症例・治療例紹介
Cases
最新の症例
矯正治療中も歯の黄ばみをきれいにしたい
担当医 歯科衛生士


歯周病・虫歯・口臭などのトータルケア PMTC
担当医 歯科衛生士


虫歯ではなく、歯の着色
担当医 歯科衛生士


銀歯だらけの口の中を改善したい


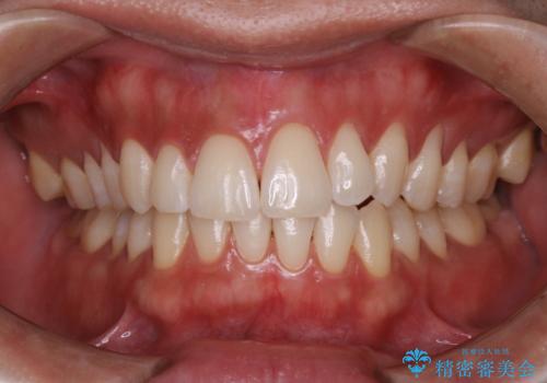
[ 歯ぐきを押すと痛む ] 根管治療の必要な前歯治療
![[ 歯ぐきを押すと痛む ] 根管治療の必要な前歯治療の症例 治療前](https://seimitsushinbi.jp/wp/wp-content/uploads/2021/10/c82595c07b1034d506ee9a41b2f43a37-500x350.jpg?v=1634264510)
![[ 歯ぐきを押すと痛む ] 根管治療の必要な前歯治療の症例 治療後](https://seimitsushinbi.jp/wp/wp-content/uploads/2021/10/5f5858ad0a0979b6f98bd8be1e57a5d6-500x350.jpg?v=1634264519)
海外での被せ物 色が気になる
担当医 河野裕二


14年ぶりのクリーニング
担当医 歯科衛生士


20代女性 インビザラインでのマウスピース矯正中にPMTCできれいな口元に
担当医 歯科衛生士


[根管治療・セラミッククラウン] 前歯の痛み・見た目を改善したい
![[根管治療・セラミッククラウン] 前歯の痛み・見た目を改善したいの症例 治療前](https://seimitsushinbi.jp/wp/wp-content/uploads/2021/10/27aece2ee2a0fb95849ae035eabf5926-500x350.jpg?v=1633830098)
![[根管治療・セラミッククラウン] 前歯の痛み・見た目を改善したいの症例 治療後](https://seimitsushinbi.jp/wp/wp-content/uploads/2021/10/969aa8878a18bb42608c420b34b6b67f-500x350.jpg?v=1633830182)
治療中の仮歯もPMTCで白くきれいに
担当医 歯科衛生士


数年ぶりに歯のクリーニング(PMTC)
担当医 歯科衛生士


保険のかぶせ物・詰め物を金属を使わないセラミックへ 自然な見た目へ





![[ 欠損補綴 ] ブリッジとインプラントの症例 治療前](https://seimitsushinbi.jp/wp/wp-content/uploads/2021/10/d680d397e015686572db595995781e12-500x350.jpg?v=1634192539)
![[ 欠損補綴 ] ブリッジとインプラントの症例 治療後](https://seimitsushinbi.jp/wp/wp-content/uploads/2021/10/82c7cc111177152f4f990e0f169487f7-500x350.jpg?v=1634192579)
![[ インプラント治療 ] 失った歯の咬合機能回復の症例 治療前](https://seimitsushinbi.jp/wp/wp-content/uploads/2021/10/95af7ce4671c78462bbd81e0efc3a797-500x350.jpg?v=1633831170)
![[ インプラント治療 ] 失った歯の咬合機能回復の症例 治療後](https://seimitsushinbi.jp/wp/wp-content/uploads/2021/10/fe5fea403b732315c4e872d18c0f3029-500x350.jpg?v=1633831201)