症例・治療例紹介
Cases
最新の症例
被せ物で見た目が変わる 前歯のセラミッククラウン


2カ月で全体的に着色(PMTC)
担当医 歯科衛生士


PMTCでコーヒーによる着色を除去。
担当医 歯科衛生士


ホワイトニング(デュアルホワイトニング)
担当医 歯科衛生士


インビザラインの経過と一緒にクリーニング(PMTC)
担当医 歯科衛生士


矯正スタート前に全体のクリーニング(PMTC)
担当医 歯科衛生士


目立つ銀歯を白くしたい セラミック治療


[ 前歯のオールセラミックブリッジ ] 前歯の腫れ・痛み・ニオイ・出血が気になる
担当医 大元洋佑
![[ 前歯のオールセラミックブリッジ ] 前歯の腫れ・痛み・ニオイ・出血が気になるの症例 治療前](https://seimitsushinbi.jp/wp/wp-content/uploads/2022/06/ccd2044576fc22903102228d1200b171-500x350.jpg?v=1655973788)
![[ 前歯のオールセラミックブリッジ ] 前歯の腫れ・痛み・ニオイ・出血が気になるの症例 治療後](https://seimitsushinbi.jp/wp/wp-content/uploads/2022/06/47130413fab91972fae52ec510652010-500x350.jpg?v=1655973830)
タバコのステインを徹底的に除去
担当医 歯科衛生士


[ 臼歯部インプラント治療 ] 抜けた歯を治療したい
![[ 臼歯部インプラント治療 ] 抜けた歯を治療したいの症例 治療前](https://seimitsushinbi.jp/wp/wp-content/uploads/2022/06/b20681531f81bbbcb107d489675c3fe3-500x350.jpg?v=1655969039)
![[ 臼歯部インプラント治療 ] 抜けた歯を治療したいの症例 治療後](https://seimitsushinbi.jp/wp/wp-content/uploads/2022/06/3d94cd3d2c3bb38c4cb75b95fbdde67e-500x350.jpg?v=1655972093)
ほうじ茶による着色をPMTCで綺麗に
担当医 歯科衛生士


奥歯の銀歯、プラスチックのやりかえ


他院で抜歯と言われた 残したい


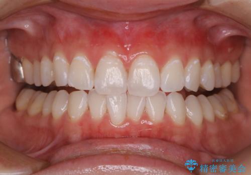
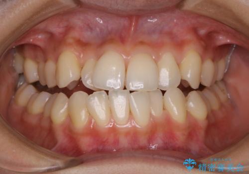
[ インビザライン矯正 ] 出っ歯をマウスピースで治したい
![[ インビザライン矯正 ] 出っ歯をマウスピースで治したいの症例 治療前](https://seimitsushinbi.jp/wp/wp-content/uploads/2022/06/73097492d112b3c9236c964872a9105b-500x350.jpg?v=1655691589)
![[ インビザライン矯正 ] 出っ歯をマウスピースで治したいの症例 治療後](https://seimitsushinbi.jp/wp/wp-content/uploads/2022/06/c9af0e63a541fecf26d71c3c15d073b0-500x350.jpg?v=1655691546)


