症例・治療例紹介
Cases
最新の症例
奥歯のインプラント 70代男性


奥歯の隙間を治したい 矯正は嫌 30代女性


歯の染め出しとPMTCで口腔内ケア
担当医 歯科衛生士


タバコやコーヒーによる着色落とし(PMTC)
担当医 歯科衛生士


矯正が終了するタイミングでクリーニング(PMTC)
担当医 歯科衛生士


ワイヤー矯正とオールセラミックの組み合わせ治療


後戻り防止の為のホワイトニング
担当医 歯科衛生士


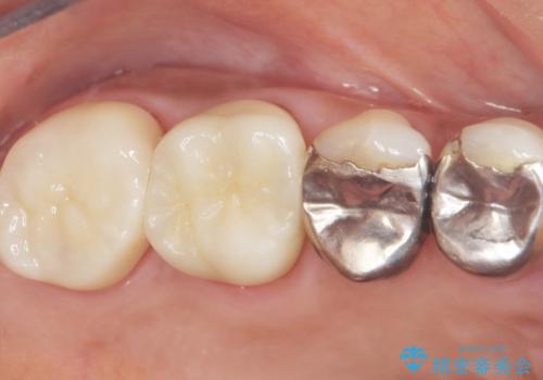
歯磨きすると痛い 不適合なクラウンのやりかえ 70代女性


虫歯予防、歯周病予防のためにクリーニング
担当医 歯科衛生士


気になる前歯を治したい インビザラインで気づかれずに矯正治療
担当医 藤巻太一朗


しみてしまう下顎の犬歯 歯肉移植による根面被覆
担当医 藤巻太一朗


気になる前歯をインビザライン・ライトで 矯正治療後には銀歯をセラミックに


下顎の部分矯正を行ってから奥歯の補綴治療とインプラント治療
担当医 藤巻太一朗






