症例詳細
Case detail
虫歯治療ついでに歯並びの後戻りを改善 インビザラインによる矯正治療
治療症例の内容
- 患者様
- 30代女性
- 矯正装置
- インビザライン
- 治療期間
- 4年6ヶ月
- 治療回数
- 10-30回
- 治療計画
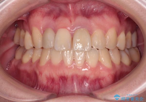
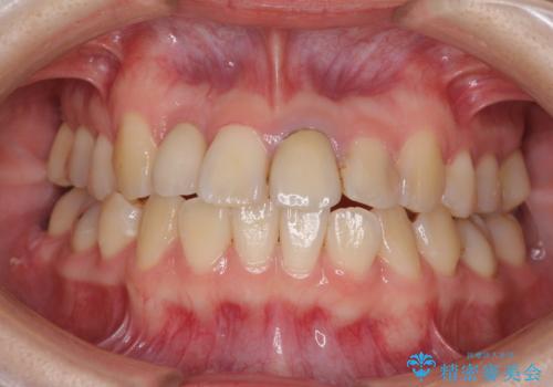
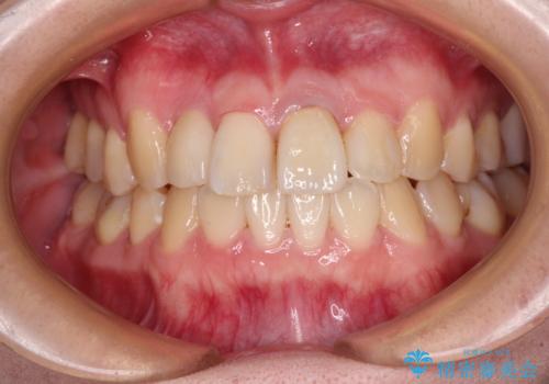
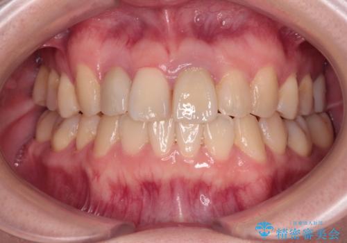
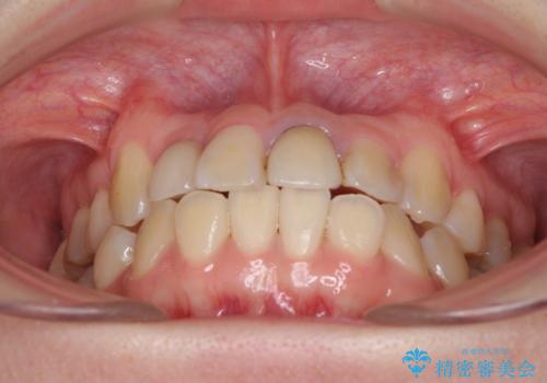
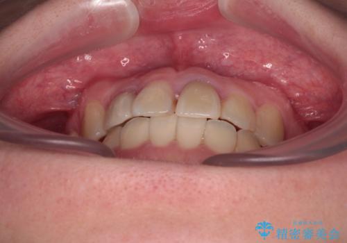
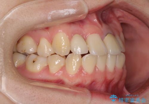
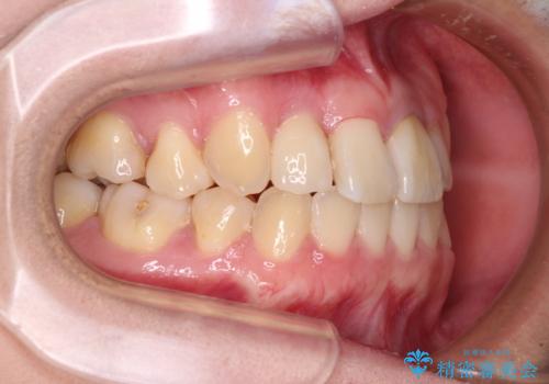
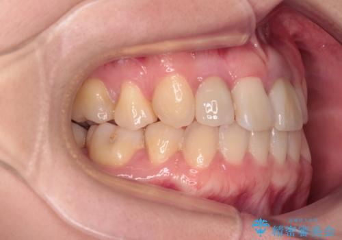
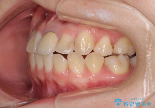
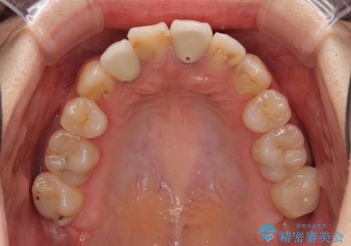
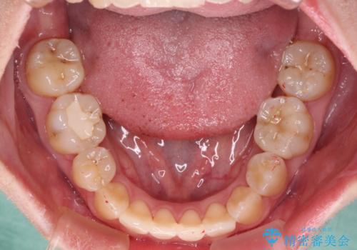
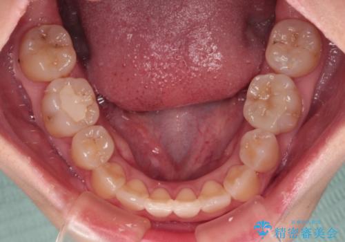
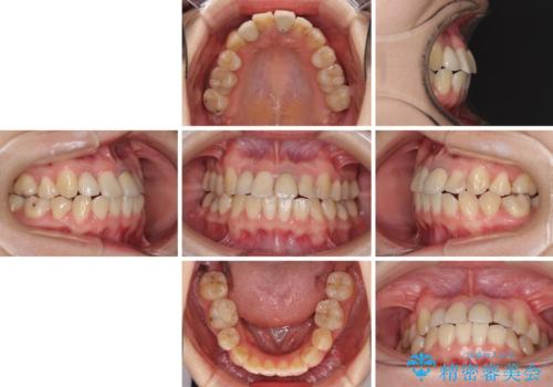
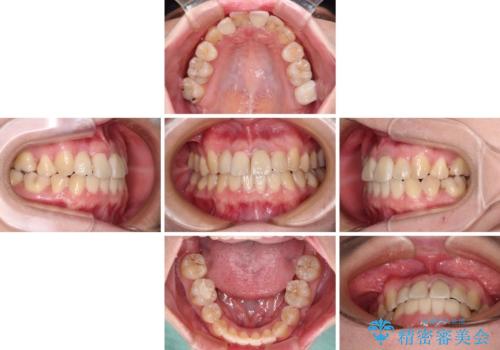
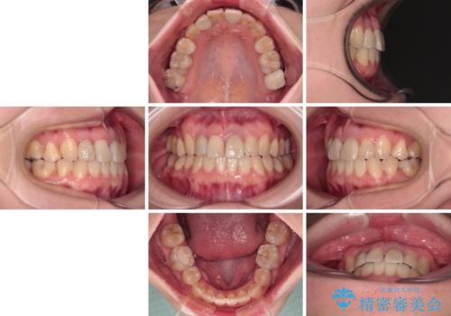
- 奥歯が痛いとのことで来院された患者様です。
 上顎親知らず周辺の炎症と、神経組織の失活した歯の炎症による痛みが認められたため、親知らずの抜歯と根管治療を行いました。
 根管治療を行った歯はクラウンによる補綴治療が必要となりますが、高校生の頃に行った矯正治療の後戻りも気になるとのことで、補綴治療を行う前に矯正治療を行うこととしました。
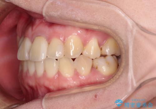
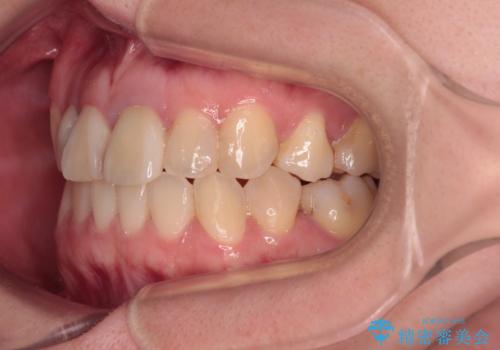
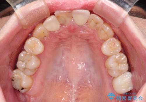
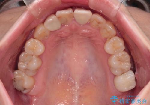
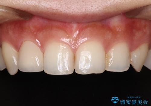
 後戻りは軽度であり、インビザラインにて歯列を整え、その後にオールセラミッククラウンにて補綴治療を行うこととしました。
- 費用(概算)
- 治療費の目安: 140万円(税込)費用は治療当時の料金となります
治療について
ご家庭やお仕事の都合で通院が途絶えた時期があり、治療は長期間となりましたが、無事に終えることができました。
マウスピース矯正の注意事項(リスク・副作用など)
- 口腔内・歯並びの状態によっては対応できない場合があります
- マウスピース型矯正装置の長時間装着(1日20時間以上)が必須です
- 治療計画通りに進めるためには、患者様の意志が重要になります
- 矯正治療後の保定が不十分だと後戻り(元の位置に戻ろうとする動き)をします
- 薬機法対象外の矯正歯科装置のため医薬品副作用被害救済制度の対象外となる場合があります
- 自費診療(保険適用外)となります
セラミック治療の注意事項(リスク・副作用など)
- 天然歯を削ります
- 硬い素材は天然歯を傷つけてしまう場合があります
- かみ合わせや歯ぎしりが強すぎる方はセラミックが割れてしまう可能性があります
- 自費診療(保険適用外治療)となります
当サイトの内容、テキスト、画像等の無断転載、複製、複写、盗用を固く禁じます。








 
                       
                                                          


























 
                   
                   
                  