症例・治療例紹介
Cases
最新の症例
歯石除去 PMTC
担当医 歯科衛生士


矯正治療開始前のPMTC
担当医 歯科衛生士


お口のさっぱり感とツルツル感をPMTCで
担当医 歯科衛生士


PMTCでお口のメンテナンス
担当医 歯科衛生士


奥歯が痛い 根管治療とオールセラミッククラウン


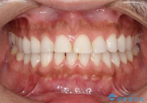
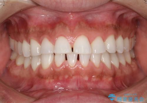
矯正治療の後戻り ガタガタになった前歯の部分矯正
担当医 藤巻太一朗


根管治療後の補綴治療 奥歯のセラミッククラウン


後戻りを治したい 骨格的なズレの大きい方のインビザライン矯正
担当医 藤巻太一朗


体育会系の部活をしながら インビザラインを用いた矯正治療


痛い奥歯 セラミッククラウンでのむし歯治療


統一感のない前歯を綺麗にしたい 前歯のオールセラミック


短期間で治療したい 目立たないワイヤー装置での非抜歯矯正


全ての奥歯の銀歯をセラミックに メタルフリー治療


よくある悩み 前歯が裏に2本入っているのを治したい


不自然なセラミッククラウンを自然なセラミックに


