症例・治療例紹介
Cases
最新の症例
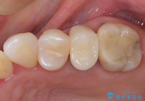
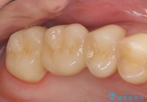
根管治療からのセラミック治療


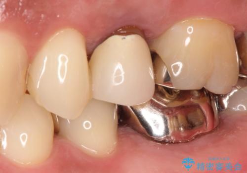
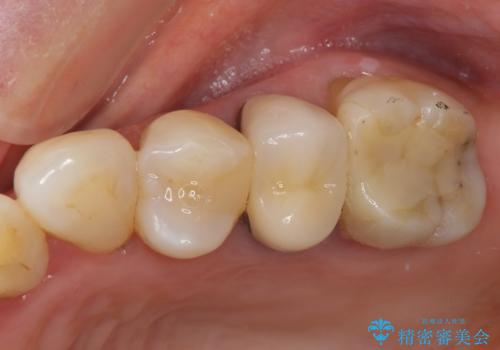
[根管治療・セラミック補綴] 歯ぐきを押すと痛い
![[根管治療・セラミック補綴] 歯ぐきを押すと痛いの症例 治療前](https://seimitsushinbi.jp/wp/wp-content/uploads/2020/06/af6939fea203eb3874487b1710bde0f0-500x350.jpg?v=1591340021)
![[根管治療・セラミック補綴] 歯ぐきを押すと痛いの症例 治療後](https://seimitsushinbi.jp/wp/wp-content/uploads/2020/06/f06e35140e887def91fb23d77e0ff069-500x350.jpg?v=1591340046)
歯肉の退縮により歯根が見える オールセラミッククラウンによる審美歯科治療


歯ぐきからの出血 膿が出る 前歯根管・セラミック治療


前歯のデコボコを治したい インビザラインによる矯正治療
担当医 藤巻太一朗


オールセラミッククラウン 奥歯のブリッジ


オールセラミッククラウン 歯茎にできた膿の出口(フィステル)の治療


オールセラミッククラウン 前歯の劣化した古い樹脂をセラミックに


オールセラミッククラウン 痛みが引かない歯の治療


オールセラミッククラウン 欠けてしまった奥歯の治療


オールセラミッククラウン 痛くて咬めない歯の治療


オールセラミッククラウン 気になる歯茎と被せ物の隙間の改善


オールセラミッククラウン 長さが気になる前歯の改善


付着したステインをPMTCで除去
担当医 歯科衛生士




