷つけてしまう場合があります
- かみ合わせや歯ぎしりが強すぎる方はセラミックが割れてしまう可能性があります
- 自費診療(保険適用外治療)となります
当サイトの内容、テキスト、画像等の無断転載、複製、複写、盗用を固く禁じます。



























