症例・治療例紹介
Cases
最新の症例
変色した前歯 オールセラミッククラウンにより審美歯科治療


出っ歯を改善した後に真っ白な歯に 矯正歯科治療と審美歯科治療


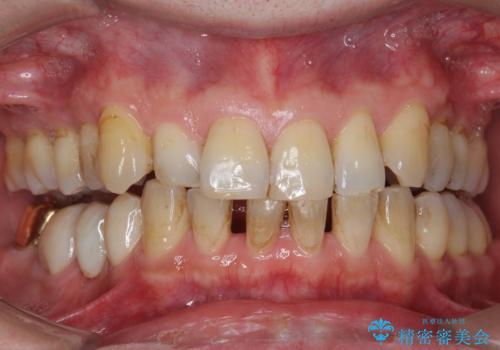
前歯の色が気になる、オールセラミッククラウンによる治療


タバコによるヤニをPMTCで除去
担当医 歯科衛生士


インビザライン矯正中にPMTCでコーヒーによるステインの除去
担当医 歯科衛生士


前歯のガタガタをきれいにしたい ワイヤーによる抜歯矯正で整った歯並びへ


人生で初めて歯のクリーニング〔PMTC〕
担当医 歯科衛生士


マウスピース矯正とセラミックの組み合わせ治療


歯周病の治療前にまずはモチベーションUPにPMTCでステインの除去
担当医 歯科衛生士


1日で着色を除去し綺麗な歯に
担当医 歯科衛生士


マスクの中で気になる口臭をPMTCで予防
担当医 歯科衛生士


invisalign治療中にPMTCできれいな口元に
担当医 歯科衛生士


全体の総合的な治療前にPMTC
担当医 歯科衛生士






