症例詳細
Case detail
【モニター】前歯の変色とデコボコを改善 インビザラインとオールセラミック
治療症例の内容
- 患者様
- 20代女性
- 矯正装置
- インビザライン
- 治療期間
- 1年
- 治療回数
- 10-30回
- 治療計画
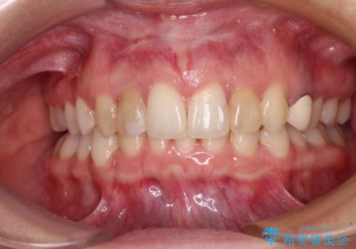
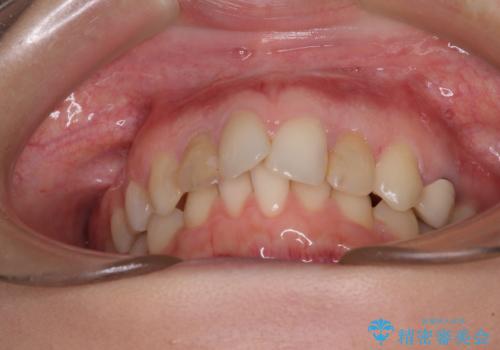
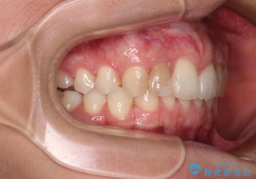
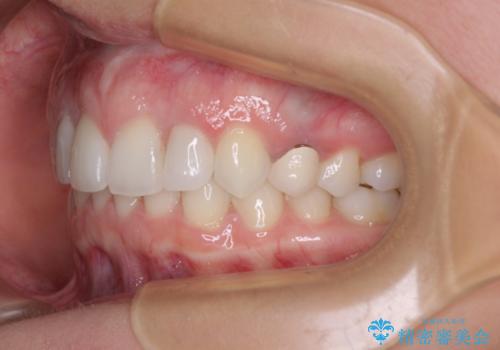
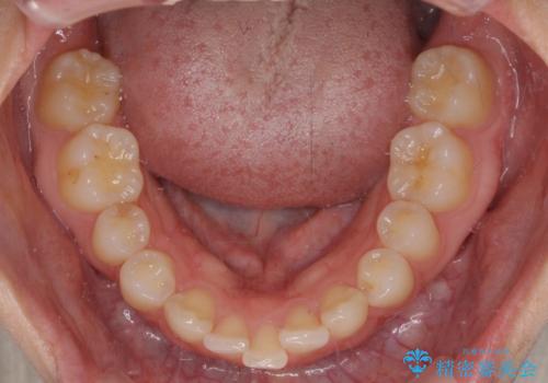
- 前歯の歯並びと神経を取って変色してしまった前歯を気にして来院された患者様です。
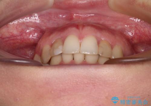
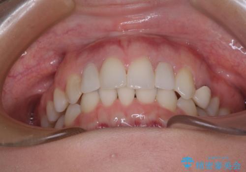
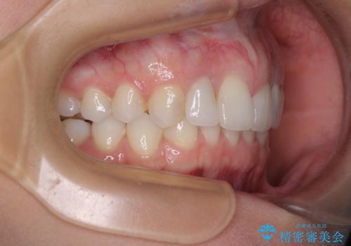
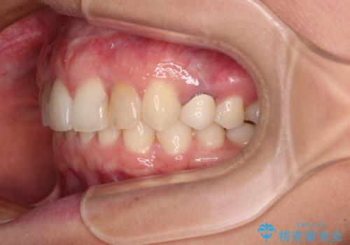
上下前歯の歯列不正はインビザラインにより整え、その後に、前歯2本をオールセラミッククラウンにて補綴治療することとしました。
- 費用(概算)
- 治療費の目安: 100万円(税込)費用は治療当時の料金となります
※顔写真掲載にあたり、患者様の了解を得ております
治療について
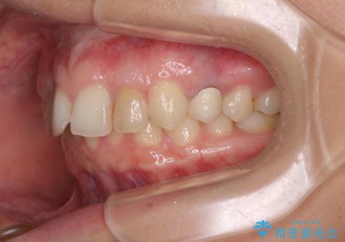
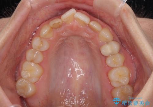
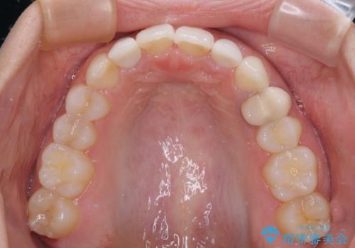
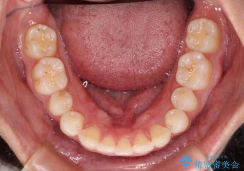
下顎前歯が1本欠損しており、下顎歯列の大きさが本来よりも小さいため、上顎歯列とのバランスが悪く、深い咬み合わせになっていました。
上顎にIPRを多用して歯列の大きさを小さくするよう試みましたが、理想的な咬み合わせまでには改善させることはできませんでした。
マウスピース矯正の注意事項(リスク・副作用など)
- 口腔内・歯並びの状態によっては対応できない場合があります
- マウスピース型矯正装置の長時間装着(1日20時間以上)が必須です
- 治療計画通りに進めるためには、患者様の意志が重要になります
- 矯正治療後の保定が不十分だと後戻り(元の位置に戻ろうとする動き)をします
- 薬機法対象外の矯正歯科装置のため医薬品副作用被害救済制度の対象外となる場合があります
- 自費診療(保険適用外)となります
セラミック治療の注意事項(リスク・副作用など)
- 天然歯を削ります
- 硬い素材は天然歯を傷つけてしまう場合があります
- かみ合わせや歯ぎしりが強すぎる方はセラミックが割れてしまう可能性があります
- 自費診療(保険適用外治療)となります
当サイトの内容、テキスト、画像等の無断転載、複製、複写、盗用を固く禁じます。





























