症例・治療例紹介
Cases
最新の症例
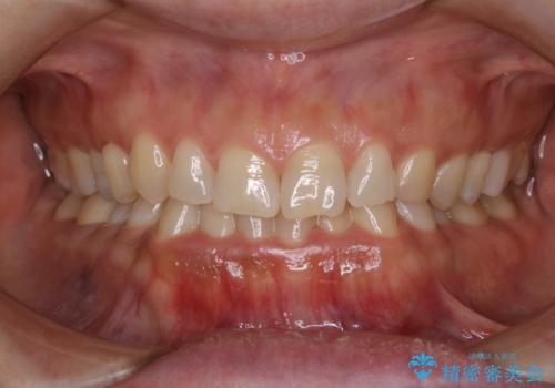
口元の突出感を改善 2年弱での抜歯矯正


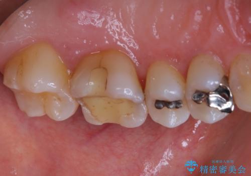
抜歯が必要な左右の奥歯 ブリッジとインプラントによる奥歯の補綴治療


前歯のデコボコをインビザラインでスッキリと


マウスピース矯正中にもPMTCで綺麗な歯を維持
担当医 歯科衛生士


不揃いな前歯のセラミックが気になる オールセラミッククラウンによる補綴治療


海外赴任前に気になる虫歯を治療したい


上顎骨拡大を用いたインビザラインによる非抜歯矯正
担当医 藤巻太一朗


転倒して欠けてしまった前歯をオールセラミッククラウンで自然な口元に


気になる八重歯を治したい 目立たないワイヤーでの抜歯矯正


喫煙による着色をPMTCで白い歯に
担当医 歯科衛生士


大きな詰め物を被せ物に変えて、歯の破折リスクを減らす


歯を自然な白さにしたい(スペシャルホワイトニング)
担当医 歯科衛生士


矯正治療が始まる前にクリーニングと歯磨き指導
担当医 歯科衛生士



![[ 歯牙破折 ] 違和感のある大臼歯 ブリッジ治療の症例 治療前](https://seimitsushinbi.jp/wp/wp-content/uploads/2021/08/IMG_9577-500x350.jpg?v=1629711075)
![[ 歯牙破折 ] 違和感のある大臼歯 ブリッジ治療の症例 治療後](https://seimitsushinbi.jp/wp/wp-content/uploads/2021/08/2e4ccba27e1ea02fdacf49749694bbb1-500x350.jpg?v=1629711051)
![[ Three-incisor ] 歯肉退縮した歯を抜去しマウスピース治療で改善の症例 治療前](https://seimitsushinbi.jp/wp/wp-content/uploads/2021/08/IMG_0014-500x350.jpg?v=1629707354)
![[ Three-incisor ] 歯肉退縮した歯を抜去しマウスピース治療で改善の症例 治療後](https://seimitsushinbi.jp/wp/wp-content/uploads/2021/08/27ddd4a33f5bef37065fcd036c1c7553-500x350.jpg?v=1629707325)