症例・治療例紹介
Cases
最新の症例
[入れ歯を外したい] 全顎的インプラント・補綴治療
![[入れ歯を外したい] 全顎的インプラント・補綴治療の症例 治療前](https://seimitsushinbi.jp/wp/wp-content/uploads/2018/11/b25ed9f4071629e8be06882b30e35475-500x350.jpg)
![[入れ歯を外したい] 全顎的インプラント・補綴治療の症例 治療後](https://seimitsushinbi.jp/wp/wp-content/uploads/2018/11/07d54dcbc2a03b4507830c406e836039-500x350.jpg)
[ 重度虫歯治療 ] ブリッジ・インプラントによる咬合・審美回復②
![[ 重度虫歯治療 ] ブリッジ・インプラントによる咬合・審美回復②の症例 治療前](https://seimitsushinbi.jp/wp/wp-content/uploads/2018/11/14cf4ceb8b9ef16d1f5f8516f2747d8f-1-500x350.jpg)
![[ 重度虫歯治療 ] ブリッジ・インプラントによる咬合・審美回復②の症例 治療後](https://seimitsushinbi.jp/wp/wp-content/uploads/2018/11/567c5f037d16153ed793710ae727be41-500x350.jpg)
オールセラミッククラウン 銀歯を白い歯へ


[ 重度虫歯治療 ] ブリッジ・インプラントによる咬合・審美回復①
![[ 重度虫歯治療 ] ブリッジ・インプラントによる咬合・審美回復①の症例 治療前](https://seimitsushinbi.jp/wp/wp-content/uploads/2018/11/14cf4ceb8b9ef16d1f5f8516f2747d8f-500x350.jpg)
![[ 重度虫歯治療 ] ブリッジ・インプラントによる咬合・審美回復①の症例 治療後](https://seimitsushinbi.jp/wp/wp-content/uploads/2018/11/03aaf4f2b67262456a263577f1184690-500x350.jpg)
オールセラミッククラウン 前歯部のブリッジ


オールセラミッククラウン 前歯の色・形・がたがたを補綴で治したい


八重歯 インビザラインで治したい 20代男性


治療途中の歯 オールセラミッククラウン


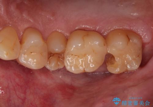
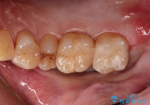
セラミックインレー 虫歯治療


ジュースの頻回摂取による多発性齲蝕の治療
担当医 大元洋佑


昔ぶつけた前歯が変色してきた セラミック治療


セラミックインレー・セラミッククラウンによる虫歯治療








