症例・治療例紹介
Cases
最新の症例
エアーフローで黄ばみ取り
担当医 歯科衛生士


PMTC30分コース
担当医 歯科衛生士


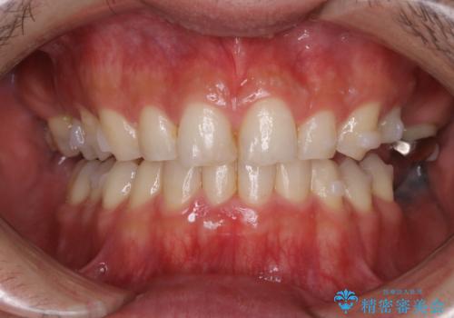
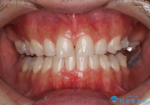
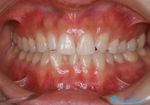
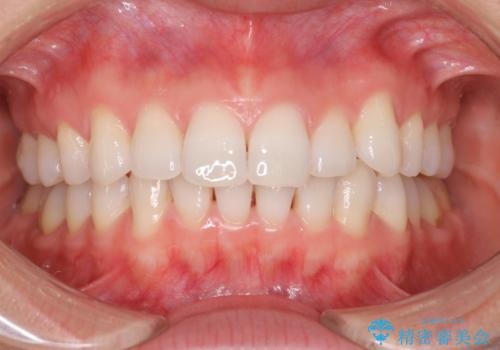
前歯のガタつき インビザラインで 下の前歯を1本抜歯
担当医 井上季実子


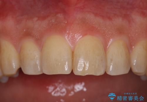
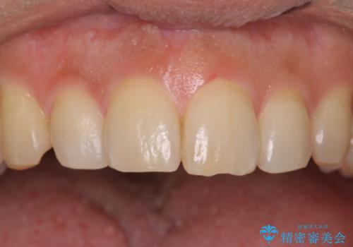
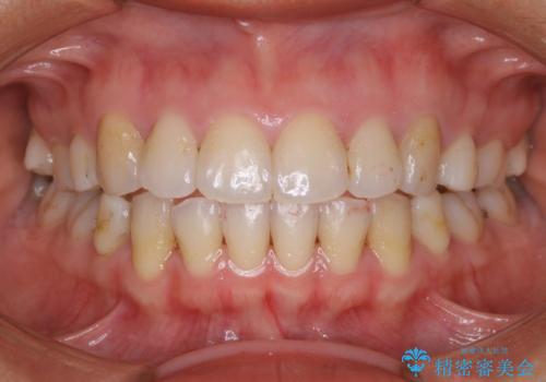
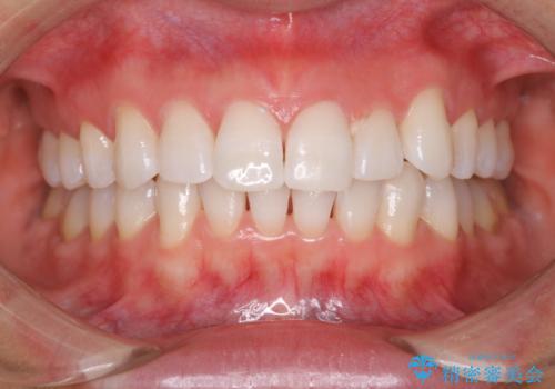
つぎはぎの前歯をセラミックにしたい


20年ぶりのクリーニング(PMTC)
担当医 歯科衛生士


PMTCによる着色除去
担当医 歯科衛生士


PMTC30分コース インビザラインの矯正中
担当医 歯科衛生士


5、6年ぶりのクリーニング(PMTC)
担当医 歯科衛生士


着色落とし、クリーニング(PMTC)
担当医 歯科衛生士


1年ぶりのクリーニング(PMTC)
担当医 歯科衛生士


定期的にクリーニングを(PMTC)
担当医 歯科衛生士


前歯のねじれを治したい (部分矯正を併用したマウスピース矯正)
担当医 大元洋佑








