症例・治療例紹介
Cases
最新の症例
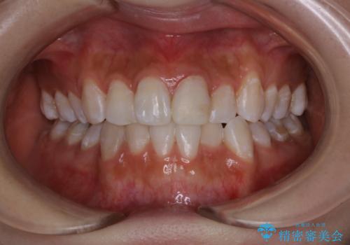
気になるデコボコとオープンバイト インビザラインでの矯正治療


変色した歯をセラミックできれいに


上下の八重歯を治したい 補助装置を用いたインビザライン矯正
担当医 藤巻太一朗


前歯の歯並びと小さい歯を改善 インビザラインとオールセラミッククラウン


前歯の変色 セラミッククラウンによる審美回復
担当医 大元洋佑


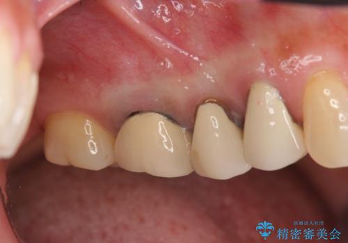
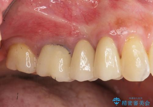
古くなったセラミッククラウンのやりかえ
担当医 大元洋佑


オールセラミッククラウン 変色した前歯をセラミックで白く


インビザライン矯正治療のスキャニング前のPMTC
担当医 歯科衛生士


銀歯をセラミックに変える前にPMTCで現状の汚れをきれいに除去
担当医 歯科衛生士


invisalignでの矯正治療が終了した方のPMTC
担当医 歯科衛生士


日々の磨き残しをPMTCできれいに
担当医 歯科衛生士


歯科医院で初めてのクリーニング PMTC30分コース
担当医 歯科衛生士


適合のよいセラミックで自分の歯となじむ自然な仕上がりに


神経をとった前歯が変色してきた




