症例詳細
Case detail
もはや別人 口元の印象がその人の印象をかえる
- 患者様
- 50代男性
- 治療期間
- 1年1ヶ月
- 治療回数
- 30回以上
- 治療計画
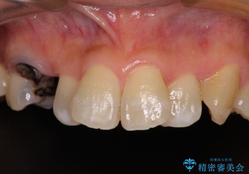
- 奥歯が咬みにくいことを主訴に来院された患者様です。
奥歯以外にも、全体的に大きな問題を抱えていらっしゃったので、全顎的な治療を行うこととしました。
抜かなければならない歯は抜歯し、保存できそうな歯については残すための処置を行った上で、抜歯するかどうかを判断することとしました。
- 費用(概算)
- 治療費の目安: 350万円費用は治療当時の料金となります
治療を終えて
歯周病ではなかったため、インプラントに必要な治療期間で全体の治療を終了させることができました。
1回の診療時間を長く取ることで、2回目の診療後にはすべてを仮歯にすることができ、長年気にされていた前歯の見た目を速やかに改善することができました。
オールセラミッククラウンによってとても自然に仕上がり、また、安定した咬み合わせとなったことで、患者様には大変満足していただきました。
リスクについて
根管治療後は一定の確率で症状が再発する可能性があります。
外科処置は術後に痛みを伴います。
セラミックは破折などにより修復や再製作が必要となることがあります。
セラミック治療の注意事項(リスク・副作用など)
- 天然歯を削ります
- 硬い素材は天然歯を傷つけてしまう場合があります
- かみ合わせや歯ぎしりが強すぎる方はセラミックが割れてしまう可能性があります
- 自費診療(保険適用外治療)となります
インプラント治療の注意事項(リスク・副作用など)
- 外科手術のため、術後に痛みや腫れ、違和感を伴います
- メンテナンスを怠ったり喫煙により、お口の中に大きな悪影響を及ぼすインプラント周囲炎等にかかる可能性があります
- 糖尿病、肝硬変、心臓病等の場合、インプラント治療ができない可能性があります
- 高血圧、貧血・不整脈等の場合、インプラント治療後に治癒不全を招く可能性があります
- 自費診療(保険適用外治療)となります
当サイトの内容、テキスト、画像等の無断転載、複製、複写、盗用を固く禁じます。










