症例詳細
Case detail
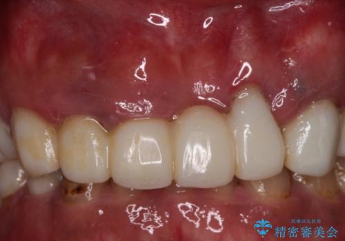
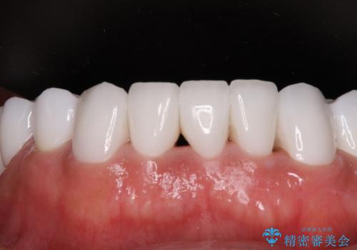
欠損と虫歯だらけの口の中 真っ白なセラミック治療
治療症例の内容
- 患者様
- 40代男性
- 治療期間
- 11ヶ月
- 治療回数
- 5-10回
- 治療計画
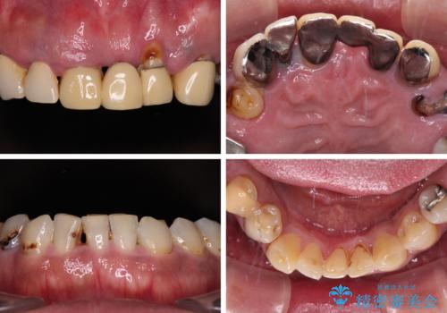
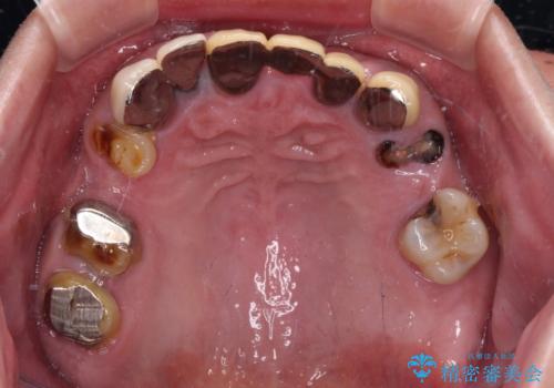
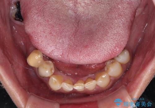
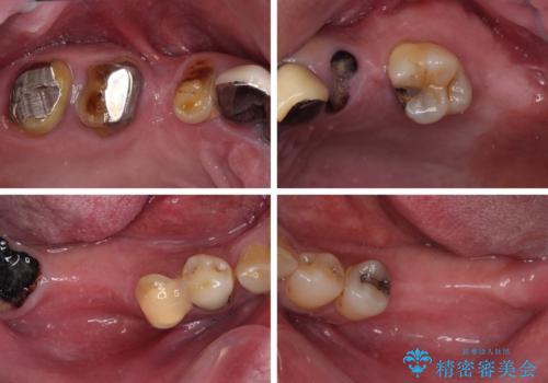
- 奥歯の欠損や、ボロボロになった歯を気にして来院された患者様です。
転勤で東京にいる1年間の間に治療を終えたいとのことで、奥歯のインプラント埋入や前歯部の歯周外科処置など、治癒に時間を要するものから始めていき、治癒期間に根管治療や補綴治療を進めて行くこととしました。
- 費用(概算)
- 治療費の目安: 450万円(税込)費用は治療当時の料金となります
治療について
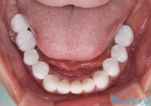
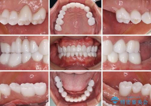
インプラントにより奥歯の咬み合わせが安定し、上顎前歯の歯肉ラインを調整するための骨外科処置により深く咬みこんでいた前歯部も負担のかからない咬み合わせに改善することができました。
治療終了直前に転勤となってしまい、最後2回の来院は新幹線にて来院いただくことになってしまいましたが、短期間で無事に終了することができました。
インプラント治療の注意事項(リスク・副作用など)
- 外科手術のため、術後に痛みや腫れ、違和感を伴います
- メンテナンスを怠ったり喫煙により、お口の中に大きな悪影響を及ぼすインプラント周囲炎等にかかる可能性があります
- 糖尿病、肝硬変、心臓病等の場合、インプラント治療ができない可能性があります
- 高血圧、貧血・不整脈等の場合、インプラント治療後に治癒不全を招く可能性があります
- 自費診療(保険適用外治療)となります
セラミック治療の注意事項(リスク・副作用など)
- 天然歯を削ります
- 硬い素材は天然歯を傷つけてしまう場合があります
- かみ合わせや歯ぎしりが強すぎる方はセラミックが割れてしまう可能性があります
- 自費診療(保険適用外治療)となります
外科処置の注意事項(リスク・副作用など)
- 外科手術のため、術後に出血、痛みや腫れ、違和感を伴います
- 口腔内の状態によっては適応できないことがあります
当サイトの内容、テキスト、画像等の無断転載、複製、複写、盗用を固く禁じます。





















