症例・治療例紹介
Cases
最新の症例
八重歯と前歯のガタガタをインビザラインで


その前歯の捻じれ、原因は奥歯の噛み合わせのズレにあります。


コンプレックスだった前歯のガタガタがここまで綺麗になるなんて!!


飛び出た八重歯!コンプレックスを払拭!


着色が目立ってきたためエアーフローでクリーニング
担当医 歯科衛生士


欠損と痛み 奥歯のむし歯治療


楽してクロスバイトを治したい ワイヤー装置による矯正治療


【モニター】前歯のすきっ歯をインビザラインで改善


前歯の叢生をいつの間にか改善 インビザラインによる矯正治療
担当医 藤巻太一朗


八重歯と前歯の欠損と骨格のズレ 目立たないワイヤー矯正
担当医 藤巻太一朗


以前治療した前歯をセラックへ 美しい見た目へ


メンテナンスと一緒にクリーニング(PMTC)
担当医 歯科衛生士


コーヒーによるステインをPMTC(医院で行うプロフェッショナルクリーニング)で除去
担当医 歯科衛生士



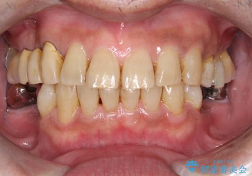
![[ 出っ歯を治したい ] マウスピース矯正での上顎前突治療の症例 治療前](https://seimitsushinbi.jp/wp/wp-content/uploads/2022/03/IMG_9997-3-500x350.jpg?v=1648378247)
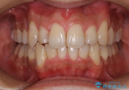
![[ 出っ歯を治したい ] マウスピース矯正での上顎前突治療の症例 治療後](https://seimitsushinbi.jp/wp/wp-content/uploads/2022/03/IMG_6262-500x350.jpg?v=1648378353)

