症例詳細
Case detail
親知らずを生かした矯正
治療症例の内容
- 患者様
- 20代女性
- 矯正装置
- ワイヤー矯正
- 治療期間
- 2年5ヶ月
- 治療回数
- 10-30回
- 治療計画
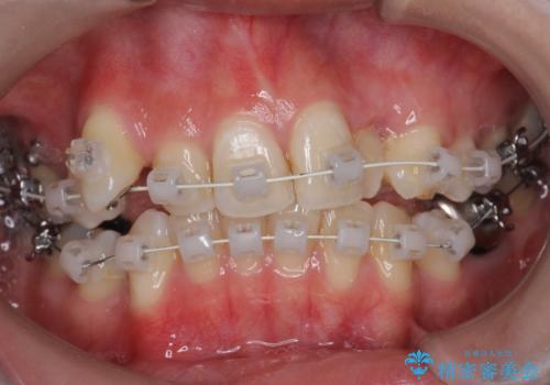
- 前歯のがたつきを主訴に来院されました。
小さいころ下の小臼歯を2本抜いたとのことでした。
上の歯を2本抜歯して矯正しています。
また、右上の7番(一番後ろの歯)の状態が悪く、根尖病変がありました。根の治療をする選択肢もありましたが、歯質も薄く、予算的にも治療が難しかったため、抜歯して親知らずを並べています。
- 費用(概算)
- 矯正治療 約100万円費用は治療当時の料金となります
治療について
左下6番(後ろから2番目の歯)も状態が悪かったため抜歯してブリッジにしています。
矯正治療をしたことで根の向きが治り、神経を取らずにブリッジにすることができました。
ワイヤー矯正の注意事項(リスク・副作用など)
- 治療中は違和感や痛みが起こることがあります
- 症状により、抜歯が必要な場合があります
- 治療中は歯磨きがしにくくなるため、虫歯や歯周病になりやすくなります
- 矯正治療後の保定が不十分だと後戻り(元の位置に戻ろうとする動き)をします
- 自費診療(保険適用外)となります
セラミック治療の注意事項(リスク・副作用など)
- 天然歯を削ります
- 硬い素材は天然歯を傷つけてしまう場合があります
- かみ合わせや歯ぎしりが強すぎる方はセラミックが割れてしまう可能性があります
- 自費診療(保険適用外治療)となります
当サイトの内容、テキスト、画像等の無断転載、複製、複写、盗用を固く禁じます。


















