症例詳細
Case detail
【モニター】歯列が狭くデコボコが気になる 急速拡大装置を用いたインビザライン矯正
治療症例の内容
- 担当医
 - 藤巻太一朗(ドクタープロフィール)
 
- 患者様
 - 30代女性
 
- 矯正装置
 - インビザライン
 
- 治療期間
 - 2年4ヶ月
 
- 治療回数
 - 10-30回
 
- 治療計画
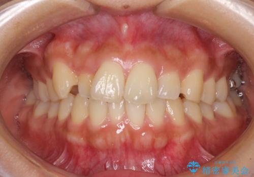
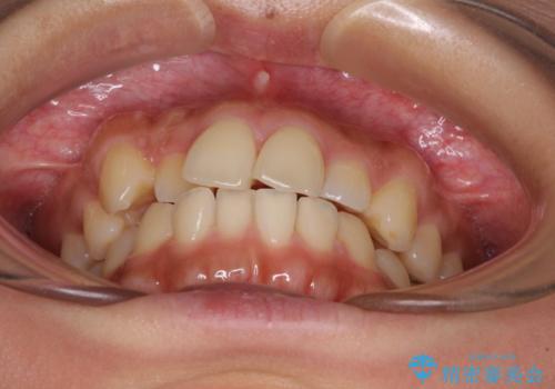
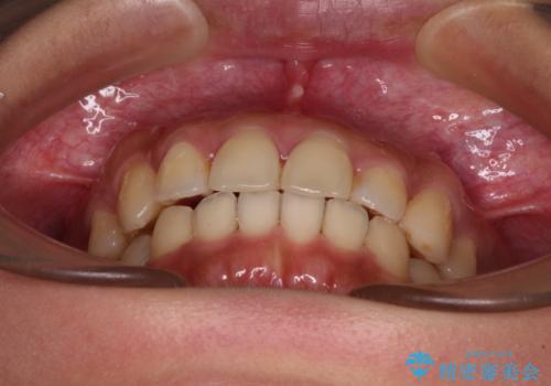
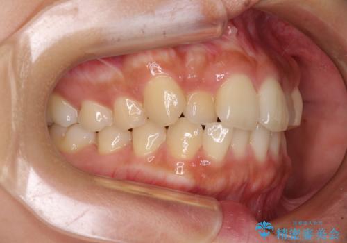
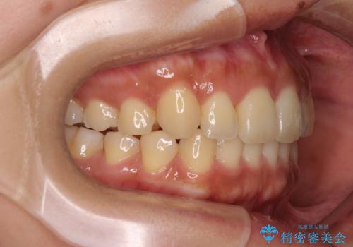
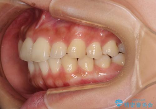
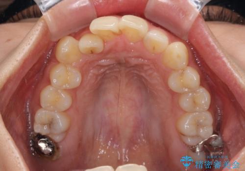
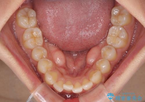
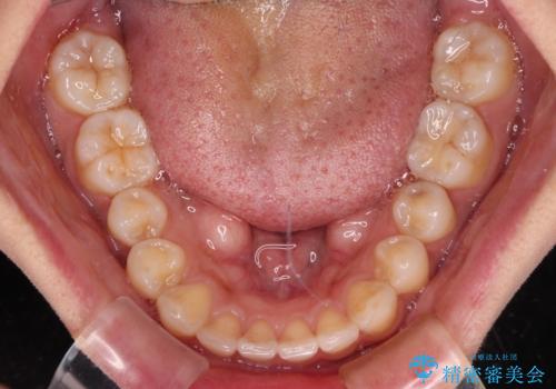
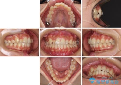
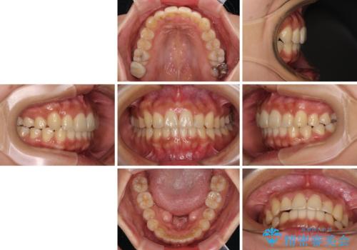
 - 奥歯の咬み合わせと治療を放置したまま奥歯を気にして来院された患者様です。
上顎骨の幅が下顎骨よりも小さいので、拡大装置により骨幅を広げて上下関係を改善し、その後インビザラインにて歯並びを整えることとしました。
矯正治療後には土台のままとなっている歯をセラミッククラウンにて補綴治療を行うこととしました。 
- 費用(概算)
 - 治療費の目安: 100万円(税込)費用は治療当時の料金となります
 
※顔写真掲載にあたり、患者様の了解を得ております
治療について
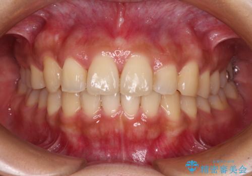
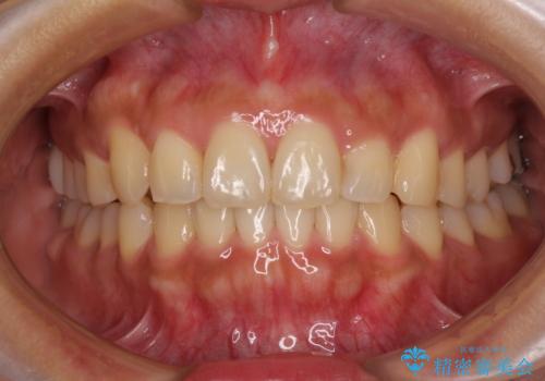
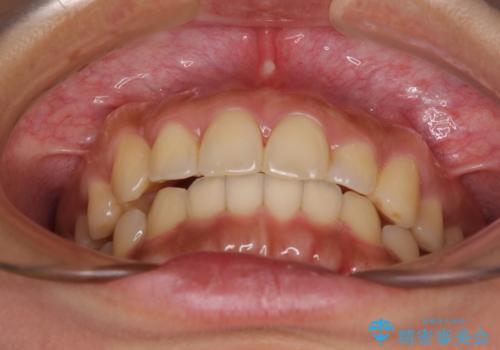
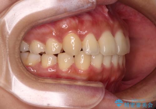
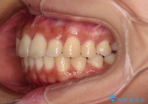
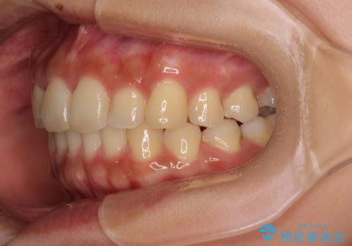
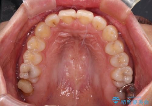
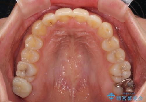
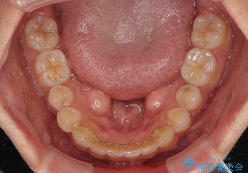
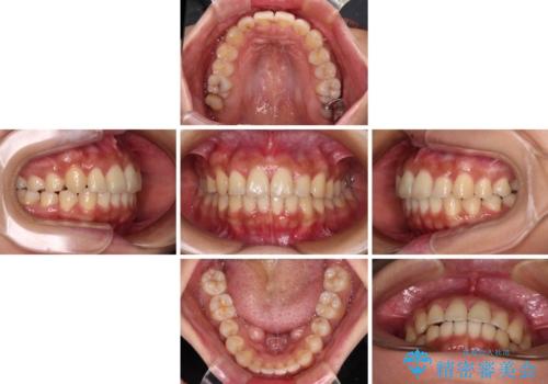
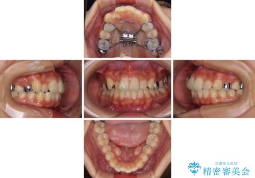
上下の骨幅を改善したことで、スムーズに歯列矯正を行うことができました。
土台のまま放置されていた歯は土台の状態で咬み合っていましたが、急速拡大を行った際に咬み合わせが著しく挙上されたため、その際に土台を大きくすることで咬み合う歯との距離を確保しました。
マウスピース矯正の注意事項(リスク・副作用など)
- 口腔内・歯並びの状態によっては対応できない場合があります
 - マウスピース型矯正装置の長時間装着(1日20時間以上)が必須です
 - 治療計画通りに進めるためには、患者様の意志が重要になります
 - 矯正治療後の保定が不十分だと後戻り(元の位置に戻ろうとする動き)をします
 - 薬機法対象外の矯正歯科装置のため医薬品副作用被害救済制度の対象外となる場合があります
 - 自費診療(保険適用外)となります
 
当サイトの内容、テキスト、画像等の無断転載、複製、複写、盗用を固く禁じます。

                      
                                                          



























