症例詳細
Case detail
全顎的 虫歯治療 インプラント補綴
- 患者様
- 50代女性
- 治療期間
- 3年
- 治療回数
- 10-30回
- 治療計画
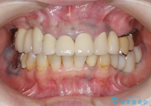
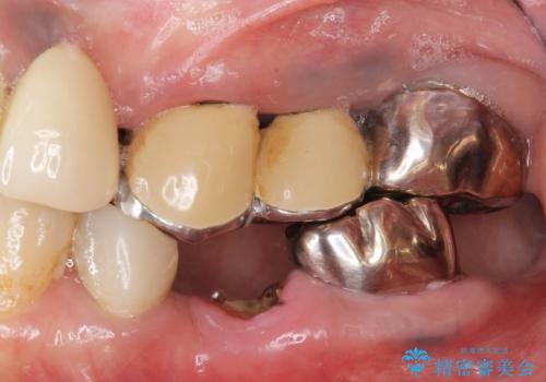
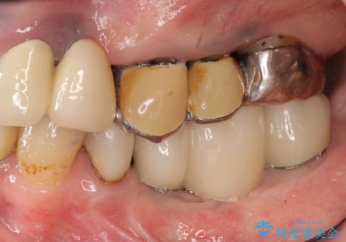
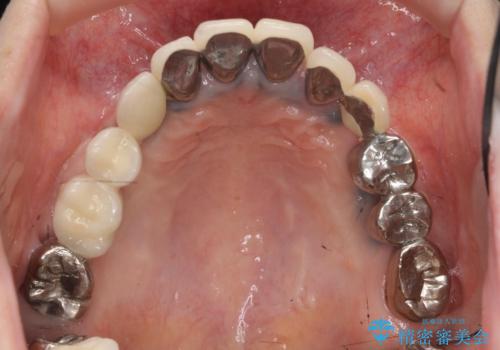
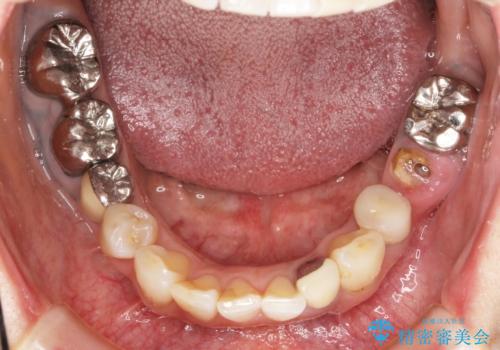
- 「他院で虫歯治療を行っているが、延々終わらず数年経過している。全体的な治療を希望したい。」と全顎的な治療を希望され来院されました。
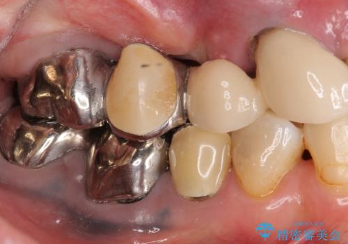
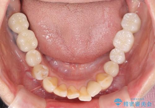
・再発した虫歯
・銀歯の下にできた虫歯
・根尖性歯周炎
・残根状態の歯
など、虫歯を原因とする問題が多発した状態です。
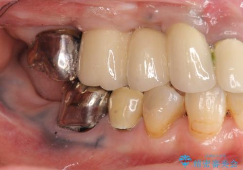
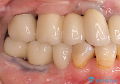
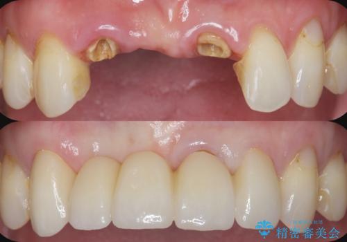
今後延々と治療を繰り返さないために、全ての銀歯を外し虫歯を丁寧に取り切り、根管治療を行い、残せない歯は抜去を行った上でインプラント治療を行っていくことで全体的な治療を計画していくこととなりました。
- 費用(概算)
- 440万円費用は治療当時の料金となります
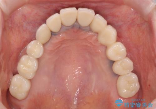
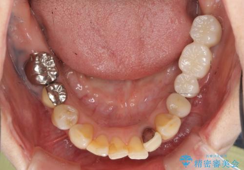
治療について
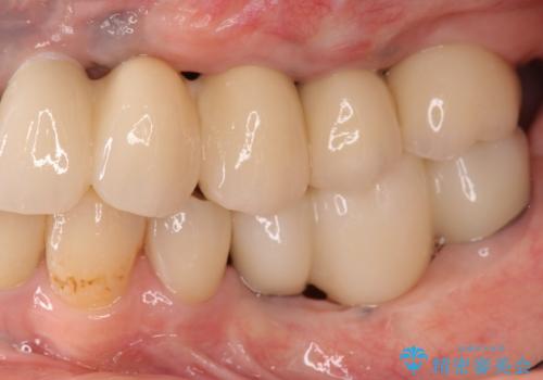
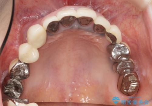
工程数が多かったため治療期間はかかりましたが、しっかりと安定した噛み合わせ、審美的な口腔内環境を達成することができ大変満足していただくことができました。
インプラント治療の注意事項(リスク・副作用など)
- 外科手術のため、術後に痛みや腫れ、違和感を伴います
- メンテナンスを怠ったり喫煙により、お口の中に大きな悪影響を及ぼすインプラント周囲炎等にかかる可能性があります
- 糖尿病、肝硬変、心臓病等の場合、インプラント治療ができない可能性があります
- 高血圧、貧血・不整脈等の場合、インプラント治療後に治癒不全を招く可能性があります
- 自費診療(保険適用外治療)となります
セラミック治療の注意事項(リスク・副作用など)
- 天然歯を削ります
- 硬い素材は天然歯を傷つけてしまう場合があります
- かみ合わせや歯ぎしりが強すぎる方はセラミックが割れてしまう可能性があります
- 自費診療(保険適用外治療)となります
当サイトの内容、テキスト、画像等の無断転載、複製、複写、盗用を固く禁じます。


















