症例・治療例紹介
Cases
Dr. 齋藤佑磨の症例写真
3ページ目 / 6
目立つ銀歯をやり替えたい。オールセラミックブリッジによる治療
担当医 齋藤佑磨


非接触の前歯と下顎のデコボコ ワイヤー装置による矯正治療


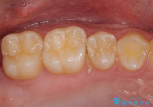
目立つ銀歯を白くしたい。オールセラミッククラウンによる補綴治療
担当医 齋藤佑磨


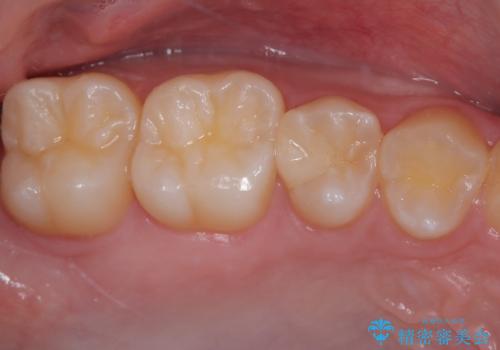
歯が欠けてしまった。オールセラミッククラウンによる補綴治療
担当医 齋藤佑磨


全体的なデコボコが気になる。拡大装置を併用したワイヤー矯正


口元の突出感を改善したい。審美装置による抜歯矯正
担当医 齋藤佑磨


抜歯したところにインプラント治療をしたい。


転んで欠けた前歯を治したい。オールセラミッククラウンによる補綴
担当医 齋藤佑磨


食べ物がよくはさまるのが気になる。オールセラミッククラウンによる補綴治療
担当医 齋藤佑磨














